東京都江東区の歯医者門前仲町髙木歯科です。当院では日本矯正歯科学会の認定医の専門医が在籍しておりますので安心して歯列矯正のご相談にいらしてください。
歯列矯正を始めたい!!と考えたときにどこにいけばいいの??
→優先順位が高い順に書いていきますね。
①日本矯正歯科学会認定医が在籍しているか。
似たような学会名もありますが、日本矯正歯科学会です。かつ在籍しているだけではなく担当ドクターが認定医か専門医であることが重要です。取得するのに大学の専門の科でしっかりと研鑽を積まないと取得できない認定医です、
②通える距離か
どんなにいい矯正を受診できるクリニックでもあまりにも遠いと意味がありません。月に1度調整が必要であったり脱離やお痛みがあった時に応急処置で通院する必要があります。物理的な距離は重要性が高いです
③金額・支払い方法
自費治療ですので、保険治療と異なり価格はそれぞれのクリニックで異なります。また、金額がどうしても高額になりますので支払い方法は現金のみか・振込み・カード決済は可能か??分割払いやデンタルローンはおこなっているのか是非チェックしてください。
④1口腔内単位での治療ができるか
歯列矯正中は磨き難い治療法もあり歯のクリーニングが必要になることや、虫歯ができてしまった時にはむし歯治療が必要になってきます。全ての治療が別々のクリニックになると連携が取りにくいです、トータルで診療してくれるクリニックの方が治療計画が立てやすいです。
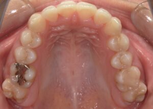
さて実際の症例です。前歯の歯並びを主訴にいらっしゃった方です。
前歯の歯並びが気になるとの主訴でご来院頂いた患者さんです。





前歯の出っ歯傾向があるのがわかります。矯正方法(ワイヤー矯正、インビザライン矯正)、抜歯の必要性や期間費用をご説明しワイヤー矯正で治療を進めていくこととなりました。
2年後の歯列矯正後の写真です。





上の前歯の出っ張りがなくなり綺麗な歯並びになっているのが分かります。その後、金具が装着されていたボンドを除去しホワイトニングを行い歯の更なる審美改善を行いました。

このように門前仲町髙木歯科では1つのクリニックで抜歯・歯列矯正・虫歯治療・ホワイトニングまで各専門医の診療を受診することが可能です。
門前仲町髙木歯科は江東区、門前仲町駅・木場駅・越中島駅から徒歩10分以内にございます。遠方の方には地下にクリニックモール用の駐車場がございますので豊洲や有明からも多くの方にお越し頂いております
投稿日:2022年11月22日
歯の色が気になるからホワイトニングをしてみたいとお考えの方、門前仲町髙木歯科までご相談下さい。院長の髙木仲人は徳島大学大学院再生歯科治療学分野にて歯の研究をしているため、大学にて最新の知見を取得することが可能です。副院長は歯のホワイトニングの研究で歯学博士の学位を取得しているため、専門的な知識と経験が豊富です。
最近では薬剤の進化により、歯の色の改善はあるが副作用(知覚過敏)の発生しにくいホームホワイトニングをオススメすることが多くなってきました。
オフィスホワイトニングはクリニックで行うものですが、1回の来院あたり90分近くの時間が必要、3-5回は来院が必要、単価が高い、白くなりやすい分後戻りも早い、知覚過敏が発生しやすい。などのデメリットもあるからです。
ですが、ホームホワイトニングは今すぐに始めたい!!と思っても、ホワイトニング薬剤を付着させるトレー(マウスピース)が必要だったため、数回の来院が必要でした。
今回はホームホワイトニングをしたい時に、今すぐに始められるオパールエッセンスGoについてお話をさせて頂きます。

