【門前仲町で歯を削らないブリッジ治療】 Amidexクリアインデックスを用いた低侵襲ダイレクトブリッジ症例
門前仲町高木歯科では、Amidexクリアインデックスを用いた低侵襲ダイレクトブリッジ治療を行っています。歯を大きく削らず、審美的に回復した症例をご紹介します。
■ はじめに
門前仲町高木歯科では、「できるだけ削らない」「できるだけ神経を守る」というMI(Minimal Intervention)の考え方を大切にしています。
今回は、30〜50代の患者様に特にご相談の多い「奥歯の欠損」に対して、Amidex社のクリアインデックスを用いて行ったダイレクトブリッジ症例をご紹介します。
従来のブリッジのように大きく歯を削ることなく、インプラントのような外科処置も行わず、コンポジットレジンによって機能と審美性を回復しました。
■ ダイレクトブリッジとは?
ダイレクトブリッジとは、コンポジットレジンを用いて口腔内で直接築盛するブリッジ治療です。
特徴
-
歯を大きく削らない
-
金属を使用しない
-
治療回数が比較的少ない
-
将来的な再治療の選択肢を残せる
従来型ブリッジと比較して、健全歯質の保存が可能である点が最大のメリットです。
■ クリアインデックスを使用する理由
今回の症例では、Amidex社のクリアインデックスを使用しました。
クリアインデックスとは、ワックスアップで設計した理想形態を透明なシリコンに転写し、口腔内で正確に再現するテクニックです。
これにより、
-
咬合面形態の精密な再現
-
接触点のコントロール
-
咬合バランスの安定
-
術者依存性の軽減
が可能になります。
▶ Amidex公式サイト
https://amidex.jp/
■ 症例概要

-
年齢:40代
-
主訴:奥歯をできるだけ削らずに治したい
-
診断:上顎臼歯部欠損
-
治療法:コンポジットレジンによるダイレクトブリッジ(自費診療)
■ 治療の流れ
-
診査・咬合評価
-
ワックスアップ設計
-
クリアインデックス製作
-
最小限の形成
-
接着処理
-
コンポジットレジン築盛
-
研磨・咬合調整
*練習模型で手技をご説明します。

