歯を削らないですきっ歯(正中離開)を治す ダイレクトボンディング(コンポジットレジン修復)
江東区、門前仲町駅・木場駅・越中島駅から徒歩10分以内門前仲町髙木歯科です。前歯の隙間、すきっ歯(正中離開)が気になる場合にはどのような治療法があるのでしょうか。
①歯科矯正により歯の隙間を埋める
長所:歯を削らない。歯の大きさのバランスが元の状態と一緒なのでバランスが崩れることがない
短所:金額が高額である。治療期間がかかる
②セラミックによって間を埋める(セラミッククラウン、ラミネートべニア)
長所:治療が短期間である。2回程。セラミックなので美しさが長持ちする。
短所:歯を切削する。歯の幅が大きくなることがある。ラミネートべニアは脱離したりのリスクを伴う
③コンポジットレジン修復(ダイレクトボンディング)
長所:歯を一切削ることがない。修正、研磨が容易である。治療期間が短い(最短1回)
短所:欠けたりすることがある。材料の経年劣化による色の変化がある
今回は③のコンポジットレジンを使用したダイレクトボンディングで前歯のすきっ歯(正中離開)を治療した症例についてお話をさせて頂きます。
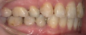
結婚式があるので歯を白くしたい、歯のすきっ歯(正中離開)が気になるという方です。

歯の色が濃く、前歯にはすきっ歯(正中離開)が観察されるためホームホワイトニングを1か月使用して頂くことになりました。(ホームホワイトニング費用¥33000円)
ホームホワイトニングを一か月使用して頂き歯の色が白くなったのを確認し、すきっ歯(正中離開)をコンポジットレジンを使用したダイレクトボンディングを行いました。(前歯ダイレクトボンディング1歯¥55000円)

ホームホワイトニングにより歯の色が白くなり、ダイレクトボンディングにて歯を一切削ることなくすきっ歯(正中離開)を治療することができました。
マスク装着が個人の判断となったので、歯の色が気になる。前歯のすきっ歯が気になるというご相談が多くなってきております。
門前仲町髙木歯科ではホワイトニング治療の経験豊富な歯学博士が在籍しており、院長の髙木仲人は徳島大学大学院再生歯科治療学分野教室にてダイレクトボンディングのような接着の研究を行っております。
門前仲町髙木歯科では1つのクリニックで抜歯・歯列矯正・虫歯治療・ホワイトニング・ホワイトスポット治療まで各専門医の診療を受診することが可能です。
門前仲町髙木歯科は江東区、門前仲町駅・木場駅・越中島駅から徒歩10分以内にございます。地下にクリニックモール用の駐車場がございますので東京駅、銀座駅、豊洲や有明からもご通院可能です。歯医者でお困り方はお気軽にお問い合わせください。
投稿日:2023年3月22日
江東区、門前仲町駅・木場駅・越中島駅から徒歩10分以内門前仲町髙木歯科です。今回は歯に現れる審美障害の原因の一つであるホワイトスポットについてお話しをさせて頂きます。院長の髙木は国立大学法人徳島大学再生歯科治療学保坂啓一教授のご指導の下、ホワイトスポットの研究また学会発表・セミナー発表、専門誌への執筆を行っております。

ホワイトスポット(歯の白い白斑やシミのようなもの)は歯の結晶構造に変化が起きているため自然に消えたりしません。また、歯磨き粉程度では色が消失することは絶対にありえません。

歯の表面に現れたホワイトスポット(歯の白斑)
ホワイトニングで色をぼかしていくか。歯を削ってコンポジットレジン修復を行うか、セラミックの被せ物をしよう。と提案されることもあるかもしれません。
ですが歯は削ると元には戻りませんから、なるべく削らないで欲しいというのが患者さん的にも私達歯科医も共通の思いです。
では、歯を削らずにホワイトスポットを治療するにはどうしたらいいの??
低粘性レジン浸潤法~ICON®(アイコン)がベストの治療法だと考えます。
屈折率がエナメル質とほぼ同程度のレジンを病変部に浸透させることで病変部の見た目が隣接するエナメル質と同じようになり,結果としてWSLをマスクすることが可能です。歯を削ることは一切ありませんのでご安心ください。多くの歯科クリニックで行われている治療法ではありませんので、アイコン治療を提供しているクリニックは非常に限られていりものとなります。
実際の症例です