こちらは歯の並びに合わせて形が変化するウルトラフィットトレイを採用しており、予めホワイトニングジェルが充填されたトレイにより場所を選ばずに、好きな時にホワイトニングを行うことができます。1箱に10枚トレイが入っており、1箱22000円で販売しています。
良いところ
・すぐにホワイトニングを始められる
・歯列矯正中でワイヤー矯正をしていても、トレイが変形するので装着することができる
・過酸化水素6%を採用しているため歯が白くなるのが従来のホームホワイトニングより少し早い
・ホワイトニングを過去にしていたことがあり、色が後戻りしてしまった時のフォローに適している
悪いところ
・単価が従来のホームホワイトニングより少し高い
実際の症例をみてみましょう

こちらの方は、過去にホワイトニングのご経験がありました。最近はホワイトニングを行ってなかったので色が後戻りしてきた方です。お話をしたところホワイトニングをしたい、となったためオパールエッセンスGoを20日使用して頂きました。

オパールエッセンスGoによるホワイトニングを行った後の写真です。歯の色が白くなり、透明感がでてより美しい歯になったことがわかります。
ホワイトニングは現在普及期にあり、以前より珍しい治療法ではなくなりました。ですが、ご説明不足、治療者の経験不足により色の改善が見られなかったり副作用が強く出てしまった、等のトラブルも耳にします。ホワイトニングは薬事法により過酸化水素や過酸化尿素等の歯を白くすることのできる薬剤は歯科医師でないと使用することや、販売が行えません。
ホワイトニングは歯科クリニックで。 と覚えておいてください。
門前仲町髙木歯科は江東区、門前仲町駅・木場駅・越中島駅から徒歩10分以内にございます。遠方の方には地下にクリニックモール用の駐車場がございますので豊洲や有明からも多くの方にお越し頂いております
投稿日:2022年11月14日
東京都江東区の歯医者門前仲町髙木歯科です。当院では日本矯正歯科学会の認定医の専門医が在籍しており、院長の髙木仲人もインビザライン部分矯正の認定医を取得しておりますので安心してご相談ください。
歯列矯正を始めたい!!と考えたときにどこにいけばいいの??
→優先順位が高い順に書いていきますね。
①日本矯正歯科学会認定医が在籍しているか。
似たような学会名もありますが、日本矯正歯科学会です。かつ在籍しているだけではなく担当ドクターが認定医か専門医であることが重要です。取得するのに大学の専門の科でしっかりと研鑽を積まないと取得できない認定医です、
②通える距離か
どんなにいい矯正を受診できるクリニックでもあまりにも遠いと意味がありません。月に1度調整が必要であったり脱離やお痛みがあった時に応急処置で通院する必要があります。物理的な距離は重要性が高いです
③金額・支払い方法
自費治療ですので、保険治療と異なり価格はそれぞれのクリニックで異なります。また、金額がどうしても高額になりますので支払い方法は現金のみか・振込み・カード決済は可能か??分割払いやデンタルローンはおこなっているのか是非チェックしてください。
④1口腔内単位での治療ができるか
歯列矯正中は磨き難い治療法もあり歯のクリーニングが必要になることや、虫歯ができてしまった時にはむし歯治療が必要になってきます。全ての治療が別々のクリニックになると連携が取りにくいです、トータルで診療してくれるクリニックの方が治療計画が立てやすいです。
さて実際の症例です。前歯の歯並びを主訴にいらっしゃった方です。



詳しくお話を伺うと前歯のガタガタと、上の前歯の傾きが気になるとの主訴でした。人とお話をすることが多いので、目立たないマウスピース矯正で治療をしたいとのことでしたのでインビザライン部分矯正を行うことと致しました。




1年程インビザラインによるマウスピースを装着して頂いた後の口腔内です。前歯の傾きやガタガタが綺麗になっていることが分かります。
インビザライン矯正については詳しくはHPにも記載がありますので是非ご覧ください。
https://www.takagi-dc.net/mouthpiece.html
初回の相談、部分矯正のインビザラインシミュレーションは無料です。ご予約の上でご相談に来てください!!
門前仲町髙木歯科は江東区、門前仲町駅・木場駅・越中島駅から徒歩10分以内にございます。遠方の方には地下にクリニックモール用の駐車場がございますので豊洲や有明からも多くの方にお越し頂いております。
投稿日:2022年11月1日
江東区の歯医者、門前仲町髙木歯科です。この度院長の髙木仲人が日本歯科審美学会第33回学術大会において、登壇しオーラル発表を行いました。
発表内容はホワイトスポット(白斑)に対してオパールーストラを使用したエナメルマイクロアブレージョン、またアイコンを使用した低粘性レジン浸潤法による低侵襲な治療法を使い分けた発表です。