クリアインデックスが手元に届くため、患者さんに使用する前に確認。

支える歯に接着材を塗布して片側から充填をしていきます。

クリアインデックスを使用したことで、スムーズに充填が完了しました。接合部に分離材を塗布します。

充填が終了しました。この後、バリを除去して研磨をすると治療が終了します。


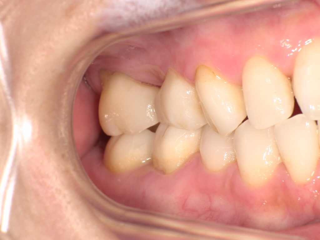
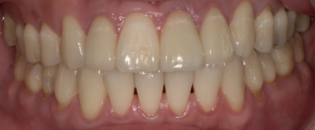
実際の口腔内写真(写真の使用について、患者さんより了承を頂いています)。
■ ダイレクトブリッジのメリットと注意点
メリット
-
健全歯質を多く残せる
-
外科処置が不要
-
修理・再治療が比較的容易
注意点
-
強い咬合力がかかる症例では適応外の場合があります
-
長期的なメンテナンスが重要です
-
すべての欠損に適応できるわけではありません
咬合状態や歯周環境を精密に評価したうえで適応を判断します。
■ 学術的背景
コンポジットレジンによる接着性ブリッジは、接着技術の進歩とともに長期成績が報告されています。
例:
-
Adhesive direct composite bridges: clinical performance studies
-
Resin-bonded prostheses survival analysis
※詳細は学術文献をご参照ください。
■ こんな方におすすめ
-
インプラントに抵抗がある
-
健康な歯を削りたくない
-
短期間で審美的に回復したい
-
できるだけ身体への侵襲を抑えたい
30〜50代の働き世代の方から特にご相談が多い治療です。
■ 費用について(自費診療)
ダイレクトブリッジは自由診療となります。
費用は症例により異なりますので、詳しくはカウンセリング時にご説明いたします。
よくある質問
Q. ダイレクトブリッジはどのくらい持ちますか?
咬合状態やメンテナンス状況によりますが、適切な管理により長期使用が可能です。
Q. インプラントとどちらが良いですか?
症例により適応が異なります。侵襲度・費用・将来性を踏まえてご提案します。
Q. 保険は使えますか?
本症例は自由診療となります。
当院の審美歯科の特徴
院長 髙木仲人は
日本歯科審美学会 認定医。
審美歯科の専門家として、学会発表・研究・執筆・講演を行い、
ホワイトスポット治療・コンポジットレジン修復・ホワイトニングなど、
低侵襲かつ自然調和を重視した審美治療の研究に従事しています。
門前仲町高木歯科では、
「ただ白くする」「ただ被せる」のではなく、
“自然に調和する審美治療”
“歯をできるだけ削らないMI治療”
を大切にしています。
今回ご紹介したダイレクトブリッジも、
健全歯質を可能な限り残しながら、
機能と審美性を両立させる治療のひとつです。
このような方はご相談ください
□ 健康な歯をできるだけ削りたくない
□ インプラント以外の選択肢を知りたい
□ 前歯や奥歯を自然な見た目に回復したい
□ 被せ物が不自然に見える
□ セラミックにしたのに違和感がある
□ 将来を見据えた低侵襲治療を受けたい
30〜50代の患者様から多くご相談をいただいています。
門前仲町・江東区で審美ブリッジ治療をご検討の方へ
門前仲町高木歯科では、
コンポジットレジンを用いたダイレクトブリッジや、
審美性を重視した補綴治療を行っています。
門前仲町駅・木場駅・越中島駅から徒歩圏内。
東京駅から車で約10分。
江東区・中央区エリアで
「歯を削らない審美ブリッジ」「自然に調和する治療」をお探しの方は、
お気軽にご相談ください。
📍門前仲町髙木歯科
▶ アクセス
https://www.takagi-dc.net/access.html
投稿日:2026年2月17日
江東区門前仲町の審美歯科|前歯の色が合わない保険の差し歯を自然なセラミックに修復した症例
江東区・門前仲町駅/木場駅/越中島駅から徒歩圏内の門前仲町髙木歯科です。
当院では、歯の色・形・質感まで調和させる自然な審美歯科治療を行っています。
今回は
「前歯の被せ物の色が合わない」
というお悩みで来院された患者様の症例をご紹介します。
(※患者様には写真掲載の許可をいただいております)
主訴
前歯の古い被せ物の色が周囲と合っていない。きれいにしたい。
治療前の状態

前歯に保険診療で装着された前装冠が入っていました。
時間の経過とともに
-
周囲の歯との色調差
-
人工的な白さ
-
歯肉との不調和
が目立つ状態でした。
審美治療では「歯」だけでなく「歯肉との関係」も非常に重要です。
いきなりセラミックは入れません
当院では、見た目だけを優先した治療は行いません。
この症例ではまず
✔ 色の合っていない被せ物を除去
✔ 仮歯に置き換え
✔ 歯周基本治療を実施
を行いました。
なぜ歯肉の治りを待つのか?
歯肉が炎症を起こしたまま最終的なセラミックを入れてしまうと、
-
歯肉ラインが後から変わる
-
歯との境目が目立つ
-
見た目が不自然になる
という問題が起きます。
審美治療の成功は「歯肉の安定」がカギなのです。
セラミックは「白ければ良い」わけではありません
患者様はエナメル質形成不全があり、もともとの歯には自然な白線が存在していました。
そこで最終的なセラミッククラウンでは
✨ 形成不全特有の白線を再現
✨ 周囲の歯の透明感を合わせる
✨ 歯肉との境目のなじみを重視
し、“作り物に見えない前歯”を目指しました。
治療後

