江東区の門前仲町駅・木場駅・越中島駅から徒歩10分以内の門前仲町髙木歯科です。遠方よりお越しの方は東京駅よりお車で10分程で通院が可能です。院長の髙木は国立大学法人徳島大学再生歯科治療学保坂啓一教授のご指導の下、ホワイトスポットの研究また学会発表・セミナー発表、専門誌への執筆を行っております。
ホワイトスポットは様々な原因で生じますが、歯が萌出してきた時には既にホワイトスポットがあったので幼少の頃から気になっていたという生まれもっての症例と
マルチブラケットシステムによる歯列矯正後のホワイトスポット、のように後天的に発生する症例もあります。
ホワイトスポットが発生した場合、自然に消えることはありませんし歯磨き粉でも治りません。多くの歯科医院ではむし歯ではないから放っておこう。と言われることと思います。どうしても気になるのなら削ってレジンを詰めるか、セラミックの被せ物をかぶせよう。と話されるクリニックもあるかもしれません。
しかし、歯は一度削ってしまうと二度と元に戻りません。歯を削らずにホワイトスポットを治療する方法としてIcon(アイコン)治療があります。
治療方法:https://www.takagi-dc.net/service/whitespot.html
こちらの↑ページの下部に詳しい治療方法が載っています。
アイコン治療は歯を削らずにホワイトスポットを消す(目立ちにくくする)現在唯一の治療法です。お薬を塗って、ホワイトスポット部分にレジンとよばれる樹脂を流しこんでホワイトスポットを消すことが可能です。
多くの歯科医院では治療を行っていないのと、使用法を熟知している歯科医師の数は相当に限られています。
院長髙木仲人はホワイトスポットの研究、歯科医師向けのセミナーでの発表もしているため安心してご相談して下さい。
2023日本歯科保存学会にて研究報告を口頭発表にて行ってます

歯の表面に現れる白色の病変です。(White spot lesion)
ホワイトスポットの原因について
1初期虫歯由来:虫歯は脱灰と再石灰化のバランスが崩れることで発生します。エナメル質表層下のミネラルが失われることにより、透光性が低下して目に見えるような光学的な特性が変化した状態です。肉眼で明らかに白色の変色が認められます。
2 歯牙フッ素症:諸外国ではウオーターフロリデーションと呼ばれる取り組みにより水道水に高濃度のフッ素が添加されており、う蝕の予防に非常に役立っています。その反面、歯の形成期に高濃度のフッ素を歯に取り込むことにより歯の表面に白色や茶色の斑点ができることがあります。海外ではメジャーな歯の白質病変ですが、日本ではほぼ起こりませんので気にしないで下さい。(フッ素塗布では起こりません)
3 エナメル質形成不全:歯の形成期にかかった病気や栄養状態の不良、遺伝等により歯の表面のエナメル質が上手く作られなかった状態です。虫歯ではないのですが、エナメル質が正常に作られなかったため正常な部分と比べると結晶構造が変化しているため光の屈折率が異なるため色が白く見えたりします。白色~茶色とカラーバリエーションがあります。
4 MIH(Molar Incisor Hypomineralization)
前歯と第一大臼歯に原局して発症するエナメル質形成不全で、白色の病変の範囲や形成不全の深度は症例によって異なります。諸外国では認知のある病気ですが、日本では歯科関係者でも知っている人が少ないです。日本における大規模調査において7-12歳の罹患率は11.9%と諸外国と比較しても同程度の罹患率があるので、国内の歯科関係者への周知が必要です。原因は確定的なものはまだ確定していませんが、エナメル質形成時のビタミンDの不足を指摘する研究もあります。
参考文献:エナメル質形成不全(MIH)―わが国におけるMIH発症に関する大規模調査から J Headlth Care Dent.2014;14:6-12.
科学研究費助成事業 Vitamin D regulates dentalepithelical cell differentiation and enamel formation 平成30年5/18
Q:ホワイトスポットは自然に消えますか?
A:ホワイトスポットは歯の結晶構造に変化が起きているため自然に治ることはありません。
Q:ホワイトスポットは歯磨き粉で消えますか?
A:ホワイトスポットはエナメル質の0.2~0.8mmに及ぶ結晶構造の変化のため、歯磨き粉で消失することはありません。
また、ホワイトニングにより歯の明度を高くすることで、白斑を目立ちにくくすることはできるかもしれませんが消失はしません。後にお話しをさせて頂く低粘性レジン浸潤法の際にホワイトニングを併用することは非常に有意義であると考えられます。
今回も実際の症例を見ながらお話をさせて頂きます(患者さんに症例写真使用のご許可を頂いております。)
治療前の初診時の写真

大切なイベントがあるので前歯のホワイトスポット治療をIconアイコンを使用して削らずに綺麗にしたいとの主訴で遠方からお越し下さった患者さんです。
広い範囲にホワイトスポットがあり、一部エナメル質と呼ばれる歯の表面にはヘコミがあり先端は欠けていることがわかります。
ホワイトスポットの深度は浅いが範囲が広く、審美障害を発症してます。歯を削らずにIconアイコンを使用してホワイトスポット治療を行い、先端の欠けている部分はコンポジットレジンを使用したダイレクトボンディングを行うこととしました。
Iconアイコンを使用したホワイトスポット治療後の写真

