審美歯科

記事筆者:髙木 仲人

審美歯科とは

美しさ+機能面の
バランスを重視した治療

顔全体の印象は、口元で決まります。当院では見た目の美しさはもちろん、「噛む」「話す」といった機能面のバランスも重視し、できる限り自然で健康的な状態をめざしています。

保険診療・自由診療など様々な選択肢がありますので、症状やライフスタイル、ご予算などに応じてご提案いたします。金属の詰め物や被せ物を白くしたい、歯の隙間が気になるなど、ご希望をお聞かせください。

金属アレルギーが不安な方へ

銀歯など金属の詰め物をしていると、長い時間をかけて金属が溶けだして体内に蓄積され、将来的に様々な不調を引き起こしてしまうことが稀にあります。

そこで当院では、金属を使わない(メタルフリーの)治療をおすすめしています。 コンポジットレジンやセラミックなどの素材ならば、金属アレルギーの心配がなく、虫歯にもなりにくいといったメリットもあります。

セラミックによる虫歯治療について

装着するセメントの種類が接着性能を有するレジンセメントで装着するため詰め物と自分の歯の隙間からの虫歯になりにくいです。

また、セラミックの歯は周りの歯に色を合わせることができるので、どの歯がセラミックなのか分からない程自然な仕上がりにすることができます。
歯の透明感も再現できるのはセラミックの優れた点です。

精密治療に必要不可欠な
マイクロスコープ

マイクロスコープ

肉眼では見えない
細かな部分の治療が可能
高精度の治療を提供します

マイクロスコープは、肉眼では見えない部分まで綺麗に写すことのできるレンズと、暗い口の中を照らすことのできる強力な光源が備わっており、治療する歯を3倍から20倍以上の大きさに拡大し、実際に見ながら治療を行うことができます。

門前仲町髙木歯科では、自費治療の際には最大限マイクロスコープを活用し、正確で高度な治療を提供します。
※保険診療ではマイクロスコープを使用いたしませんのでご注意ください

日本歯科審美学会認定医による
高い専門性をもった治療

髙木 仲人日本歯科審美学会認定医

髙木 仲人 日本総合歯科学会指導医髙木 仲人 日本歯科審美学会認定医

院長の髙木仲人は一般社団法人 日本歯科審美歯科学会認定医です。会員数は4400名程で認定医は130名程です。認定医を取得するためには学会に所属し5年以上、学会での発表や口頭試問等があり取得は困難です。多くの認定医は大学組織に所属している先生か、個人のクリニックで開業されている著名な先生ばかりです。
なるべく歯を削らずに、審美的な治療を心掛けておりその研究や学会発表を行うことで今回の日本歯科審美学会認定医の取得となりました。

日本歯科審美学会認定医がいるとどのようなメリットがあるのでしょうか?

審美的な治療を行う治療計画の立案が可能であり、治療においては専門的な知識と技術を有しています。美しいデンタルホワイトニングやアイコンを使用したホワイトスポット治療、セラミック治療ダイレクトボンディング等の治療を安心して受けることができます。

1.ホワイトニングの有効性がわかる

日本歯科審美学会認定医はホワイトニングにより歯が白くなりやすい・なりにくいの判断ができます(経験値です)。その結果、歯によって白さにばらつきがないようにすることが期待できます。

  1. 失活歯への対応(歯の神経が死んでいる状態)
  2. 歯の色が濃いのが気になる
  3. テトラサイクリン症歯

等の歯の色の変化について対応が可能です。

2.テーラーメイドの審美治療を受けることができる

ホワイトニングだけでなく、アイコンを使用したホワイトスポット治療、コンポジットレジン修復、セラミック治療等の治療を組み合わせることでご希望に沿った審美歯科治療が受診可能です。

3.ホワイトニングやホワイトスポット治療、コンポジットレジン修復に関する情報が新しい

日本歯科審美学会の認定医である髙木仲人は徳島大学再生歯科治療学分野に所属しており、大学院を通じて最新の歯科知識技術を獲得しております。

また日本歯科審美学会認定医は5年ごとに資格の更新が必要です。資格更新のためには、日本歯科審美学会主催するセミナー・講演などに参加する必要があります。

大学院と学会を通じて最新のホワイトニングやホワイトスポット治療、コンポジットレジン修復に関する知識を有しています。

門前仲町髙木歯科では1つのクリニックで抜歯・歯列矯正・虫歯治療・ホワイトニング・ホワイトスポット治療まで各専門医の診療を受診することが可能です。日本総合歯科学会指導医、日本歯科審美学会認定医、日本口腔外科学会専門医、日本矯正歯科学会認定医が在籍しております。