写真のように、
-
周囲の歯との色調調和
-
歯肉との自然な境界
-
違和感のない質感
が得られました。
これは単なる「白い歯」ではなく、
その人に合った“自然な歯”を再現した結果です。
治療期間
約3か月(歯肉の回復期間を含む)
治療内容
仮歯装着 → 歯周基本治療 → 歯肉安定後にセラミッククラウン装着
治療費
セラミッククラウン 1歯 ¥165,000(税込)
リスク・副作用
定期的なメンテナンスが必要です。
当院の審美歯科の特徴
院長 髙木仲人は
日本歯科審美学会 認定医
審美歯科の専門家として学会発表・研究・執筆・講演を行っています。
ホワイトスポット・コンポジットレジン・ホワイトニングの研究にも従事しています。
「白くする」ではなく
“自然に調和させる審美治療”をご提供しています。
このような方はご相談ください
□ 前歯の被せ物の色が合わない
□ 古い差し歯が不自然に見える
□ セラミックにしたのに違和感がある
□ 自然な見た目にしたい
📍門前仲町髙木歯科
江東区・門前仲町駅/木場駅/越中島駅 徒歩圏内
東京駅から車で約10分
▶ アクセス
https://www.takagi-dc.net/access.html
審美歯科・セラミック治療・ホワイトスポット治療のご相談はお気軽にどうぞ。
投稿日:2026年1月28日
門前仲町髙木歯科|オパール-ストラ、ICONを併用したホワイトスポット治療(矯正後WSLにも対応)
江東区の門前仲町駅・木場駅・越中島駅から徒歩10分以内の門前仲町髙木歯科です。遠方からお越しの方も、東京駅からお車で約10分ほどで通院が可能です。
院長の髙木仲人は、国立大学法人 徳島大学大学院 歯科保存学分野にて保坂啓一教授のご指導のもと、ホワイトスポット(White Spot Lesion:WSL)を中心とした低侵襲審美治療の研究を行い、学会発表・セミナー発表、専門誌への執筆などに取り組んでおります。一般社団法人 日本歯科審美学会認定医、日本総合歯科学会指導医として、患者様の状態に合わせたテーラーメイド型のホワイトスポット治療/ブラウンスポット治療/デンタルホワイトニング/ダイレクトボンディング/セラミック治療をご提案いたします。
ホワイトスポット治療における日本の現状
ホワイトスポットは「白い斑点」として目立つことが多い一方で、原因や深さ(病変の層)がさまざまで、正確な診査・診断と治療法の選択が重要です。しかし日本では、ホワイトスポットの分類や治療の選択(再石灰化・ホワイトニング・マイクロアブレージョン・レジン浸潤・修復処置の使い分け)が十分に普及しているとは言い難く、適切な治療に辿り着けず悩まれている方も少なくありません。
ホワイトスポットの原因
ホワイトスポット病変(WSL)は、う蝕による明確な欠損(穴)を伴わない、脱灰に伴う初期病変としてみられます。臨床的には、主に次の2つのパターンに整理して考えます。
まず表層脱灰では、エナメル質表面が酸の影響で溶出し、表面が粗造(ザラつき)になりやすく、プラークが残りやすい状態になります。原因としては清掃不良に伴う長期のプラーク停滞が代表的で、マルチブラケットシステムによる歯列矯正では装置周囲の清掃が難しくなるためリスクが上がります。次に表層下脱灰では、エナメル質の表層直下が脱灰し、光の散乱が増えることで「典型的な白い斑点」として観察されます。
このほか、う蝕とは異なる要因で白斑・褐色斑が生じる場合もあります。たとえば歯牙フッ素症は、歯の形成期にフッ化物を過量に取り込むことで白色~褐色の斑点が生じることがあり、海外では水道水フロリデーション(適正濃度でのフッ化物添加)が普及している地域もあるため原因となり得ます。一方、日本では地域差はあるものの、海外と比べると水道水フロリデーションが一般的ではなく、臨床での頻度は相対的に高くないと考えられます。エナメル質形成不全では、発育期の全身要因・栄養状態・遺伝的背景などが関与し、結晶構造が不規則になることで光の透過・反射が乱れ、白色〜茶褐色に見えることがあります。さらに**MIH(Molar Incisor Hypomineralization)**は小児にみられる発育異常で、境界明瞭な変色と脆弱性を特徴とし、知覚過敏や崩壊、審美的問題などを伴うことがあります。早期診断と低侵襲治療(再石灰化やレジン浸潤など)が重要で、重度では修復処置や抜歯を検討する場合もあります。
参考文献:Almuallem Z, et al. Br Dent J. 2018;225(7):601–609.
マルチブラケット矯正後に起こりやすいホワイトスポット(WSL)
固定式装置(ブラケット)装着中は清掃が難しくなり、ブラケット周囲にプラークが停滞しやすいため、矯正後にホワイトスポットが目立つことがあります。報告によって頻度には幅がありますが、固定式矯正治療中にホワイトスポットが発生した割合が高いことを示す研究もあります。
参考文献:Sundararaj D, et al. J Int Soc Prev Community Dent.
マルチブラケットシステム(固定式矯正装置)では、ブラケットとワイヤーの周囲にプラーク(細菌のかたまり)が停滞しやすく、歯面の清掃が難しくなります。その結果、ブラケット周囲のエナメル質が酸で脱灰し、歯の表面に「白い斑点(ホワイトスポット:WSL)」として見えることがあります。
ホワイトスポットの“白さ”は、脱灰によってエナメル質の内部に微細な空隙(すき間)が増え、光が乱反射することで強調されます。矯正終了後にブラケットを外すと、周囲の面が急に見えるようになるため「矯正が終わった途端に目立ち始めた」と感じる方が多いのも特徴です。
ICON(アイコン)治療とは?「削らずに目立ちにくくする」レジン浸潤法