写真右側、歯冠部にホワイトスポットと歯が欠けているのが観察できます。
色の調整はかなり困難である旨はご説明し、歯を一切削らずにホワイトスポットをアイコンで治療し同じ日にコンポジットレジン修復をすることとしました。

アイコン治療+コンポジットレジン修復後の写真
歯を一切削ることなく、歯の色と形を綺麗に治すことができました。アイコン治療が1歯¥66,000円(税込)コンポジットレジン修復が1歯¥33,000円(税込)。永続的に色が変化しない、というわけではありません。継続的なメインテナンスをすることで長く歯の色を綺麗なものにすることができます。
門前仲町髙木歯科では1つのクリニックで抜歯・歯列矯正・虫歯治療・ホワイトニング・ホワイトスポット治療まで各専門医の診療を受診することが可能です。
門前仲町髙木歯科は江東区、門前仲町駅・木場駅・越中島駅から徒歩10分以内にございます。地下にクリニックモール用の駐車場がございますので東京駅、銀座駅、豊洲や有明からもご通院可能です。歯医者でお困り方はお気軽にお問い合わせください。
投稿日:2023年3月6日
江東区、門前仲町駅・木場駅・越中島駅から徒歩10分以内門前仲町髙木歯科です。今回は歯に現れる審美障害の原因の一つであるホワイトスポットについてお話しをさせて頂きます。院長の髙木は国立大学法人徳島大学再生歯科治療学保坂啓一教授のご指導の下、ホワイトスポットの研究また学会発表・セミナー発表、専門誌への執筆を行っております。
ホワイトスポットは歯の結晶構造に変化が起きているため自然に治ることはありません。
歯を削らずにホワイトスポットを治療するには??
低粘性レジン浸潤法~ICON®(アイコン)
屈折率がエナメル質とほぼ同程度のレジンを病変部に浸透させることで病変部の見た目が隣接するエナメル質と同じようになり,結果としてWSLをマスクすることが可能です。歯を削ることは一切ありませんのでご安心ください。
実践の症例をみてみましょう

初診来院時の口腔内写真
前歯のホワイトスポット(写真左側の前歯の白い斑点)を気にしてご来院頂いた方です。他院では治すのに歯を削って詰めるか、セラミッククラウンにしよう。とお話があり、歯を削らないで治療ができないかとご相談にいらっしゃいました。
アイコン治療についてご説明し、後日アイコン治療を行いました。

アイコン治療直後の写真
歯を削ることなく歯のホワイトスポット(歯の白い斑点)を治療することができました。治療回数はご相談、アイコン治療、経過観察の合計3回です。
治療費用はご相談料金が30分¥5500円、ICON®(アイコン)での治療が1歯66000円です。処置の時間は2時間程お時間がかかりますので完全予約制での治療となっております。
門前仲町髙木歯科では1つのクリニックで抜歯・歯列矯正・虫歯治療・ホワイトニング・ホワイトスポット治療まで各専門医の診療を受診することが可能です。
門前仲町髙木歯科は江東区、門前仲町駅・木場駅・越中島駅から徒歩10分以内にございます。地下にクリニックモール用の駐車場がございますので東京駅、銀座駅、豊洲や有明からもご通院可能です。歯医者でお困り方はお気軽にお問い合わせください。
投稿日:2023年2月28日
歯を削らないホワイトスポット治療(歯の白い斑点)治療 歯科矯正後 オパールーストラ 東京
江東区、門前仲町駅・木場駅・越中島駅から徒歩10分以内門前仲町髙木歯科です。今回は歯に現れる審美障害の原因の一つであるホワイトスポットについてお話しをさせて頂きます。院長の髙木は国立大学法人徳島大学再生歯科治療学保坂啓一教授のご指導の下、ホワイトスポットの研究また学会発表・セミナー発表、専門誌への執筆を行っております。

2022年日本歯科審美学会学術大会口演発表
ホワイトスポットとは?
歯の表面に現れる白色の病変です。(White spot lesion)
ホワイトスポットは歯の結晶構造に変化が起きているため自然に治ることはありません。
歯を削らずにホワイトスポットを治療するには??
エナメルマイクロアブレージョン
日本で薬事承認のあるEMAの製品はウルトラデント社のオパールーストラがあります。
機械的・化学的な力で歯のホワイトスポット(白い斑点)を除去する製品です。せっかく歯列矯正をしたのに歯の表面にホワイトスポットがあって気になる、といった方にとてもぴったりの治療法です。
実際の症例をみてみましょう