歯を削らずにホワイトスポット治療を行うことができました。患者さんもお帰りの際には笑顔になられており、施術者の院長も自分のことのように嬉しかったのを記憶しております。ホワイトスポットにお困りの患者さんは全国に多くいらっしゃいますが、Iconアイコンを使用したホワイトスポット治療は非常に限られた歯科医師しか治療をしておりません。
アイコン治療は最短でご相談・契約→アイコン治療→経過観察の合計3回で治療をすることが可能です。
アイコン治療は1歯¥66000(税込)。症例写真提供不可の方は1歯¥88000(税込)となっております。ご相談・施術・経過観察の合計3回ほどの治療回数がかかります。年齢制限のない治療法ではありますが、基本的には15歳以上での治療をお勧め致します。永続的に色が消失するわけではなく色の後戻りが起こることもあります。
門前仲町髙木歯科では1つのクリニックで抜歯・歯列矯正・虫歯治療・ホワイトニング・ホワイトスポット治療まで各専門医の診療を受診することが可能です。
門前仲町髙木歯科は江東区の門前仲町駅・木場駅・越中島駅から徒歩10分以内にございます。地下にクリニックモール用の駐車場がございますので東京駅、銀座駅、豊洲や有明からもご通院可能です。(東京駅車で10分程、豊洲駅からは5分)
遠方よりお越しの方は東京駅よりタクシーで10分程でご通院が可能です。
歯医者、歯の色、ホワイトスポット等でお困りの方は門前仲町髙木歯科へお気軽にお問い合わせください。
投稿日:2023年12月18日
歯を削らないホワイトスポット治療 Icon(アイコン) 東京
江東区の門前仲町駅・木場駅・越中島駅から徒歩10分以内の門前仲町髙木歯科です。遠方よりお越しの方は東京駅よりお車で10分程で通院が可能です。院長の髙木は国立大学法人徳島大学再生歯科治療学保坂啓一教授のご指導の下、ホワイトスポットの研究また学会発表・セミナー発表、専門誌への執筆を行っております。
ホワイトスポットは様々な原因で生じますが、歯が萌出してきた時には既にホワイトスポットがあったので幼少の頃から気になっていたという生まれもっての症例と
マルチブラケットシステムによる歯列矯正後のホワイトスポット、のように後天的に発生する症例もあります。
ホワイトスポットが発生した場合、自然に消えることはありませんし歯磨き粉でも治りません。多くの歯科医院ではむし歯ではないから放っておこう。と言われることと思います。どうしても気になるのなら削ってレジンを詰めるか、セラミックの被せ物をかぶせよう。と話されるクリックもあるかもしれません。
しかし、歯は一度削ってしまうと二度と元に戻りません。歯を削らずにホワイトスポットを治療する方法としてIcon(アイコン)治療があります。
治療方法:https://www.takagi-dc.net/service/whitespot.html
こちらのページの下部に詳しい治療方法が載っています。
アイコン治療は歯を削らずにホワイトスポットを消す(目立ちにくくする)現在唯一の治療法です。お薬を塗って、ホワイトスポット部分にレジンとよばれる樹脂を流しこんでホワイトスポットを消すことが可能です。
多くの歯科医院では治療を行っていないのと、使用法を熟知している歯科医師の数は相当に限られています。
院長髙木仲人はホワイトスポットの研究、歯科医師向けのセミナーでの発表もしているため安心してご相談して下さい。

日本歯科保存学会2023秋季学術大会での研究報告口頭発表
実際の症例です(症例使用のご許可を患者さんから頂いております)

歯の中央にとても目立つホワイトスポットが確認できます。患者さんのお話では歯が生えてきたときからホワイトスポットが目立っていた
Iconアイコンで歯を削らずにホワイトスポット治療をしたいとの主訴に来院されました。
これぐらいであればIconアイコンを使用し、ホワイトスポットを目立つことなく消せると判断し、Icon(アイコン)治療を行うこととしました。
Icon(アイコン)治療1週間後の写真
歯を一切削ることなくホワイトスポットを消すことができました。
アイコン治療は最短でご相談・契約→アイコン治療→経過観察の合計3回で治療をすることが可能です。
アイコン治療は1歯¥66000(税込)。症例写真提供不可の方は1歯¥88000(税込)となっております。ご相談・施術・経過観察の合計3回ほどの治療回数がかかります。年齢制限のない治療法ではありますが、基本的には15歳以上での治療をお勧め致します。永続的に色が消失するわけではなく色の後戻りが起こることもあります。
門前仲町髙木歯科では1つのクリニックで抜歯・歯列矯正・虫歯治療・ホワイトニング・ホワイトスポット治療まで各専門医の診療を受診することが可能です。
門前仲町髙木歯科は江東区の門前仲町駅・木場駅・越中島駅から徒歩10分以内にございます。地下にクリニックモール用の駐車場がございますので東京駅、銀座駅、豊洲や有明からもご通院可能です。(東京駅車で10分程、豊洲駅からは5分)
遠方よりお越しの方は東京駅よりタクシーで10分程でご通院が可能です。
歯医者、歯の色、ホワイトスポット等でお困りの方は門前仲町髙木歯科へお気軽にお問い合わせください。
投稿日:2023年11月21日
矯正後のホワイトスポット(白い斑点)の治療 アイコン治療 東京
江東区の門前仲町駅・木場駅・越中島駅から徒歩10分以内の門前仲町髙木歯科です。遠方よりお越しの方は東京駅よりお車で10分程で通院が可能です。院長の髙木は国立大学法人徳島大学再生歯科治療学保坂啓一教授のご指導の下、ホワイトスポットの研究また学会発表・セミナー発表、専門誌への執筆を行っております。
ブラケットを使用して長い期間矯正治療を頑張ってあとはリテーナーを装着して後戻りの防止をしよう。となったのに、ブラケットがあった歯の周囲に歯の色の変化ホワイトスポットがある・・・。とお困りのことがあると思います。
せっかく歯並びを綺麗にしたのに、ホワイトスポットがあって歯の色が気になって笑えない・・・。となっては元も子もないないですよね。
矯正治療後のホワイトスポットはどうしておこるの?
→ブラケット周囲に磨きにくかった部位に長期間にわたりプラーク(磨き残し、細菌の塊)があったことによりブラケット周囲にホワイトスポットが発生することが多いです。
治療法は?
→ブラケット除去後歯面清掃、フッ化物塗布が第一選択です。
フッ素塗ってもなおらなかったら?
→ブラケット除去3か月以内にアイコン治療を受けた方がベターです。
治療方法:https://www.takagi-dc.net/service/whitespot.html
こちらのページの下部に詳しい治療方法が載っています。
アイコン治療は歯を削らずにホワイトスポットを消す(目立ちにくくする)現在唯一の治療法です。お薬を塗って、ホワイトスポット部分にレジンとよばれる樹脂を流しこんでホワイトスポットを消すことが可能です。
ほとんどの歯科医院では治療を行っていないのと、使用法を熟知している歯科医師の数は相当に限られています。
院長髙木仲人はホワイトスポットの研究、歯科医師向けのセミナーでの発表もしているため安心してご相談して下さい。
セミナー発表時の写真です。
矯正治療後のホワイトスポットの実際の症例をみてみましょう。(患者さんの同意を得ております)