とても緊張しましたが、良い治療法が世界に伝わるように登壇して発表ができて素晴らしい機会を頂きました。院長の髙木仲人は徳島大学大学院再生歯科治療学分野に所属し保坂啓一教授ご指導の下、研究を行い学術大会での発表もしておりますので、安心してホワイトスポットについてご相談ください。
門前仲町髙木歯科は江東区、門前仲町駅・木場駅・越中島駅から徒歩10分以内にございます。遠方の方には地下にクリニックモール用の駐車場がございますので豊洲や有明からも多くの方にお越し頂いております。
https://www.takagi-dc.net/access.html
投稿日:2022年10月17日
江東区の歯医者、門前仲町髙木歯科です。目立ちにくい装置で歯科矯正をしたいと考えている方に向けての記事です。
大人の方で歯並びを治したい、と思った場合には全顎矯正が必要か、部分矯正が必要なのか。という判断が必要です。
実は成人矯正の多くは部分矯正でお困りのことが解決することが統計的な多いというデータがあります。
歯並びが気になっているけれど、装置が目立ってしまうと恥ずかしいと思う方にはマウスピース矯正(インビザライン)が特にオススメです。ワイヤー矯正と異なり、ワイヤーが見えないのとマウスピースなので取り外しができるためお食事の後の歯ブラシ、フロスが自由にできます。見て目にも優れていて、歯磨きがしやすいので非常に衛生的です!!
ですがお食事の時以外はずっと装着して頂きますので1日20時間ほど装着する時間が必要です。
実際にインビザラインで部分矯正を1年行った症例です。

歯列矯正前の写真

インビザラインによる部分歯列矯正後の写真
抜歯をすることなく、歯並びのガタガタが綺麗に改善しています。
門前仲町髙木歯科には虫歯治療の専門家(歯学博士)、口腔外科専門医、歯科矯正専門医が在籍しているため、1か所のクリニックで歯科矯正をトータル的に行うことができます。
インビザライン矯正については詳しくはHPにも記載がありますので是非ご覧ください。
https://www.takagi-dc.net/mouthpiece.html
初回の相談、部分矯正のインビザラインシミュレーションは無料です。ご予約の上でご相談に来てください!!
門前仲町髙木歯科は江東区、門前仲町駅・木場駅・越中島駅から徒歩10分以内にございます。遠方の方には地下にクリニックモール用の駐車場がございますので豊洲や有明からも多くの方にお越し頂いております。
投稿日:2022年9月24日
ウルトラデント オパールーストラを使用したエナメルマイクロアブレージョン 矯正後ホワイトスポット治療
江東区門前仲町髙木歯科です。ブラケットシステムを使用した歯科矯正終了後に、ブラケットを外した後にホワイトスポット(歯の表面の白色の変化)が見られることがあります。ブラケット、ワイヤーがあり磨きにくくて初期虫歯により色の変化がある時と、ブラケットを装着する際に使用したリン酸エッチングによりエナメル質の表面が脱灰してしまった時です。
歯科矯正後の歯の表面の白色病変(ホワイトスポット)は軽度であることが多く、ウルトラデント社のオパールーストラを使用したエナメルマイクロアブレージョンで1度のご来院で美しくすることができます。
オパールストラを使用したエナメルマイクロアブレージョンとは炭化ケイ素微粒子を含む6.6%塩酸スラリーによって化学的かつ機械的研磨により白色、褐色のエナメル質を除去するものです。
マイクロアブレージョンでエナメル質の微小硬度は増加する、続けてフッ素系ペースト研磨することでより高い硬度と良好な研磨面を獲得可能という文献もあり、オパールストラ治療をしたからといって歯が弱くなるといった心配をする必要はありません。