画面右上の歯の付け根に歯列矯正後の白い斑点(ホワイトスポット)が観察できます。
このように白い色の変化がある時には自然に消失することはありません。せっかく歯列矯正をして綺麗にしたのに、もったいないですよね。
健康的な歯を削って詰め物をするのは嫌だという場合にはオパールーストラを使用した治療法が向いていると思います。

このようにお薬を歯に塗布し、研磨を行うだけですので歯を削るような治療法ではないので安心して下さい。

オパールーストラによる治療後の写真
オパールーストラによる研磨を行い、フッ化物塗布をしたことで歯の付け根の白い斑点(ホワイトスポット)が消失していることが分かります。
治療費用はご相談料金30分3300円、治療費用1歯22000円。ご相談、オパールーストラ治療、経過観察中の合計3回の治療回数、治療時間は1-2時間程必要です。
門前仲町髙木歯科では1つのクリニックで抜歯・歯列矯正・虫歯治療・ホワイトニング・ホワイトスポット治療まで各専門医の診療を受診することが可能です。
門前仲町髙木歯科は江東区、門前仲町駅・木場駅・越中島駅から徒歩10分以内にございます。地下にクリニックモール用の駐車場がございますので東京駅、銀座駅、豊洲や有明からもご通院可能です。歯医者でお困り方はお気軽にお問い合わせください。
投稿日:2023年2月13日
江東区門前仲町駅、木場駅から徒歩8分の門前仲町髙木歯科です。
「自分の歯並びが悪いので、コンプレックスだった。子どもには歯で困らないように矯正をしてあげたい」
「子どもの歯並びが悪いけれど、何歳ぐらいに歯医者に相談したらいいだろう?」
パパ・ママとしてはお子さんの歯並びはどうしても気になりますよね。
歯並びは見た目にも気になるところですが、咀嚼(食事)が不便である、発音・構音が上手にできずにちゃんと喋ることができない。歯磨きがしにくいせいでむし歯や歯周病になってしまうリスクが上がります。
Q 何歳ぐらいに受診すればいいの?
A 3歳を目安にご来院ください。この時に受け口の場合にはムーシールドとよばれる装置を装着することで、その後の矯正が必要なくなることもあります。悪習癖を治す指導を受けることで、同じく将来矯正治療を行わなくてよくなるかもしれません。
次のタイミングは6~7歳です。上下の前歯が大人の歯に生え変わり6歳臼歯が萌出することで、矯正治療をするべきかしなくていいかが診断でき大人の歯があるため矯正装置を装着することができるようになるからです。
小児矯正で、顎の骨を広げることで将来抜歯をしての矯正治療をしなくてすむ可能性があるため早い段階からの歯列矯正は非常に有効な治療です。
また子どもの矯正治療は成長・発育を考えて治療を進めていかなければならない治療技術の難易度が非常に高い治療法です。個人的な意見ですが必ず日本矯正歯科学会認定医、専門医、指導医いずれかが在籍するクリニックで受診をなさってください。昨今、専門医がいないのに歯科矯正を行い患者さんを不幸にしているクリニックのニュースを目にします。同じ歯科医師として非常に悲しく思います。
大切なお子さんの一生を左右する治療です。日本矯正歯科学会認定がいるクリニックか、心配でしたら大学病院の矯正科を尋ねるのもいいでしょう。
実際の症例です。歯の向きが反対なのが気になるとの主訴のお子さんの患者さんです。





かなり顎が細く叢生・反対咬合なのが観察できます。矯正装置を装着し顎の骨を広げてから、ワイヤー矯正による歯列矯正を行うこととしました。
3年後の実際の口腔内の写真です。