ブラケットがかつて装着されていた周囲にホワイトスポットが確認できます。ホワイトスポットによる審美障害で悩まれており、こんなことになるなら矯正治療をしなければ良かったと当時はおっしゃっていました。通常ですと、ホワイトスポット~ブラウンスポットを削ってコンポジットレジンを使用したダイレクトボンディングと提案されることが多いと考えられます。
このまままでは歯を削る面積・量ともにとても多くなってしまいます。歯ブラシ指導を行い、アイコン治療とダイレクトボンディングを併用し歯を削る量を最小限となるようにしました。
アイコン治療・コンポジットレジンによるダイレクトボンディング後

アイコンとコンポジットレジンを組み合わせることで最小限の切削で主訴のホワイトスポットによる審美障害を解決することができました。歯が綺麗になったことでご家族、ご本人にも喜んで頂き私も自分事のように嬉しく思っております。
ダイレクトボンディングだけでは歯を削る範囲が広く、現時点ではアイコン治療とコンポジットレジン修復を併用した治療法がベストの治療であったと考えてます。
アイコン治療は最短でご相談・契約→アイコン治療→経過観察の合計3回で治療をすることが可能です。
アイコン治療は1歯¥66000(税込)。症例写真提供不可の方は1歯¥88000(税込)となっております。ご相談・施術・経過観察の合計3回ほどの治療回数がかかります。年齢制限のない治療法ではありますが、基本的には18歳以上での治療をお勧め致します。永続的に色が消失するわけではなく色の後戻りが起こることもあります。
門前仲町髙木歯科では1つのクリニックで抜歯・歯列矯正・虫歯治療・ホワイトニング・ホワイトスポット治療まで各専門医の診療を受診することが可能です。
門前仲町髙木歯科は江東区の門前仲町駅・木場駅・越中島駅から徒歩10分以内にございます。地下にクリニックモール用の駐車場がございますので東京駅、銀座駅、豊洲や有明からもご通院可能です。(東京駅車で10分程、豊洲駅からは5分)
遠方よりお越しの方は東京駅よりタクシーで10分程でご通院が可能です。
歯医者、歯の色でお困りの方は門前仲町髙木歯科へお気軽にお問い合わせください。
投稿日:2023年11月6日
歯を削らない、ホワイトスポット治療、アイコン治療、東京 矯正治療後のホワイトスポット
江東区の門前仲町駅・木場駅・越中島駅から徒歩10分以内の門前仲町髙木歯科です。遠方よりお越しの方は東京駅よりお車で10分程で通院が可能です。院長の髙木は国立大学法人徳島大学再生歯科治療学保坂啓一教授のご指導の下、ホワイトスポットの研究また学会発表・セミナー発表、専門誌への執筆を行っております。ホワイトスポット治療は未だ多くのクリックでは歯を削っての治療法を提案されます。
歯は削ってしまっては二度と戻ってきません。歯の寿命を短くしないためにも歯を削らないことが何よりも大切です。
ホワイトスポットはフッ素だけでは消失しません。ホワイトニングで色をぼかしても消すことはできません。(アイコンとの併用はとても仕上がりが綺麗です)
ダイレクトボンディング、ラミネートべニアやセラミッククラウン等で削って治そうとする前に是非一度ご相談下さい。
院長の髙木仲人はアイコンを使用したホワイトスポット治療を歯科医師向けの記事にも執筆をしております。専門、かつ最新の知識をもっておりますので安心してご通院下さい。
歯科医師向けの雑誌への投稿
-768x1024.jpg)
今回の症例はマルチブラケットシステムによる歯列矯正を行った結果、ほぼ全ての歯にホワイトスポットができてしまった患者さんの症例です。
症例を通じて同じようにお困りの方への一助となれば幸いです。
(症例写真使用のご許可を頂いております)