ICON(アイコン)は、歯を大きく削らずにホワイトスポットを改善することを目指すレジン浸潤法です。ホワイトスポット部では微細な空隙が増え、光が乱反射して白く見えます。ICONでは低粘度レジンを病変内に浸潤させ、**屈折率を近づけることで白さを“目立ちにくくする”**ことが期待できます。処置中の痛みは多くの場合軽微ですが、病変の深さや部位によって結果は異なるため、事前の診査・診断が重要です。
ICONのメリット
歯を大きく削らずに治療でき、痛みが少ないことが多い点が特徴です。白斑の「見え方」を改善し、自然な色調に近づけられる可能性があります。また症例によっては、コンポジットレジン修復のみで色調再現を狙うよりも、審美性の再現性が高くなる場合があります。
ICONの注意点(デメリット)
すべてのホワイトスポットに適応できるわけではなく、病変が深い場合にはダイレクトボンディング等を併用することがあります。また、メンテナンスが不十分な場合には、ICONレジンに着色が生じる可能性があります。保険診療ではなく自費診療となります。
ICON治療の流れ
まずカウンセリングと診査で、原因・深さ・表面性状を評価し、ICONが適切かを判断します。次にレジン浸潤処置を行い、治療後は状態確認と必要に応じたフォローアップを行います。目安として、ご相談・施術・経過観察を含めて合計3回程度の来院となることが多いです(症例により変動します)。
ダイレクトボンディング(必要時に併用)
ホワイトスポットやブラウンスポットの深さ・範囲によっては、ICON単独では改善が限定的なことがあります。その場合、最小限の切削介入で審美回復を図る方法として、ダイレクトボンディングを併用します。当院ではマイクロスコープにより歯質境界やマージンの微細な段差、気泡の混入などを確認しながら、形態と色調を精密に再現します。またラバーダム防湿により唾液や湿潤の影響を排除し、接着の成功率を高めることを重視しています。これにより術野の視認性・操作性が向上し、汚染リスクを抑えつつ再発防止にもつながります。
ブラウンスポットとは?(ホワイトニングを併用する理由)
ブラウンスポットは、歯にみられる茶色〜黒色の「しみ(斑)」で、歯の形成期に有機物質(色のある分子)や金属イオンなどが取り込まれることが関与すると考えられています。再石灰化が進行して酸への抵抗性が高い場合もあり、歯を大きく削らずに審美的に改善するには、診断と手技の精度が求められます。ブラウンスポットを伴う場合は、まずホワイトニングで色素の印象を弱め、その後にICONや必要に応じてダイレクトボンディングを組み合わせることで、最小限の介入での審美回復(MI審美修復)を目指します。
実際の症例(写真掲載:患者様の同意を得ています)
![]()
初診来院時。ホワイトスポットと、マルチブラケットシステムによる歯列矯正後の歯面の粗造感が観察できる。
本症例は、マルチブラケットシステムによる歯列矯正後の前歯部に、広範囲のホワイトスポットと歯面の粗造感が認められたケースです。まずホームホワイトニングにより歯列全体の明度を整えたうえで、オパールーストラを用いたエナメルマイクロアブレージョンを行いました。

