矯正治療

記事筆者:髙木 仲人

矯正治療で理想の歯並びを
手に入れませんか?

矯正治療で理想の歯並びを手に入れませんか?

このようなお悩みはありませんか?

  • 前歯がガタガタしていて
    子どもの頃からコンプレックスの方
  • 口元が前方に出ていて
    唇が自然に閉じられない方
  • 見た目も噛み合わせも好ましくない歯並びの方
  • 一部分だけ、気になるところだけを整えたい方

矯正治療に年齢制限はありません

矯正治療に年齢制限はないため、「矯正したい!」と思った時が治療開始のタイミングと言えるでしょう。

また、矯正治療は治療期間が比較的長い治療でもあるため、ライフイベントと重ならないように逆算して治療開始される方も多くいらっしゃいます。それぞれのご状況やご希望をふまえて、治療開始のタイミングなどもご提案できますのでお気軽にご相談ください。

矯正治療を
検討されている方へ

矯正治療を検討されている方へ

「不揃いの歯並びを見られるのが嫌で、人と話すときに無意識に口元を手で覆ってしまう。」
「写真を撮るときにいつも自分だけ笑っていない…。」

など、そうしたお悩みやコンプレックスも矯正治療で解消されるはずです。
歯並びを治すことで笑顔に自信が持てるようになり、表情も雰囲気も変わった方々がたくさんいらっしゃいます。一緒に美しい歯並びをつくり思いっきり笑いませんか?

日本矯正歯科学会認定医 田中 崇嗣

門前仲町髙木歯科で歯科矯正治療を担当しています、田中崇嗣と申します。 少しでも気になる患者さまは、お気軽にご相談ください。今後の豊かな人生を送る上で、お手伝いが出来れば幸いです。

日本矯正歯科学会認定医 田中 崇嗣
ドクター紹介

矯正治療 症例

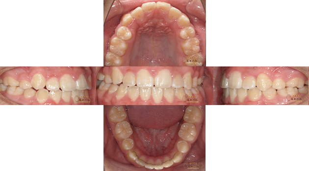
前歯のブラケット矯正

主訴 開咬が気になる。
治療期間 2年間
治療費 精密検査 44,000円(税込)
成人矯正 770,000円(税込)
調整料金 5,500円(税込)
治療内容 マルチブラケットシステムによる歯列矯正を行い、小臼歯は非抜歯で治療を行った。
治療のリスク 後戻り防止のリテーナーを装着しないと、
歯並びが後戻りをすることがある。
主訴 前歯を綺麗にしたい。
治療期間 2年間
治療費 ワイヤー矯正 770,000円(税込)
月に1度調整が必要5,500円(税込)
治療内容 日本矯正歯科学会認定により抜歯を伴う全顎矯正を行なった。
う蝕治療・歯並びの治療を主訴に来院。
う蝕治療後、上顎前突と診断し、インプラントアンカーを併用したマルチブラケットシステムによる歯列矯正を行ない、2年後歯列矯正後のブラケット除去。
着色とホワイトスポットが確認できたため、
オパールストラを使用することとした。
治療のリスク リテーナーを装着しないと、
後戻りすることがある。
主訴 下顎前突が気になる。
治療費 精密検査 44,000円(税込)
成人矯正 770,000円(税込)
調整料金 5,500円(税込)
治療内容 上顎前方牽引装置を用いて治療を行った。
治療のリスク 後戻り防止のリテーナーを装着しないと、
歯並びが後戻りをすることがある。
主訴 開咬が気になる。
治療費 精密検査 44,000円(税込)
成人矯正 770,000円(税込)
調整料金 5,500円(税込)
治療内容 マルチブラケットシステムによる歯列矯正を行い、小臼歯を抜歯して治療を行った。
治療のリスク 後戻り防止のリテーナーを装着しないと、
歯並びが後戻りをすることがある。
主訴 叢生(デコボコ)が気になる。
治療費 精密検査 44,000円(税込)
成人矯正 770,000円(税込)
調整料金 5,500円(税込)
治療内容 マルチブラケットシステムによる
歯列矯正を行った。
治療のリスク 後戻り防止のリテーナーを装着しないと、
歯並びが後戻りをすることがある。
主訴 叢生(デコボコ)が気になる。
治療費 精密検査 44,000円(税込)
成人矯正 770,000円(税込)
調整料金 5,500円(税込)
治療内容 マルチブラケットシステムによる
歯列矯正を行った。
治療のリスク 後戻り防止のリテーナーを装着しないと、
歯並びが後戻りをすることがある。