ブラケットがかつて装着されていた周囲にホワイトスポットが確認できます。ホワイトスポットによる審美障害で悩まれており、こんなことになるなら矯正治療をしなければ良かったと当時はおっしゃっていました。通常ですと、ホワイトスポット~ブラウンスポットを削ってコンポジットレジンを使用したダイレクトボンディングと提案されることが多いと考えられます。
このまままでは歯を削る面積・量ともにとても多くなってしまいます。歯ブラシ指導を行い、アイコン治療とダイレクトボンディングを併用し歯を削る量を最小限となるようにしました。
アイコン治療・コンポジットレジンによるダイレクトボンディング後

アイコンとコンポジットレジンを組み合わせることで最小限の切削で主訴のホワイトスポットによる審美障害を解決することができました。歯が綺麗になったことでご家族、ご本人にも喜んで頂き私も自分事のように嬉しく思っております。
アイコン治療は最短でご相談・契約→アイコン治療→経過観察の合計3回で治療をすることが可能です。
アイコン治療は1歯¥66000(税込)。症例写真提供不可の方は1歯¥88000(税込)となっております。ご相談・施術・経過観察の合計3回ほどの治療回数がかかります。年齢制限のない治療法ではありますが、基本的には18歳以上での治療をお勧め致します。永続的に色が消失するわけではなく色の後戻りが起こることもあります。
門前仲町髙木歯科では1つのクリニックで抜歯・歯列矯正・虫歯治療・ホワイトニング・ホワイトスポット治療まで各専門医の診療を受診することが可能です。
門前仲町髙木歯科は江東区の門前仲町駅・木場駅・越中島駅から徒歩10分以内にございます。地下にクリニックモール用の駐車場がございますので東京駅、銀座駅、豊洲や有明からもご通院可能です。(東京駅車で10分程、豊洲駅からは5分)
遠方よりお越しの方は東京駅よりタクシーで10分程でご通院が可能です。
歯医者、歯の色でお困りの方は門前仲町髙木歯科へお気軽にお問い合わせください。
投稿日:2023年8月30日
江東区の門前仲町駅・木場駅・越中島駅から徒歩10分以内の門前仲町髙木歯科です。遠方よりお越しの方は東京駅よりお車で10分程で通院が可能です。院長の髙木は国立大学法人徳島大学再生歯科治療学保坂啓一教授のご指導の下、ホワイトスポットの研究また学会発表・セミナー発表、専門誌への執筆を行っております。
専門誌への投稿
-768x1024.jpg)
学会発表の様子