日本歯科評論 増刊2023に
掲載されました

高い審美性と効率的な治療が求められるCR修復に関する最新の知識とテクニックを解説している「日本歯科評論 増刊2023 ハイエンドなSkill&knowledgeを活かした ワンランク上のコンポジットレジン修復」に院長の髙木仲人の記事が掲載されました。
髙木仲人は「低粘性レジン浸潤法とCRとのコンビネーション審美修復」の記事を担当しています。

コンポジットレジン(CR)修復は、修復治療の選択肢として欠かすことができないものとなっています。門前仲町髙木歯科では、「保険内で治療するのか、自由診療でより審美性を求めるのか」など、患者さまお一人おひとりのご要望に合わせたオーダーメイドの治療を提供してまいります。お気軽にご相談ください。

当院は患者様の
満足度調査を実施しております

患者満足度調査

当院の審美歯科治療

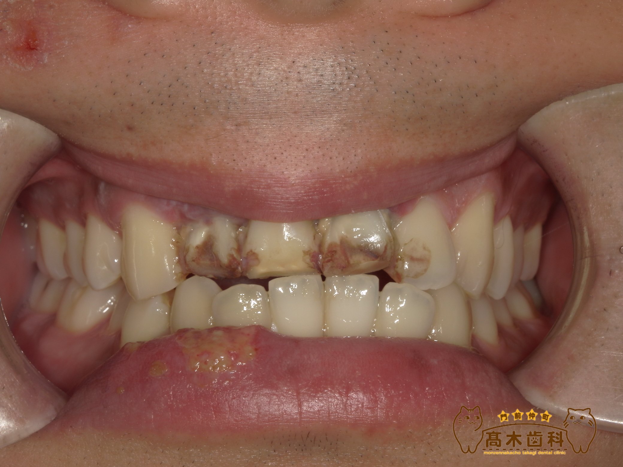
門前仲町髙木歯科では自費治療のセラミックの詰め物や被せ物で装着の際には、
保険診療時よりもお時間を頂戴し、より一層慎重に治療を行います。

日本歯科審美学会認定医の
院長によるセラミック治療

日本歯科審美学会認定医の院長によるセラミック治療により、審美的な治療が可能です。

門前仲町髙木歯科の院長は大学院でも実験・研究を行っており接着操作(歯にセラミックを着ける操作)含め審美歯科に自信があります。

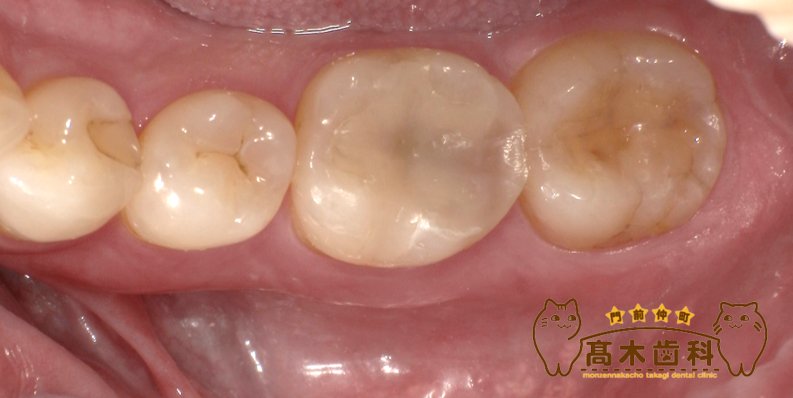
ラバーダム防湿を使用した
セラミックインレーの装着

※症例によってはラバーダム防湿が行えないこともあります。

  1. 歯面清掃 ラバーダム防湿(ばい菌が入らないためのゴムのマスク)を装着し、麻酔をかけて歯面清掃します。 ラバーダム防湿を仕様したセラミック治療
  2. 接着剤を塗布 歯に接着剤を塗布します。 ラバーダム防湿を仕様したセラミック治療
  3. セラミックの装着 セメントでセラミックの詰め物を装着し、光で硬化させます。 ラバーダム防湿を仕様したセラミック治療
  4. 研磨 詰め物の装着箇所を研磨します。 ラバーダム防湿を仕様したセラミック治療
  5. 装着して1週間経過後 セラミックの詰め物が綺麗に装着できました。 ラバーダム防湿を仕様したセラミック治療