インビザライン部分矯正

主訴出っ張っている前歯の歯並びを綺麗にしたい。
治療期間2年
治療費 精密検査 44,000円(税込)
成人矯正 1,210,000円(税込)
調整料金 5,500円(税込)
治療内容上顎前突をインビザラインを用いた
マウスピース矯正で改善した。
治療のリスクインビザラインは1日の装着時間、
取り外し回数に制限がある。
主訴開咬が気になる。
治療費 精密検査 44,000円(税込)
成人矯正 1,210,000円(税込)
調整料金 5,500円(税込)
治療内容下顎の小臼歯を抜歯したうえで、インビザラインによるマウスピース矯正を行い、開咬を改善した。
治療のリスクインビザラインは1日の装着時間、
取り外し回数に制限がある。
主訴出っ張っている前歯の歯並びを綺麗にしたい。
治療費 精密検査 44,000円(税込)
成人矯正 1,210,000円(税込)
調整料金 5,500円(税込)
治療内容上顎前突をインビザラインを用いた
マウスピース矯正で改善した。
治療のリスクインビザラインは1日の装着時間、
取り外し回数に制限がある。

小児矯正と成人矯正

主訴 歯並びを綺麗にしたい。
治療期間 3年
治療費 矯正代金770,000円(税込)
治療内容 小児矯正と成人矯正を行ない健康的な歯並びを手に入れることができた。
その他の症例を見る

まずは相談だけでも
してみませんか?

矯正料金や技量・技術、矯正装置の種類など様々です。 少しでも歯並びについて気になること、 「見えない矯正治療をしたい」「自分の歯並びでも治る?」など何でも構いません。 矯正治療を得意とした私たちドクターが、これまでの経験から あなたにとって少しでもプラスになるようご提案いたします。

詳しくは電話でお問い合わせ
03-6458-5779

豊富な矯正治療メニュー

患者さまのご希望に合わせた矯正治療を
全ての方にご提供します

矯正治療によってご自身の笑顔に自信が持てるようになり、対人関係にも大きなプラスとなる事でしょう。また、早いタイミングで矯正治療を通してブラッシングや口腔衛生を保つ習慣を身につけることで、生涯にわたり良い歯並びと健康なお口で食事を楽しんでいただけるようになると考えています。

  • 表側矯正 歯の表側にワイヤーを着用する成人向けの矯正治療のご案内です。一般的な歯列矯正で、一番費用的を抑えた全顎矯正になります。詳しくはこちら
  • 裏側矯正 歯の裏側に装置をつけて歯並びを整える矯正のご案内です。歯の裏側にワイヤーを装着するので、矯正治療を他人にバレずに行なうことが可能です。詳しくはこちら
  • マウスピース矯正 「インビザライン」を使用したマウスピース矯正のご案内です。透明なマウスピースを装着するので、目立たずに行なうことが最大のメリットで、自分で装置を取り外しできます。
  • 部分矯正 気になる部分だけを治療する部分矯正のご案内です。治療コストや期間を抑えたい方向けの矯正治療プランになります。
  • 小児矯正 歯並びや噛み合わせ、清掃性改善のための小児矯正のご案内です。詳しくはこちら
  • Eライン矯正 横顔の美しさに着目した矯正法。目立ちにくく、自然なフェイスラインを目指す方におすすめです。詳しくはこちら

当院の矯正治療の特徴

  1. 認定医による最適な治療をご提案
  2. 丁寧なカウンセリング
  3. なるべく歯を抜かない矯正治療
  4. 明朗・安心の料金体制(追加費用なしの総額固定制)
  5. 虫歯の治療などを行なう一般歯科併設のため、当院のみで包括的な治療が可能

当院のカウンセリング内容

実際にお口の中を拝見し、様々な治療方法や費用・期間などを患者さまの疑問や不安にお答えしながらご説明します。

  • 大人の難症例対応可能
  • お子さまの成長発育に合わせた小児矯正
  • 舌機能訓練等の指導

当院には矯正専門ドクターが在籍しているため、大人から子どもまで様々な症例に対応することが可能です。
一般歯科医院で行われている矯正歯科治療や、矯正歯科だけの専門医院ではできない、私達だからこそご提供できる安心・安全な矯正歯科治療があります。