こちらの写真はマルチブラケットシステムにより歯科矯正を終了した直後の口腔内写真です。

ブラケットを装着していたボンドを除去した直後の口腔内写真です。ブラケット周囲にホワイトスポットが確認できます。

オパールストラを塗布し

しっかりと研磨します。水洗乾燥後、ペースト研磨を行いフッ素バーニッシュを行います

オパールーストラ治療後です。ホワイトスポットの消失が確認できます。
歯科矯正後のホワイトスポット等によってできた比較的軽度なホワイトスポットの治療に最適です。治療をご希望の場合にはご相談3300円後、後日オパールストラ治療(1歯22000円)となっております。治療時間は1-1.5時間ほど頂戴致します。ホームホワイトニングを行ってからホワイトスポット治療をした方がより良い結果が得られると考えられておりますので併せてご希望の方は門前仲町髙木歯科までお問い合わせ下さい。
院長は徳島大学大学院口腔科学研究科口腔科学専攻再生歯科治療学分野に所属し、日々勉強・研究を行っておりますので安心してご受診なさって下さい。
江東区門前仲町髙木歯科は門前仲町駅・木場駅・越中島駅より徒歩10分以内に位置しております。クリニックモール専用の地下駐車場がございますので豊洲、有明などの湾岸エリアの方にも大変多くご通院頂いております。
投稿日:2022年8月27日

江東区にあります門前仲町髙木歯科です。今回は歯に現れる審美障害の原因の一つであるホワイトスポットについてお話しをさせて頂きます。院長の髙木は国立大学法人徳島大学再生歯科治療学にて研究をしておりますので、ホワイトスポットの治療についても安心なさってください。
ホワイトスポットとは?
歯の表面に現れる白色の病変です。(White spot lesion)
ホワイトスポットの原因について
1初期虫歯由来:虫歯は脱灰と再石灰化のバランスが崩れることで発生します。エナメル質表層下のミネラルが失われることにより、透光性が低下して目に見えるような光学的な特性が変化した状態です。肉眼で明らかに白色の変色が認められます。
2 歯牙フッ素症:諸外国ではウオーターフロリデーションと呼ばれる取り組みにより水道水に高濃度のフッ素が添加されており、う蝕の予防に非常に役立っています。その反面、歯の形成期に高濃度のフッ素を歯に取り込むことにより歯の表面に白色や茶色の斑点ができることがあります。海外ではメジャーな歯の白質病変ですが、日本ではほぼ起こりませんので気にしないで下さい。(フッ素塗布では起こりません)
3 エナメル質形成不全:歯の形成期にかかった病気や栄養状態の不良、遺伝等により歯の表面のエナメル質が上手く作られなかった状態です。虫歯ではないのですが、エナメル質が正常に作られなかったため正常な部分と比べると結晶構造が変化しているため光の屈折率が異なるため色が白く見えたりします。白色~茶色とカラーバリエーションがあります。
4 MIH(Molar Incisor Hypomineralization)
前歯と第一大臼歯に原局して発症するエナメル質形成不全で、白色の病変の範囲や形成不全の深度は症例によって異なります。諸外国では認知のある病気ですが、日本では歯科関係者でも知っている人が少ないです。日本における大規模調査において7-12歳の罹患率は11.9%と諸外国と比較しても同程度の罹患率があるので、国内の歯科関係者への周知が必要です。原因は確定的なものはまだ確定していませんが、エナメル質形成時のビタミンDの不足を指摘する研究もあります。
参考文献:エナメル質形成不全(MIH)―わが国におけるMIH発症に関する大規模調査から J Headlth Care Dent.2014;14:6-12.
科学研究費助成事業 Vitamin D regulates dentalepithelical cell differentiation and enamel formation 平成30年5/18
ホワイトスポットは歯の結晶構造に変化が起きているため自然に治ることはありません。
また、ホワイトニングにより歯の明度を高くすることで、白斑を目立ちにくくすることはできるかもしれませんが消失はしません。後にお話しをさせて頂く低粘性レジン浸潤法の際にホワイトニングを併用することは非常に有意義であると考えられます。
そのためホワイトスポットの治療方法としては
①切削して治療する
過度に白色が強い場合、もしくは茶褐色が強い場合には完全に色を改善したいのであれば、最小限の切削を行いコンポジットレジン修復でダイレクトボンディングで治療することもあります。