当院の審美歯科の特徴

①学術的エビデンスに基づいた
“根拠ある審美歯科治療”

当院の院長は、大学院でう蝕制御学(虫歯治療学)を専門に研究し、Dental Materials Journalなどの国際学術誌で研究成果を発表しています。また、全国の歯科医師向けに審美修復・ホワイトニング・レジン浸潤法(Icon)などの講演・書籍執筆も行い、臨床と研究の両面から審美歯科を追求しています。これにより、単に「見た目を整える」だけでなく、科学的根拠(エビデンス)に基づいた安全で長持ちする審美治療を提供しています。
これにより、単に「見た目を整える」だけでなく、科学的根拠(エビデンス)に基づいた安全で長持ちする審美治療を提供しています。

院長が実際に研究・発表している
テーマの一例

  • ホワイトスポット(白斑)に対するIconレジン浸潤法
  • フロアブルレジンの温度管理と物性改善
  • ショートファイバー配合レジンの破壊靭性・弾性特性の研究
  • ホワイトニングを組み合わせたテーラーメイド審美治療

これらの学術的知見をもとに、“理論と実践の融合”を目指した治療を行っています。

②ホワイトニング・Icon・レジン修復を
組み合わせたテーラーメイド治療

MI審美歯科治療

審美歯科の目的は「歯を白くする」だけではありません。患者様一人ひとりの歯質・色調・笑顔の印象に合わせ、最小限の侵襲で最大の審美効果を得ることが重要です。

当院では、

  • ホワイトニング(オパールエッセンス®等)による全体的なトーンアップ
  • レジン浸潤法(Icon®)によるホワイトスポットやブラウンスポットの改善
  • コンポジットレジン修復による微細な形態・色調の補正

を段階的に組み合わせる「テーラーメイド型MI審美治療」を行っています。削る量を最小限に抑え、天然歯の透明感を活かした自然な仕上がりを実現します。

特にIconを用いた治療は、ホワイトスポット(白斑)や矯正後の白いムラに有効で、削らずに透明感を回復できる革新的な方法です。ホワイトニングと組み合わせることで、より均一で明るい歯の印象を得ることができます。

③審美性と機能性を両立した
“長く続く美しさ”

審美歯科治療は、美しさと機能性の調和が大切です。一時的な見た目の改善ではなく、「噛みやすさ」「清掃性」「耐久性」を考慮することが、結果として長持ちする美しさにつながります。

当院では、

  • 精密拡大視野下での接着操作
  • 高品質レジンやセラミックを用いたメタルフリー治療
  • 歯ぐきとの境界まで考慮した自然な形態設計

を徹底しています。

また、治療後もメンテナンスプログラムを通して定期的にチェックを行い、経年的な色調変化や微小破折にも早期に対応できる体制を整えています。
このように、「科学的根拠×審美感覚×長期安定性」の3要素を融合させた治療が、門前仲町髙木歯科の審美歯科の最大の特徴です。

門前仲町髙木歯科の審美歯科が
選ばれる理由

  • 大学院での研究・論文発表・講演活動に基づいた科学的エビデンス
  • Icon・ホワイトニング・レジン修復を組み合わせた削らないMI治療
  • 専門的審美歯科治療を長期的視点でサポートするメンテナンス体制

各審美治療の
メリット・デメリット

当院では、患者さまの歯の状態・希望・ライフスタイルに合わせて、複数の審美治療法をご提案しています。それぞれの治療には「メリット」と「注意点(デメリット)」があります。以下の比較を参考に、ご自身に合った治療方法を一緒に考えていきましょう。

①ホワイトニング(オフィス/ホーム)