あなたに合った矯正治療をご提案します

日本矯正歯科学会認定医による
安心安全な治療

田中 崇嗣tanaka takashi

田中 崇嗣 tanaka takashi田中 崇嗣 tanaka takashi

門前仲町髙木歯科で歯科矯正治療を担当しています、田中崇嗣と申します。
歯科矯正治療はただ歯並びをきれいにする審美的な改善だけでなく、噛み合わせの改善や清掃性の改善も行なうことができ、その後の人生を大きく変える可能性があります。少しでも気になる患者さまは、お気軽にご相談ください。今後の豊かな人生を送る上でお手伝いが出来れば幸いです。

日本総合歯科学会指導医による高い専門性をもった治療

髙木 仲人takagi nakato

髙木 仲人 takagi nakato髙木 仲人 takagi nakato

当院では総合歯科学会指導医の院長が治療計画を立案し、全体的な歯科治療のサービスを一つのクリニックで受診可能です。その場しのぎの治療でいいのでしょうか。虫歯でもない歯を削られていないですか?どのような治療法があり、どれくらいの回数がかかるかしっかりとした説明はありましたか?もし、外科処置でメスをいれないといけない時には上手な専門家に見てほしいですよね。高額で治療期間が必要な矯正治療も納得して治療されたいと思います。当院では各分野の専門医がいるため質の高い治療を受診することができます。お困りの方は門前仲町髙木歯科までお問い合わせください。

あなたの歯並びはどのタイプ?
歯並びのお悩みは、当院までお気軽にご相談ください。

  • 叢生(乱ぐい歯・八重歯) 歯並びが不規則で前後にでこぼこしている
    叢生(乱ぐい歯・八重歯)
  • 上顎前突(出っ歯) 上の前歯が極端に前方に突き出ている
    上顎前突(出っ歯)
  • 過蓋咬合 下の前歯が上の前歯で隠れるほど噛み合わせが深い
    過蓋咬合
  • 反対咬合 噛み合わせたときに下の前歯が上の前歯より前方に出ている
    反対咬合
  • 空隙歯列 上の前歯の真ん中にすき間がある
    空隙歯列
  • 開咬 上下の前歯が噛み合わず、すき間が生じている
    開咬

矯正治療の流れ

  1. 初診相談 患者さまの疑問や不安にお答えしながら治療方法や費用・期間などをご説明します。 初診相談
  2. 精密検査 お顔やお口の中の写真、型取り、X線写真撮影など各種検査を行ないます。 精密検査
  3. 診断 検査の結果に基づき、具体的な治療方針や費用、治療期間などのご説明をします。 診断
  4. 矯正装置開始 1ヶ月に1度の通院で検査やメインテナンス等を行ないます。(処置時間15分~30分) 矯正装置開始
  5. 矯正装置撤去・定期的なメインテナンス 保定装置(リテーナー)を装着し、きれいな歯並びを維持・安定させるための"保定"を行ないます。(2年間) 矯正装置撤去・定期的なメインテナンス

Reservation各治療に特化したエキスパートにお任せください

  • 自分に合うのはどの治療なの?
  • ネットの情報だけじゃわからない
  • しっかりと話し合って決めたい
  • ネットの情報だけじゃわからない
  • 実績あるドクターを探してる

お気軽にご相談ください、
あなたに合う治療を
ご一緒に探していきましょう!

Information診療のご案内

  • ご予約・診療時間

    診療時間
    10:00-13:00
    14:30-19:00

    休診日:木曜・日曜・祝日
    土曜日午後は14:00-18:00
    ※診療時間は変更になる場合がございます。

  • アクセス

    門前仲町髙木歯科 monzennakacho takagi dental clinic

    〒135-0045
    東京都江東区古石場2丁目14-1
    ウェルタワー深川105

  • 電車でお越しの方
    • 東京メトロ東西線・大江戸線「門前仲町駅」…徒歩8分
    • 東京メトロ東西線「木場駅」…徒歩9分
    • JR京葉線「越中島駅」…徒歩10分
    お車でお越しの方
    クリニックモール用の地下駐車場が6台ございます。
    (1時間100円、お支払いはSuica・PASMOのみ対応)