前歯部審美障害を主訴に当院来院

ホワイトニングとダイレクトボンディングにて審美障害の改善を行いました
②非切削での治療
・オパールーストラ(ウルトラデント)
塩酸の含有された研磨剤で研磨をすることにより、化学的なステイン除去に加えて穏やかな機械的研磨で仕上げることができます。深さ0.2mm未満の脱灰したエナメル質を速やかに取り除きます。病変によりまだらになったエナメル質の白色および褐色の病変の治療に適しています。
表層下脱灰が0.2mm以上の症例、色が過度に強い症例には適していません。表層のエナメル質が少し薄くなることにより一時的に知覚過敏が起きる可能性があります。
アイコン治療とは

アイコン治療前の写真

アイコン治療後の写真

アイコン治療前の写真

アイコン治療後の写真
アイコン(Icon)DMG社はシーラントに代わる平滑面の予防充填材料です。低粘度の光重合型レジンをエナメル質における初期脱灰部(ホワイトスポット)に浸潤させミネラルの溶出を防止する初期虫歯の予防治療で開発されました。低粘性レジンを表層下脱灰部に浸潤させることで白色の色の改善を図ることも可能です。
低粘性レジン浸潤法という術式で日本ではまだ馴染みのない治療ですが、諸外国では低粘性レジン浸潤法ではなく商品名であるアイコン治療と呼ばれる程メジャーな治療法です。
Q:ホワイトスポットは自然に消えますか?
A:ホワイトスポットは歯の結晶構造に変化が起きているため自然に治ることはありません。
Q:ホワイトスポットは歯磨き粉で消えますか?
A:ホワイトスポットはエナメル質の0.2~0.8mmに及ぶ結晶構造の変化のため、歯磨き粉で消失することはありません。
Q:ホワイトスポットの治療費はどのくらいですか?
A:アイコン(Icon)を使用したホワイトスポットの治療は1歯¥66,000円(税込価格)となります
アイコン治療は最短でご相談・契約→アイコン治療→経過観察の合計3回で治療をすることが可能です。
アイコン治療は1歯¥44000(税込)。症例写真提供不可の方は1歯¥55000(税込)となっております。ご相談・施術・経過観察の合計3回ほどの治療回数がかかります。年齢制限のない治療法ではありますが、基本的には15歳以上での治療をお勧め致します。永続的に色が消失するわけではなく色の後戻りが起こることもあります。
門前仲町髙木歯科では1つのクリニックで抜歯・歯列矯正・虫歯治療・ホワイトニング・ホワイトスポット治療まで各専門医の診療を受診することが可能です。日本総合歯科学会指導医、日本歯科審美学会認定医、日本口腔外科学会専門医、日本矯正歯科学会認定医が在籍しております。
門前仲町髙木歯科は江東区の門前仲町駅・木場駅・越中島駅から徒歩10分以内にございます。地下にクリニックモール用の駐車場がございますので東京駅、銀座駅、豊洲や有明からもご通院可能です。(東京駅車で10分程、豊洲駅からは5分)
遠方よりお越しの方は東京駅よりタクシーで10分程でご通院が可能です。
アクセスはこちらです↓
https://www.takagi-dc.net/access.html
ホワイトスポット治療専用相談フォームはこちらをタップして下さい
歯医者、歯の色、ホワイトスポット等でお困りの方は門前仲町髙木歯科へお気軽にお問い合わせください。
投稿日:2022年5月31日
ダイレクトボンディング ラミネートべニア 歯を削らず 抜歯をしないで歯並びを治す
歯を綺麗にしたいというご相談の時にいくつかのチエック項目があります。
① 歯並び
② 歯の色
③ 歯の形
④ 歯肉の位置・色
以上を顔貌と見比べて美しくさせて頂く必要があります。
前回までに歯科矯正、セラミック矯正、ホワイトニングのお話をさせて頂きましたので今回は歯の形を綺麗にする方法のお話しをさせて頂きます。
歯の形・色を同時に治す方法としては歯の表面全体を1mm~1.5mm程切削し、セラミックでできた詰め物を歯の表面に貼り付けるラミネートべニアという方法があります。