ホワイトスポットは歯の結晶構造に変化が起きているため自然に治ることはありません。
歯磨き粉でホワイトスポットが消えることもありません。
また、ホワイトニングにより歯の明度を高くすることで、白斑を目立ちにくくすることはできるかもしれませんが同じく消失はしません。
ホワイトニングとアイコン治療を組み合わせることで、歯の切削量を減らしてより審美的な治療ができることはあります。
他の人から見たら、その白い白斑を気にしているの?気にしないでいいのでは?と言われたりすることもあると聞きます。
ですがホワイトスポットがある患者さんの多くは自分の中ではコンプレックスであり、ご友人に歯を見せられたない。とかなり気になっている方が多いと思います。
アイコン治療はまだその使用法を熟知している歯科医師は多くないため、多くの歯科医院ではホワイトスポット治療を相談するとコンポジットレジン修復、ラミネートべニアやセラミッククラウンといった歯を削る治療法を提案されるかもしれません。
歯は削ると二度と再生することはありません。なるべく歯を削らないほうがベターです。
今回はアイコン(Icon)治療でホワイトスポット治療を行い、歯の形を一部コンポジットレジン修復を行った非切削での審美回復を行った症例についてお話をさせて頂きます。症例写真提供のご許可をご本人様より得ております。
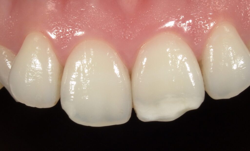
ホワイトスポットを主訴にご来院なさった初診時の口腔内写真
![]()
歯の切縁のホワイトスポットと、少し歯が欠けているのを主訴にご来院されました。ホワイトニングのご経験もあり、セルフメンテナンスもしっかりとおこなっている患者さんです。Icon(アイコン)でホワイトスポットを治療したいというお気持ちでご来院なされたため、治療法のメリット・デメリットをご説明し初回の受診は終了です。2回目のご来院時にIcon(アイコン)治療を行い、3回目に歯の最終研磨を行い治療の終了という流れになります。
アイコン治療を行い1週間後の口腔内写真
![]()
歯の切縁のホワイトスポットが消えていることが分かります。歯のチッピング(欠け)に対しては非切削でコンポジットレジン修復を行いました。
アイコン治療とコンポジットレジン修復を併用することで、一切歯を削らずに前歯の審美的な治療を行うことができました。
アイコン治療は1歯¥44000(税込)。症例写真提供不可の方は1歯¥55000(税込)となっております。ご相談・施術・経過観察の合計3回ほどの治療回数がかかります。年齢制限のない治療法ではありますが、基本的には18歳以上での治療をお勧め致します。永続的に色が消失するわけではなく色の後戻りが起こることもあります。
門前仲町髙木歯科では1つのクリニックで抜歯・歯列矯正・虫歯治療・ホワイトニング・ホワイトスポット治療まで各専門医の診療を受診することが可能です。
門前仲町髙木歯科は江東区の門前仲町駅・木場駅・越中島駅から徒歩10分以内にございます。地下にクリニックモール用の駐車場がございますので東京駅、銀座駅、豊洲や有明からもご通院可能です。(東京駅車で10分程、豊洲駅からは5分)
遠方よりお越しの方は東京駅よりタクシーで10分程でご通院が可能です。
歯医者、歯の色でお困りの方は門前仲町髙木歯科へお気軽にお問い合わせください。
投稿日:2023年6月21日
歯のホワイトスポット・ブラウンスポット(歯の白い白斑、茶色いしみ)を削らずにアイコンで治す
江東区にあります門前仲町駅・木場駅・越中島駅から徒歩10分以内の門前仲町髙木歯科です。遠方よりお越しの方は東京駅よりお車で10分程で通院が可能です。院長の髙木は国立大学法人徳島大学再生歯科治療学保坂啓一教授のご指導の下、ホワイトスポットの研究また学会発表・セミナー発表、専門誌への執筆を行っております。
院長の髙木仲人による歯科専門誌への執筆
-768x1024.jpg)
ホワイトスポットは歯の結晶構造に変化が起きているため自然に治ることはありません。
歯磨き粉でホワイトスポットが消えることもありません。
また、ホワイトニングにより歯の明度を高くすることで、白斑を目立ちにくくすることはできるかもしれませんが同じく消失はしません。
アイコン治療とホワイトニングを組み合わせることで、歯の切削量を減らしてより審美的な治療ができることはあります。
他の人から見たら、その白い白斑を気にしているの?気にしないでいいのでは?と言われたりすることもあると聞きます。
ですがホワイトスポットがある患者さんの多くは自分の中ではコンプレックスであり、ご友人に歯を見せられたない。とかなり気になっている方が多いと思います。
そのようにホワイトスポットが気になっている方に今回の投稿を見て頂ければと考えております。
今回は再度エナメル質形成不全と考えられるホワイトスポット(白い白斑)についてお話をさせて頂きます。
エナメル質形成不全とは
歯の形成期にかかった病気や栄養状態の不良、遺伝等により歯の表面のエナメル質が上手く作られなかった状態です。虫歯ではないのですが、エナメル質が正常に作られなかったため正常な部分と比べると結晶構造が変化しているため光の屈折率が異なるため色が白く見えたりします。白色~茶色とカラーバリエーションがあります。
あくまで虫歯ではないのですが、層状もしくは斑点状に歯にホワイトスポットが発生し審美障害を引き起こします。
こちらについては削らずに放っておいた方がいいという歯医者さんと、気になるなら削ってレジンかセラミックで治しましょうという歯医者がいらっしゃると思います。まだホワイトスポットについて歯科医師の中でもアイコン治療は広く普及しておらず、アイコンを知らないということもあります。
また術者の経験と知識により結果が変わってくる少し取扱いの難しい治療法です。しっかりとアイコンを使用して治療できる歯科医師というのはまだまだ限られていると思います。
ホワイトスポットでお困りの方はまず第一選択としてラミネートべニアやセラミッククラウンで削るのではなく、削らずにホワイトスポットを隠せるアイコン治療をお考えになってはいかがでしょうか。
写真左側の大きな前歯の切端に茶色~白い白斑の混ざった部位が確認できます。(ホワイトスポットとブラウンスポットの混ざった症例)

歯を削らずにホワイトスポットをを消したいとのことでしたので、アイコンを使用してホワイトスポット治療をすることとしました。
アイコンを使用して1週間後の写真です

ホワイトスポットとブラウンスポットが目立ちにくくなったのがわかります。
更に色を消すとなると、切削してのコンポジットレジン修復を併用しなければならないと思いますが、今回は患者さんご本人は非常に治療に満足されたので治療終了することとしました。
アイコン治療は1歯¥66000(税込)ご相談・施術・経過観察の合計3回ほどの治療回数がかかります。年齢制限のない治療法ではありますが、基本的には18歳以上での治療をお勧め致します。永続的に色が消失するわけではなく色の後戻りが起こることもあります。
門前仲町髙木歯科では1つのクリニックで抜歯・歯列矯正・虫歯治療・ホワイトニング・ホワイトスポット治療まで各専門医の診療を受診することが可能です。
門前仲町髙木歯科は江東区の門前仲町駅・木場駅・越中島駅から徒歩10分以内にございます。地下にクリニックモール用の駐車場がございますので東京駅、銀座駅、豊洲や有明からもご通院可能です。(東京駅車で10分程、豊洲駅からは5分)
遠方よりお越しの方は東京駅よりタクシーで10分程でご通院が可能です。
歯医者、歯の色でお困りの方は門前仲町髙木歯科へお気軽にお問い合わせください。
投稿日:2023年5月24日
江東区にあります門前仲町駅・木場駅・越中島駅から徒歩10分以内の門前仲町髙木歯科です。院長の髙木は国立大学法人徳島大学再生歯科治療学保坂啓一教授のご指導の下、ホワイトスポットの研究また学会発表・セミナー発表、専門誌への執筆を行っております。
-768x1024.jpg)
専門誌への執筆
ホワイトスポットは歯の結晶構造に変化が起きているため自然に治ることはありません。
また、ホワイトニングにより歯の明度を高くすることで、白斑を目立ちにくくすることはできるかもしれませんが消失はしません。後にお話しをさせて頂く低粘性レジン浸潤法の際にホワイトニングを併用することは非常に有意義であると考えられます。
今回はエナメル質形成不全と考えられるホワイトスポット(白い白斑)についてお話をさせて頂きます。
エナメル質形成不全とは
歯の形成期にかかった病気や栄養状態の不良、遺伝等により歯の表面のエナメル質が上手く作られなかった状態です。虫歯ではないのですが、エナメル質が正常に作られなかったため正常な部分と比べると結晶構造が変化しているため光の屈折率が異なるため色が白く見えたりします。白色~茶色とカラーバリエーションがあります。
あくまで虫歯ではないのですが、層状もしくは斑点状に歯にホワイトスポットが発生し審美障害を引き起こします。
こちらについては削らずに放っておいた方がいいという歯医者さんと、気になるなら削ってレジンかセラミックで治しましょうという歯医者がいらっしゃると思います。まだホワイトスポットについて歯科医師の中でもアイコン治療は広く普及しておらず、アイコンを知らないということもあります。
またテクニックセンシティブですので、しっかりとアイコンを使用して治療できる歯科医師も限られていると思います。
ホワイトスポットでお困りの方、まずラミネートべニアやセラミッククラウンで削るのではなく削らずにホワイトスポットを隠せるアイコン治療をお考えになってはいかがでしょうか。
実際のエナメル質形成不全の方の症例写真です。