綺麗な歯並びになったのが分かります。
門前仲町髙木歯科には日本矯正歯科学会認定、日本口腔外科学会専門医、日本総合歯科学会指導医が在籍しており一つのクリニックで各専門医の受診が可能です。
門前仲町髙木歯科は江東区、門前仲町駅・木場駅・越中島駅から徒歩10分以内にございます。地下にクリニックモール用の駐車場がございますので東京駅、銀座駅、豊洲や有明からもご通院可能です。歯医者でお困り方はお気軽にお問い合わせください。
投稿日:2023年1月31日
江東区門前仲町駅、木場駅から徒歩8分の門前仲町髙木歯科です。歯並びが気になるから綺麗にしたい、でもマウスピース矯正を1日20時間装着することには抵抗があるという患者さんには裏側矯正(舌側矯正)がオススメです。
歯にブラケットとワイヤーを装着して歯並びを改善します。装置が舌側(裏側)につくのが特徴です。装置が裏側につくので、見た目が悪くなりません。また、マウスピース矯正と異なりワイヤーで歯を並べるので常に歯を動かす力がかかります。


裏側にワイヤーがあることで目立ちにくく、非常に審美的です
当院の裏側矯正は治療前に精密な型取りを行い、技工所で装置を作成します。
iTero 口腔内スキャナーによる光学印象で精密な型取りを行うため、患者様の負担が少なく行うことができます。
裏側矯正は治療技術の難易度が非常に高い治療法です。個人的な意見ですが必ず日本矯正歯科学会認定医、専門医、指導医いずれかが在籍するクリニックで受診をなさってください。昨今、専門医がいないのに歯科矯正を行い患者さんを不幸にしているニュースを目にします。同じ歯科医師として非常に情けないです。
門前仲町髙木歯科では患者さんの皆様の口腔内が美しくなり健康的な生活を手に入れられるよう努力していきます。
門前仲町髙木歯科は江東区、門前仲町駅・木場駅・越中島駅から徒歩10分以内にございます。地下にクリニックモール用の駐車場がございますので東京駅、銀座駅、豊洲や有明からもご通院可能です。歯医者でお困り方はお気軽にお問い合わせください。
投稿日:2023年1月29日
歯を削らないホワイトスポット治療(歯の白い斑点)治療 オパールーストラ 東京
江東区にあります門前仲町髙木歯科です。今回は歯に現れる審美障害の原因の一つであるホワイトスポットについてお話しをさせて頂きます。院長の髙木は国立大学法人徳島大学再生歯科治療学保坂啓一教授のご指導の下、ホワイトスポットの研究また学会発表・セミナー発表、専門誌への執筆を行っております。

2022年日本歯科審美学会学術大会口演発表
ホワイトスポットとは?
歯の表面に現れる白色の病変です。(White spot lesion)
ホワイトスポットの原因について
1初期虫歯由来:虫歯は脱灰と再石灰化のバランスが崩れることで発生します。エナメル質表層下のミネラルが失われることにより、透光性が低下して目に見えるような光学的な特性が変化した状態です。肉眼で明らかに白色の変色が認められます。
2 歯牙フッ素症:諸外国ではウオーターフロリデーションと呼ばれる取り組みにより水道水に高濃度のフッ素が添加されており、う蝕の予防に非常に役立っています。その反面、歯の形成期に高濃度のフッ素を歯に取り込むことにより歯の表面に白色や茶色の斑点ができることがあります。海外ではメジャーな歯の白質病変ですが、日本ではほぼ起こりませんので気にしないで下さい。(フッ素塗布では起こりません)
3 エナメル質形成不全:歯の形成期にかかった病気や栄養状態の不良、遺伝等により歯の表面のエナメル質が上手く作られなかった状態です。虫歯ではないのですが、エナメル質が正常に作られなかったため正常な部分と比べると結晶構造が変化しているため光の屈折率が異なるため色が白く見えたりします。白色~茶色とカラーバリエーションがあります。
4 MIH(Molar Incisor Hypomineralization)
前歯と第一大臼歯に原局して発症するエナメル質形成不全で、白色の病変の範囲や形成不全の深度は症例によって異なります。諸外国では認知のある病気ですが、日本では歯科関係者でも知っている人が少ないです。日本における大規模調査において7-12歳の罹患率は11.9%と諸外国と比較しても同程度の罹患率があるので、国内の歯科関係者への周知が必要です。原因は確定的なものはまだ確定していませんが、エナメル質形成時のビタミンDの不足を指摘する研究もあります。
参考文献:エナメル質形成不全(MIH)―わが国におけるMIH発症に関する大規模調査から J Headlth Care Dent.2014;14:6-12.
科学研究費助成事業 Vitamin D regulates dentalepithelical cell differentiation and enamel formation 平成30年5/18
ホワイトスポットは歯の結晶構造に変化が起きているため自然に治ることはありません。
歯を削らずにホワイトスポットを治療するには??
エナメルマイクロアブレージョン
日本で薬事承認のあるEMAの製品はウルトラデント社のオパールーストラがあります。
機械的・化学的な力で歯のホワイトスポット(白い斑点)を除去する製品です。