上の写真は歯並びと歯の色の改善を主訴に来院なされた方です。

ラミネートべニアにて治療を行なった後の写真です
歯の表面のみを切削して、セラミックでできたつけ爪のようなものを接着します。歯を全周削るわけではないのでセラミッククラウンよりは歯へのダメージを抑えることができます。素材がセラミックのため美しい歯を再現することができるのと材料の劣化が起こりにくいため美しいさを長期間保つことができます。
歯を切削する必要がある、全ての症例に対応はできない。ということが欠点として挙げられます。
次にダイレクトボンディングについてもご説明させていただきます。
その場でコンポジットレジンというセラミック性の材料を用いて接着修復するという手法です。これにより歯を削ったり抜いたりすることなく歯並びや歯の形を綺麗にすることが可能です。
メリットとして
・抜歯不要
・非切削、もしくは最小限の歯の切削で治療が可能
・セラミック修復と比較し直接法なので接着層が少なく、より確実な接着が期待できる。
ということが挙げられます。実際の治療例をご紹介させていただきます。

歯のホワイトニングを行い色の改善が行えたのですが、歯の形と歯並び(デコボコ)が気になります。

ダイレクトボンディング後の写真
4本の前歯にダイレクトボンディングを行うことで、歯を抜いたり削ったりせずに歯並びを綺麗にすることができました。
治療は1時間程で終了しました。セラミック修復と違い歯への侵襲は最も少ないですが、材料自体の劣化があるため美しさはセラミック修復程は長持ちしませんが再度研磨、再治療を行うことも非常に容易に行うことが可能です。
院長は徳島大学大学院口腔科学研究科口腔科学専攻再生歯科治療学分野に所属し、日々勉強・研究を行っておりますので安心してご受診なさって下さい。
江東区門前仲町髙木歯科は門前仲町駅・木場駅・越中島駅より徒歩10分以内に位置しております。クリニックモール専用の地下駐車場がございますので豊洲、有明などの湾岸エリアの方にも大変多くご通院頂いております。
投稿日:2022年3月22日
審美歯科 ブライダルホワイトニングとセラミック矯正 江東区門前仲町髙木歯科
江東区にございます門前仲町髙木歯科です。
さて前ページでは歯のホワイトニングについて書かせて頂きました。あまりにもご自身の歯の色が濃い場合にはホワイトニングだけでは歯の色の改善を行うことができません。失活歯(歯の神経が死んでいる)やテトラサイクリン症歯(幼少期の抗生剤の服用による副作用)等がこれにあたると思います。
ホワイトニングだけでは歯の色の改善を行えない場合にはダイレクトボンディング(コンポジットレジン修復)、ラミネートべニア(セラミックのつけ爪のようなもの)、セラミッククラウンが必要になることがあります。
以下では結婚式にむけて歯を白く綺麗にしたいという主訴の方をブライダルホワイトニング、ダイレクトボンディング、セラミッククラウンを行って頂き、歯の色と歯並びを改善することができた症例です。

初診来院時の口腔内
全体的に歯の色が濃く、前歯は神経が死んでいて歯の色が特に濃く、歯並びが気になります。ホームホワイトニングを行って頂き歯の色の改善をしてから前歯2つは色の濃さ、歯並びの改善を図るためセラミッククラウンを行うことにしました。周囲の色の気になる部位はダイレクトボンディングにて治療をしていきます。