メリット

  • 歯を削らずに自然な白さを実現できる
  • 歯の透明感や明るさが改善され、清潔感のある印象に
  • 短期間(1〜2週間)で効果を実感しやすい

デメリット

  • 効果の持続には定期的なメンテナンスが必要(約6〜12ヶ月に1回)
  • 個人差があり、ホワイトスポットやテトラサイクリン変色は改善しにくいこともある
  • 一時的にしみる(知覚過敏)症状が出る場合がある

当院の特徴

ウルトラデント社「オパールエッセンス®」シリーズを使用し、歯質に優しく、発熱・刺激が少ない最新ジェルを採用しています。ホームとオフィスの併用(デュアルホワイトニング)にも対応しています。

②レジン修復(コンポジットレジン)

メリット

  • 当日1回で治療が完結するケースが多い
  • 歯を削る量が少なく、痛みが少ない
  • 天然歯に近い色調での修復が可能
  • 欠けやすい部位の微修正やリペアも容易

デメリット

  • 経年劣化により変色・摩耗が起こることがある
  • 大きな範囲の修復では強度が不足する場合がある
  • 咬合力が強い部位では破折リスクが高まる

当院の特徴

  • 治療前

  • エバーエックスフローと
    従来型コンポジットレジン修復の併用

大学院での材料学的研究(流動性・強度・接着特性)をもとに、症例に応じて高靭性ファイバーレジン(EverX Flowなど)や高審美レジン(Majesty ES Flow Universalなど)を選択しています。

③Icon(アイコン)治療
(ホワイトスポット/ブラウンスポット)

メリット

  • 歯を削らずに白斑・茶斑を改善できる
  • エナメル質内部にレジンを浸透させ、透明感を回復
  • 矯正治療後の白いムラにも有効
  • 痛みがほとんどなく、麻酔不要で治療可能

デメリット

  • 表層の性状や深い変色では完全に改善しない場合もある
  • エナメル質表面が厚く硬い場合、浸透が不十分なことがある
  • 加齢や再脱灰で色の戻り(再白化)が起こることがある

当院の特徴

臨床と研究の両面から、長期安定性と審美性に優れた治療法を提供しています。

研究

ホワイトスポットおよびブラウンスポットに対する審美修復処置の一例 -ホワイトニング・マイクロアブレージョン・レジン浸潤法・コンポジットレジン修復の併用-
髙木仲人ら;第163回日本歯科保存学会 2025年度秋季学術大会

④セラミック治療(インレー・クラウン・
ラミネートベニア)

メリット

  • 天然歯に近い透明感と質感で高い審美性を実現
  • 金属を使用しないため金属アレルギーの心配がない
  • 変色しにくく、長期にわたり美しさを維持
  • 精密な接着で、二次う蝕のリスクを低減

デメリット

  • 自費診療のため、保険適用外(費用がかかる)
  • 極端に強い咬合力がかかる部位では破折リスクがある
  • 製作に数日〜1週間の期間を要する

当院の特徴

  • 外傷直後治療前

  • セラミッククラウン治療後

  • セラミッククラウン治療後

セラミック専門技工士と連携し、色調・形態・歯肉との調和まで考慮したオーダーメイド設計。CAD/CAMセラミックからe-max・ジルコニアまで、症例に合わせて最適な素材を選択しています。

⑤マイクロアブレージョン
(表層研磨法)

メリット

  • エナメル質表層の薄い変色を除去できる
  • Icon治療前の前処置として効果的
  • 表面が滑沢化し、プラーク付着を抑制

デメリット

  • 歯の表層をわずかに削るため、適応症例の見極めが重要
  • 深い白斑・茶斑には単独では効果が限定的
  • 一時的に歯がマットに見えることがある

当院の特徴

オパールーストラ

Opalustre®(ウルトラデント社)を使用し、安全性と操作性に配慮したプロトコールで実施。Icon治療やホワイトニングと組み合わせて、より自然な仕上がりを追求しています。

まとめ:目的・症状・希望に合わせた
「組み合わせ治療」へ

審美歯科は「一つの方法で全てを解決する」ものではありません。
門前仲町髙木歯科では、

  • ホワイトニングで全体のトーンアップ
  • Iconで白斑改善
  • レジン修復で形態調整
  • セラミックで長期的な美と耐久性の確立

といったように、複数の手法を患者様ごとにカスタマイズすることで、削らず・痛みを少なく・自然な美しさを実現します。

よくあるご質問

Q1. セラミックはどれくらい
保ちますか?