歯列矯正後の着色とホワイトスポットがある症例
マルチブラケットシステムによる歯列矯正後のホワイトスポットと着色を綺麗にしたいと主訴の患者さんです。

比較的に軽度のホワイトスポットだったためオパールーストラで治療を行いました。審美的な改善が写真より分かります。
治療費用はご相談料金30分3300円、治療費用1歯22000円。ご相談、オパールーストラ治療、経過観察中の合計3回の治療回数、治療時間は1-2時間程必要です。
門前仲町髙木歯科では1つのクリニックで抜歯・歯列矯正・虫歯治療・ホワイトニング・ホワイトスポット治療まで各専門医の診療を受診することが可能です。
門前仲町髙木歯科は江東区、門前仲町駅・木場駅・越中島駅から徒歩10分以内にございます。地下にクリニックモール用の駐車場がございますので東京駅、銀座駅、豊洲や有明からもご通院可能です。歯医者でお困り方はお気軽にお問い合わせください。
投稿日:2023年1月19日
歯を削らないホワイトスポット(歯の白い斑点)治療 Icon(アイコン) 東京
江東区にあります門前仲町髙木歯科です。今回は歯に現れる審美障害の原因の一つであるホワイトスポットについてお話しをさせて頂きます。院長の髙木は国立大学法人徳島大学再生歯科治療学保坂啓一教授のご指導の下、ホワイトスポットの研究また学会発表・セミナー発表、専門誌への執筆を行っております。

2022年日本歯科審美学会学術大会口演発表
ホワイトスポットとは?
歯の表面に現れる白色の病変です。(White spot lesion)
ホワイトスポットの原因について
1初期虫歯由来:虫歯は脱灰と再石灰化のバランスが崩れることで発生します。エナメル質表層下のミネラルが失われることにより、透光性が低下して目に見えるような光学的な特性が変化した状態です。肉眼で明らかに白色の変色が認められます。
2 歯牙フッ素症:諸外国ではウオーターフロリデーションと呼ばれる取り組みにより水道水に高濃度のフッ素が添加されており、う蝕の予防に非常に役立っています。その反面、歯の形成期に高濃度のフッ素を歯に取り込むことにより歯の表面に白色や茶色の斑点ができることがあります。海外ではメジャーな歯の白質病変ですが、日本ではほぼ起こりませんので気にしないで下さい。(フッ素塗布では起こりません)
3 エナメル質形成不全:歯の形成期にかかった病気や栄養状態の不良、遺伝等により歯の表面のエナメル質が上手く作られなかった状態です。虫歯ではないのですが、エナメル質が正常に作られなかったため正常な部分と比べると結晶構造が変化しているため光の屈折率が異なるため色が白く見えたりします。白色~茶色とカラーバリエーションがあります。
4 MIH(Molar Incisor Hypomineralization)
前歯と第一大臼歯に原局して発症するエナメル質形成不全で、白色の病変の範囲や形成不全の深度は症例によって異なります。諸外国では認知のある病気ですが、日本では歯科関係者でも知っている人が少ないです。日本における大規模調査において7-12歳の罹患率は11.9%と諸外国と比較しても同程度の罹患率があるので、国内の歯科関係者への周知が必要です。原因は確定的なものはまだ確定していませんが、エナメル質形成時のビタミンDの不足を指摘する研究もあります。
参考文献:エナメル質形成不全(MIH)―わが国におけるMIH発症に関する大規模調査から J Headlth Care Dent.2014;14:6-12.
科学研究費助成事業 Vitamin D regulates dentalepithelical cell differentiation and enamel formation 平成30年5/18
ホワイトスポットは歯の結晶構造に変化が起きているため自然に治ることはありません。
歯を削らずにホワイトスポットを治療するには??
低粘性レジン浸潤法~ICON®(アイコン)
屈折率がエナメル質とほぼ同程度のレジンを病変部に浸透させることで病変部の見た目が隣接するエナメル質と同じようになり,結果としてWSLをマスクすることが可能です。