前歯のホワイトスポットが気になるとの主訴で来院された患者さんです。治療方法についてアイコン治療をご説明し同意を得たのでアイコン治療をすることとしました。

アイコン治療1週間後の写真です。
歯の中での白い白斑(表層下脱灰)が強く、非切削では完全にはホワイトスポットを消しきることができませんでしたが歯を削らずにホワイトスポットを隠すことができたため患者さんご本人からは高い満足を感じて頂くことができました。
アイコン治療は1歯¥66000(税込)ご相談・施術・経過観察の3回ほど治療回数がかかります。年齢制限のない治療法ではありますが、基本的には18歳以上での治療をお勧め致します。永続的に色が消失するわけではなく色の後戻りが起こることもあります。
門前仲町髙木歯科では1つのクリニックで抜歯・歯列矯正・虫歯治療・ホワイトニング・ホワイトスポット治療まで各専門医の診療を受診することが可能です。
門前仲町髙木歯科は江東区の門前仲町駅・木場駅・越中島駅から徒歩10分以内にございます。地下にクリニックモール用の駐車場がございますので東京駅、銀座駅、豊洲や有明からもご通院可能です。(東京駅車で10分程、豊洲駅からは5分)
遠方よりお越しの方は東京駅よりタクシーで10分程でご通院が可能です。
歯医者、歯の色でお困りの方は門前仲町髙木歯科へお気軽にお問い合わせください。
投稿日:2023年5月22日
江東区、門前仲町駅・木場駅・越中島駅から徒歩10分以内門前仲町髙木歯科です。院長の髙木は国立大学法人徳島大学再生歯科治療学保坂啓一教授のご指導の下、ホワイトスポットの研究また学会発表・セミナー発表、専門誌への執筆を行っております。
今回は5/13日土曜日 徳島大学再生歯科治療学分野で主催された象牙質歯髄治療学会にて院長の髙木仲人がホワイトスポット治療をアイコンを他の治療法と組み合わせて治療した症例について、口頭発表をして参りました。

学会発表時の写真
歯のホワイトスポットは様々な疾患や条件で発生することがあります。

学会発表時のスライドの一部より
1初期虫歯由来:虫歯は脱灰と再石灰化のバランスが崩れることで発生します。エナメル質表層下のミネラルが失われることにより、透光性が低下して目に見えるような光学的な特性が変化した状態です。肉眼で明らかに白色の変色が認められます。
2 歯牙フッ素症:諸外国ではウオーターフロリデーションと呼ばれる取り組みにより水道水に高濃度のフッ素が添加されており、う蝕の予防に非常に役立っています。その反面、歯の形成期に高濃度のフッ素を歯に取り込むことにより歯の表面に白色や茶色の斑点ができることがあります。海外ではメジャーな歯の白質病変ですが、日本ではほぼ起こりませんので気にしないで下さい。(フッ素塗布では起こりません)
3 エナメル質形成不全:歯の形成期にかかった病気や栄養状態の不良、遺伝等により歯の表面のエナメル質が上手く作られなかった状態です。虫歯ではないのですが、エナメル質が正常に作られなかったため正常な部分と比べると結晶構造が変化しているため光の屈折率が異なるため色が白く見えたりします。白色~茶色とカラーバリエーションがあります。
4 MIH(Molar Incisor Hypomineralization)
前歯と第一大臼歯に原局して発症するエナメル質形成不全で、白色の病変の範囲や形成不全の深度は症例によって異なります。諸外国では認知のある病気ですが、日本では歯科関係者でも知っている人が少ないです。日本における大規模調査において7-12歳の罹患率は11.9%と諸外国と比較しても同程度の罹患率があるので、国内の歯科関係者への周知が必要です。原因は確定的なものはまだ確定していませんが、エナメル質形成時のビタミンDの不足を指摘する研究もあります。
参考文献:エナメル質形成不全(MIH)―わが国におけるMIH発症に関する大規模調査から J Headlth Care Dent.2014;14:6-12.
科学研究費助成事業 Vitamin D regulates dentalepithelical cell differentiation and enamel formation 平成30年5/18
ホワイトスポットは歯の結晶構造に変化が起きているため自然に治ることはありません。
歯を削らずにホワイトスポットを消す方法としてアイコンという治療法があります。
歯の表層の過石灰化した部位を塩酸で溶かし、粘度の低い樹脂を歯に浸透させることでホワイトスポットの色を隠すことが可能です。
歯を削らずにホワイトスポットを消すor目立ちにくくするのにはアイコンがベストな治療法だと思いますが、その成功率は術者(歯医者さん)の経験や勘に依存するものが大きいです。
アイコン治療の最大のメリットは削らずにホワイトスポットを治せるor最小限の切削でホワイトスポットを治せる。というところです。
ホワイトスポットを治すために、ラミネートべニアやセラミッククラウンで治療する。でもいいとは思いますが、歯は削ると二度と元には戻らず削ったが最後、再治療ごとに治療は大掛かりになってしまいその多くはやがて抜歯へと至ってしまいます。
安易に歯を削るべきではありません。