ホームホワイトニングを1か月行って頂き歯の色の改善が見られました。

ホワイトニング後にダイレクトボンディング、セラミッククラウンを装着した写真
全ての治療を行うことで美しい口元になられました。ご本人様にもご満足頂き、幸せな式のお手伝いができて施術者も大変嬉しかったです。
白く美しい口元になりたい、ホワイトニングをしてみたいなというかたはクリニックまでお問い合わせ下さい。
実際のホワイトニングの症例集です。
https://www.takagi-dc.net/case/whitening.html
江東区門前仲町髙木歯科は門前仲町駅・木場駅・越中島駅より徒歩10分以内に位置しております。クリニックモール専用の地下駐車場がございますので豊洲、有明などの湾岸エリアの方にも大変多くご通院頂いております。
投稿日:2022年3月7日
ブライダルホワイトニング(歯のホワイトニング) 江東区門前仲町髙木歯科
江東区の歯医者門前仲町髙木歯科です。
歯の色でお困りの方は多くいらっしゃいます。最近ではコロナ禍ではあるがそろそろ結婚式をとお考えになり、挙式や前撮り撮影のために歯のホワイトニングをしたい!!という方が増えてきているように感じております。
門前仲町髙木歯科の副院長はホワイトニングの研究を行い歯学博士を取得していますので安心してご相談下さい。
法律によって、歯の漂白(ホワイトニング)を行えるのは歯科医師、歯科衛生士に限られています。このような国家資格を所持していないと歯のホワイトニングは行えません。本当の意味での歯のホワイトニングは歯の内部色素を分解することにより漂白していきます。主な薬剤は過酸化水素になってきますので、通販サイトや歯科の国家資格を所持していないサロンなどでは使用薬剤が限られてくるため、過酸化水素を使用することができません。その場合使用する薬剤は歯の外部色素を除去しているだけなので、真の意味での漂白とは言えません。表面の汚れを取っているだけです。
詳しくは日本歯科審美学会にも記載がございますのでご覧になって下さい。
https://www.jdshinbi.net/information/whitening.php
歯のホワイトニングにはクリニックで受診して頂く①オフィスホワイトニング ご自身でマウスピースにお薬を入れて頂き行って頂く②ホームホワイトニングがあります。
①のメリットは早く白くなる。マウスピースで自分で毎日行う自信がない方にはオススメです
デメリットとして知覚過敏が起きやすい。後戻りが若干ホームホワイトニングより早い。コストが高い。
②のメリットは知覚過敏が起きにくく後戻りするのがオフィスホワイトニングよりゆっくりとしたタイミングである。
後戻りしたら自分でホワイトニングを再度行える。①に比べると安価である
デメリットとして、毎日2時間を1か月して頂くので自分でのコントロールに自信がない場合には向いていない。
どちらにしろ、前撮り撮影挙式に向けて2~3か月前ぐらいから準備をしていくことをオススメします。
症例ケースのご紹介です

術前写真
挙式披露宴にむけて歯のホワイトニングを行いたいという主訴でいらしたかたです。ホワイトニングのご説明をさせて頂きホームホワイトニングでご自身でホワイトニングを行って頂くことになりました。

術後1か月後の口腔内写真
1か月ホームホワイトニングを行って頂き結婚式にむけて歯を白く美しくすることができました。
その他のホワイトニングのご説明はHPにてご覧できます!!
https://www.takagi-dc.net/case/whitening.html
あまりにもご自身の歯の色が濃い場合にはホワイトニングだけでは白くすることはできません。詳しくは次のページでご紹介させて頂きます。
江東区門前仲町髙木歯科は門前仲町駅、木場駅、越中島駅より徒歩10分の場所にあります。クリニックモール専用の地下駐車場がありますので、豊洲や有明からもご通院を多く頂いております。
参考文献:日本歯科審美学会ホームページより
投稿日:2022年3月7日