A1. セラミックは、適切な設計・接着操作・メンテナンスを行えば10年以上の長期使用も十分可能です。一般的な臨床研究では、10年後の残存率は約90%前後と報告されています(※使用状況・咬合力・清掃状態により個人差があります)。

当院では、

  • 光学印象や、シリコンによる精密な型取りと接着操作
  • 歯ぐきとの調和を重視した設計
  • 定期的なメンテナンス(3〜6か月ごとのクリーニング)

により、長く美しさと機能性を維持できる環境づくりを行っています。

Q2. 保証期間はありますか?

A2. はい、当院では自費の審美治療(セラミック修復など)に対して保証制度を設けております。

通常は、3年間保証を基本としております。
※咬合力による破折や事故・メンテナンスを怠った場合などは対象外となる場合があります。保証条件があります。
また、保証期間後も定期的なメンテナンス(咬合・接着状態・歯肉の健康チェック)を継続することで、長期的に安定した状態を保つことができます。

Q3. 治療期間はどのくらいですか?

A3. 治療内容によって異なりますが、回数や期間の目安としては以下の通りです。

ホワイトニング(ホーム) 約2週間(1日1回・14日間)
Icon(ホワイトスポット治療) 1回(約60〜90分)
コンポジットレジン修復 1回(約30〜60分)
セラミックインレー/クラウン 2〜3回(約2〜3週間)
ラミネートベニア 2〜3回(約2〜3週間)

症例によっては、ホワイトニングや歯のクリーニングを併用することもあります。
初診カウンセリングで治療計画・期間を詳しくご説明いたしますのでご安心ください。

Q4. 審美治療で痛みは出ますか?

A4. ほとんどの審美治療では痛みはほとんどありません。特に、Icon(レジン浸潤法)やホワイトニングは削らず・麻酔不要で行えるため、治療中・治療後の痛みが非常に少ないのが特徴です。
セラミック治療やレジン修復を行う場合も、

  • 必要に応じた局所麻酔による無痛処置
  • 歯ぐきや周囲組織に配慮した低侵襲オペレーション
  • 治療後の知覚過敏予防処置

を徹底しております。

また、痛みに不安がある方には、治療前に麻酔感や術中の違和感を軽減するカウンセリングを行っています。

安心して治療を受けていただくために

門前仲町髙木歯科では、「削らない」「痛くない」「長持ちする」ことを大切に、ホワイトニング・Icon・セラミック・レジン修復を組み合わせたテーラーメイド治療を行っています。治療後も定期的な検診とクリーニングで、“美しさと機能を長く保つ歯”をサポートいたします。

料金表

セラミックインレー(詰め物) 1歯 66,000円(税込)
臼歯部用ジルコニアクラウン(被せ物) 1歯 88,000円(税込)
前歯部用セラミッククラウン(被せ物) 1歯 132,000〜165,000円(税込)
料金表はこちら

Reservation各治療に特化したエキスパートにお任せください

  • 自分に合うのはどの治療なの?
  • ネットの情報だけじゃわからない
  • しっかりと話し合って決めたい
  • ネットの情報だけじゃわからない
  • 実績あるドクターを探してる

お気軽にご相談ください、
あなたに合う治療を
ご一緒に探していきましょう!

Information診療のご案内

  • ご予約・診療時間

    診療時間
    10:00-13:00
    14:30-19:00

    休診日:木曜・日曜・祝日
    土曜日午後は14:00-18:00
    ※診療時間は変更になる場合がございます。

  • アクセス

    門前仲町髙木歯科 monzennakacho takagi dental clinic

    〒135-0045
    東京都江東区古石場2丁目14-1
    ウェルタワー深川105

  • 電車でお越しの方
    • 東京メトロ東西線・大江戸線「門前仲町駅」…徒歩8分
    • 東京メトロ東西線「木場駅」…徒歩9分
    • JR京葉線「越中島駅」…徒歩10分
    お車でお越しの方
    クリニックモール用の地下駐車場が6台ございます。
    (1時間100円、お支払いはSuica・PASMOのみ対応)