前歯のホワイトスポット治療前(患者さんに掲載の了承を得ています)

ホワイトスポットをアイコンで治療した写真
歯を一切削ることなく、歯の色と形を綺麗に治すことができました。アイコン治療が1歯¥33000円(税込価格)永続的に色が変化しない、というわけではありません。継続的なメインテナンスをすることで長く歯の色を綺麗なものにすることができます。
ホワイトスポットのアイコン治療の流れは
ご相談→アイコン治療→経過観察 の合計3回となっております。
門前仲町髙木歯科では1つのクリニックで抜歯・歯列矯正・虫歯治療・ホワイトニング・ホワイトスポット治療まで各専門医の診療を受診することが可能です。
門前仲町髙木歯科は江東区、門前仲町駅・木場駅・越中島駅から徒歩10分以内にございます。地下にクリニックモール用の駐車場がございますので東京駅、銀座駅、豊洲や有明からもご通院可能です。(東京駅車で10分程、豊洲有明は5分)歯医者でお困りの方はお気軽にお問い合わせください。
投稿日:2023年5月17日
江東区、門前仲町駅・木場駅・越中島駅から徒歩10分以内門前仲町髙木歯科です。今回は歯に現れる審美障害の原因の一つであるホワイトスポットについてお話しをさせて頂きます。院長の髙木は国立大学法人徳島大学再生歯科治療学保坂啓一教授のご指導の下、ホワイトスポットの研究また学会発表・セミナー発表、専門誌への執筆を行っております。
-768x1024.jpg)
この度、歯科医師向けの専門誌に院長の髙木仲人の記事が掲載されました。歯科医師の中でもホワイトスポット治療についてはまだどうしたらいいのか、がわからなくて削ってしまったり、セラミッククラウンにしていることが散見されます。決してそれが悪いこと、とまでは思いませんが自分だったら削るのは嫌だな、と思ってしまいます。このような全国誌に掲載されることで、オパール―ストラやアイコンのように歯を削らずにホワイトスポット治療ができる!
ということが全国の歯科医師に一人でも多くメッセージが届けば良いなと思っております。
歯の表面に現れる白色の病変です。(White spot lesion)
ホワイトスポットの原因について
1初期虫歯由来:虫歯は脱灰と再石灰化のバランスが崩れることで発生します。エナメル質表層下のミネラルが失われることにより、透光性が低下して目に見えるような光学的な特性が変化した状態です。肉眼で明らかに白色の変色が認められます。
2 歯牙フッ素症:諸外国ではウオーターフロリデーションと呼ばれる取り組みにより水道水に高濃度のフッ素が添加されており、う蝕の予防に非常に役立っています。その反面、歯の形成期に高濃度のフッ素を歯に取り込むことにより歯の表面に白色や茶色の斑点ができることがあります。海外ではメジャーな歯の白質病変ですが、日本ではほぼ起こりませんので気にしないで下さい。(フッ素塗布では起こりません)
3 エナメル質形成不全:歯の形成期にかかった病気や栄養状態の不良、遺伝等により歯の表面のエナメル質が上手く作られなかった状態です。虫歯ではないのですが、エナメル質が正常に作られなかったため正常な部分と比べると結晶構造が変化しているため光の屈折率が異なるため色が白く見えたりします。白色~茶色とカラーバリエーションがあります。
4 MIH(Molar Incisor Hypomineralization)
前歯と第一大臼歯に原局して発症するエナメル質形成不全で、白色の病変の範囲や形成不全の深度は症例によって異なります。諸外国では認知のある病気ですが、日本では歯科関係者でも知っている人が少ないです。日本における大規模調査において7-12歳の罹患率は11.9%と諸外国と比較しても同程度の罹患率があるので、国内の歯科関係者への周知が必要です。原因は確定的なものはまだ確定していませんが、エナメル質形成時のビタミンDの不足を指摘する研究もあります。
参考文献:エナメル質形成不全(MIH)―わが国におけるMIH発症に関する大規模調査から J Headlth Care Dent.2014;14:6-12.
科学研究費助成事業 Vitamin D regulates dentalepithelical cell differentiation and enamel formation 平成30年5/18
ホワイトスポットは歯の結晶構造に変化が起きているため自然に治ることはありません。