前歯の目立つ部分にホワイトスポットがある症例
歯の白い斑点が気になるとの主訴でご来院の患者さんです。ICON®(アイコン)で歯を削ることなく治療をすることとしました。



ICON®(アイコン)で治療後の口腔内写真
歯を削ることなく歯のホワイトスポット(歯の白い斑点)を治療することができました。治療回数はご相談、アイコン治療、経過観察の合計3回です。
治療費用はご相談料金が30分5,500円、ICON®(アイコン)での治療が1歯66,000円〜88,000円です。処置の時間は2時間程お時間がかかりますので完全予約制での治療となっております。
門前仲町髙木歯科では1つのクリニックで抜歯・歯列矯正・虫歯治療・ホワイトニング・ホワイトスポット治療まで各専門医の診療を受診することが可能です。
門前仲町髙木歯科は江東区、門前仲町駅・木場駅・越中島駅から徒歩10分以内にございます。地下にクリニックモール用の駐車場がございますので東京駅、銀座駅、豊洲や有明からもご通院可能です。歯医者でお困り方はお気軽にお問い合わせください。
投稿日:2023年1月19日
東京都江東区の歯医者門前仲町髙木歯科です。現在院長の髙木仲人は国立大学法人 徳島大学 大学院口腔科学研究科口腔科学専攻再生歯科治療学分野 に所属しており、東京医科歯科大学 大学院医歯学総合研究科 医歯学専攻 口腔機能再構築学講座 う蝕制御学分野 特別研究学生をしています。
12月の年末にコンポジットレジン修復で多数のご講演をなさっていることで著名な田代浩史先生の主催なさっているセミナーであるDIRECT RESTORATION OF COMPOSITE RESINの年に一度のミーテイングに参加させて頂きました。参加者の発表もあり光栄なことに私の方で大トリを務めさせて頂きました。

全国各地より、患者さんの歯を大きく削ることなく治療するのにはどうしたいいのかを学びつつ意見交換をする場です。休日を返上し治療法や手技について語り合う一日でした。全国に患者さんの歯の健康のことを考えている歯科医師がこんなにいるのだ、自分も気を引き締めて頑張ろうと感じた1日でした。発表の内容はホワイトスポットをどのように治療していくのか、を系統的に治療中の写真を提示しながらお伝えさせて頂く内容でした。
普段勉強したことや、診療して感じたことを発表を通じて多数の先生方とお話を頂戴することが多くなり改めて日々の治療を精一杯行わせて頂く所存です。
投稿日:2023年1月6日
東京都江東区の歯医者門前仲町髙木歯科です。現在院長の髙木仲人は国立大学法人 徳島大学 大学院口腔科学研究科口腔科学専攻再生歯科治療学分野 所属。東京医科歯科大学 大学院医歯学総合研究科 医歯学専攻 口腔機能再構築学講座 う蝕制御学分野 特別研究学生をしています。
私は徳島大学病院再生歯科治療学分野教授の保坂啓一先生にご指導賜りたく、現在大学院に所属しています。日々の治療いつも通りさせて頂きながら、休日には大学院にて研究をさせて頂いております。好きな道を極めたいという気持ちもありましたし、ご来院頂く患者さんの皆さんに最高の治療を。また世界最先端の知識・技術を学び地域の皆さんの健康のお手伝いをと願っています。

徳島大学にて保坂啓一先生と
歯科クリニックにおいて(いわゆる町医者)は開業医となった時点で知識や技術の向上が難しくなることが多々あります。そうはならないよう、論文やしっかりとした研究内容に基づいた安心安全な治療を行わせていただきます。
ご通院して頂いている患者さんにおいては、私が研究や学会等でクリニックをお休みにしなければいけない日がありますのでご迷惑をおかけ致しますがご理解の程よろしくお願いいたします。
門前仲町髙木歯科では1つのクリニックで抜歯・歯列矯正・虫歯治療・ホワイトニングまで各専門医の診療を受診することが可能です。
門前仲町髙木歯科は江東区、門前仲町駅・木場駅・越中島駅から徒歩10分以内にございます。遠方の方には地下にクリニックモール用の駐車場がございますので豊洲や有明からも多くの方にお越し頂いております
投稿日:2022年12月5日