アイコン治療後の写真
ホワイトスポットはアイコンで削らずに消すことができます。アイコン治療はまだ歯科医師の中でも認知が低く、アイコンを知らない歯科医師。また治療をしたことがない歯科医師も多いです。当院では学会発表、専門誌での啓蒙活動をしている院長髙木仲人が治療をしてまいりますので安心してご相談下さい。
歯を一切削ることなく、歯の色と形を綺麗に治すことができました。アイコン治療が1歯¥33000円(税込価格)永続的に色が変化しない、というわけではありません。継続的なメインテナンスをすることで長く歯の色を綺麗なものにすることができます。
門前仲町髙木歯科では1つのクリニックで抜歯・歯列矯正・虫歯治療・ホワイトニング・ホワイトスポット治療まで各専門医の診療を受診することが可能です。
門前仲町髙木歯科は江東区、門前仲町駅・木場駅・越中島駅から徒歩10分以内にございます。地下にクリニックモール用の駐車場がございますので東京駅、銀座駅、豊洲や有明からもご通院可能です。(東京駅車で10分程、豊洲有明は5分)歯医者でお困りの方はお気軽にお問い合わせください。
投稿日:2023年4月19日
江東区、門前仲町駅・木場駅・越中島駅から徒歩10分以内門前仲町髙木歯科です。今回は歯に現れる審美障害の原因の一つであるホワイトスポットについてお話しをさせて頂きます。院長の髙木は国立大学法人徳島大学再生歯科治療学保坂啓一教授のご指導の下、ホワイトスポットの研究また学会発表・セミナー発表、専門誌への執筆を行っております

2,022年度日本歯科審美学会第32回学術大会オーラル発表
ホワイトスポットとは?

歯の表面に現れる白色の病変です。(White spot lesion)
ホワイトスポットの原因について
1初期虫歯由来:虫歯は脱灰と再石灰化のバランスが崩れることで発生します。エナメル質表層下のミネラルが失われることにより、透光性が低下して目に見えるような光学的な特性が変化した状態です。肉眼で明らかに白色の変色が認められます。
2 歯牙フッ素症:諸外国ではウオーターフロリデーションと呼ばれる取り組みにより水道水に高濃度のフッ素が添加されており、う蝕の予防に非常に役立っています。その反面、歯の形成期に高濃度のフッ素を歯に取り込むことにより歯の表面に白色や茶色の斑点ができることがあります。海外ではメジャーな歯の白質病変ですが、日本ではほぼ起こりませんので気にしないで下さい。(フッ素塗布では起こりません)
3 エナメル質形成不全:歯の形成期にかかった病気や栄養状態の不良、遺伝等により歯の表面のエナメル質が上手く作られなかった状態です。虫歯ではないのですが、エナメル質が正常に作られなかったため正常な部分と比べると結晶構造が変化しているため光の屈折率が異なるため色が白く見えたりします。白色~茶色とカラーバリエーションがあります。
4 MIH(Molar Incisor Hypomineralization)
前歯と第一大臼歯に原局して発症するエナメル質形成不全で、白色の病変の範囲や形成不全の深度は症例によって異なります。諸外国では認知のある病気ですが、日本では歯科関係者でも知っている人が少ないです。日本における大規模調査において7-12歳の罹患率は11.9%と諸外国と比較しても同程度の罹患率があるので、国内の歯科関係者への周知が必要です。原因は確定的なものはまだ確定していませんが、エナメル質形成時のビタミンDの不足を指摘する研究もあります。
参考文献:エナメル質形成不全(MIH)―わが国におけるMIH発症に関する大規模調査から J Headlth Care Dent.2014;14:6-12.
科学研究費助成事業 Vitamin D regulates dentalepithelical cell differentiation and enamel formation 平成30年5/18
ホワイトスポットは歯の結晶構造に変化が起きているため自然に治ることはありません。
また、ホワイトニングにより歯の明度を高くすることで、白斑を目立ちにくくすることはできるかもしれませんが消失はしません。後にお話しをさせて頂く低粘性レジン浸潤法の際にホワイトニングを併用することは非常に有意義であると考えられます。
実際のホワイトスポットでお困りの方のお写真です。(ご本人様より掲載のお許しを頂いております)

治療前の写真:歯の切縁に目立つホワイトスポットが確認できます。
以前よりホワイトスポットが気になっていたとの主訴でご来院頂きました。歯を削らないでホワイトスポットを治療したいとお考えであったためアイコン治療についてご説明し、後日アイコンを使用して治療することとなりました。施術当日は歯の清掃、ラバーダム防湿装着、アイコン治療を行った後に当日の診療手順の写真をご覧頂きご説明させて頂きますので2時間程お時間を頂きます。

アイコン治療後の写真:ホワイトスポットが消えていることが確認できます
歯を一切削ることなく、歯の色と形を綺麗に治すことができました。アイコン治療が1歯¥33000円(税込価格)永続的に色が変化しない、というわけではありません。継続的なメインテナンスをすることで長く歯の色を綺麗なものにすることができます。
門前仲町髙木歯科では1つのクリニックで抜歯・歯列矯正・虫歯治療・ホワイトニング・ホワイトスポット治療まで各専門医の診療を受診することが可能です。
門前仲町髙木歯科は江東区、門前仲町駅・木場駅・越中島駅から徒歩10分以内にございます。地下にクリニックモール用の駐車場がございますので東京駅、銀座駅、豊洲や有明からもご通院可能です。歯医者でお困り方はお気軽にお問い合わせください。
投稿日:2023年4月13日