マイクロアブレージョンにより歯面の粗造感を除去し、表層性状を滑沢化することで、清掃性の改善や着色の抑制も期待できます。その後、ICON(レジン浸潤法)を施行し、脱灰部に低粘度レジンを浸潤させることで光の乱反射を抑え、ホワイトスポットを目立ちにくくすることを目指しました。結果として、歯を大きく削ることなく、透明感を含む自然な色調へ改善することができました。
![]()
ICONの利点は、歯質削除を最小限にしながらホワイトスポットの見え方を改善し、患者様本来の色調に近づけられる点にあります。セラミックベニアやオールセラミッククラウンは審美改善効果が高い一方で、歯質削除量が大きくなる場合があるため、当院ではまず低侵襲な選択肢(ホワイトニング、マイクロアブレージョン、ICON)を検討し、必要性が高い場合に限って適応を慎重に判断します。
ICON治療の現状と門前仲町髙木歯科の強み
ICON治療を日常的に行う歯科医院はまだ多くなく、ホワイトスポットやブラウンスポットの診断・治療の経験値には差があります。当院では、院長が研究・発表・執筆を通じて治療体系を整理し、症例に応じてホワイトニング、ICON、ダイレクトボンディング、セラミック治療まで含めて最適な組み合わせをご提案します。ホワイトスポット治療でお悩みの方は、まずはご相談ください。
治療料金・回数(目安)
-
アイコン治療:1歯 ¥66,000(税込)
-
症例写真提供不可の場合:1歯 ¥88,000(税込)
-
ホワイトニング併用:¥22,000〜¥44,000(税込)
-
ダイレクトボンディング:1歯 ¥77,000(税込)
-
治療回数:ご相談・施術・経過観察を含めて約3回
-
推奨年齢:目安として15歳以上(歯の状態により個別判断)
よくあるご質問(Q&A)
Q1. 矯正後に前歯の白い斑点(ホワイトスポット)が目立つのはなぜですか?
A. マルチブラケット矯正中は装置の周囲にプラークが残りやすく、歯の表面(エナメル質)が酸で脱灰すると、光の反射が変わって白く見えます。ブラケットを外したあとに歯面が露出することで、急に目立ったと感じる方も多いです。
Q2. 白い斑点は「虫歯」なのでしょうか?
A. ホワイトスポットは、明確な穴があく前の「初期の脱灰(初期う蝕)」に相当することが多いです。ただし、すべてが進行する虫歯とは限りません。表面の硬さやザラつき、範囲や深さを診査し、再石灰化中心で経過を見るか、審美治療を併用するかを判断します。
Q3. 矯正後の歯のザラつき(粗造感)は改善できますか?
A. はい。歯面が粗造な場合、清掃性が落ちて着色やプラーク停滞につながりやすくなります。当院では状態に応じて、オパールーストラを用いたエナメルマイクロアブレージョンなどで表層を整え、歯面を滑沢にしていきます。
Q4. ICON(アイコン)治療でホワイトスポットは消えますか?
A. ICONは低粘度レジンを病変内に浸潤させ、光の乱反射を抑えることで白さを「目立ちにくくする」治療です。浅〜中等度のホワイトスポットでは高い改善が期待できますが、病変が深い場合には完全に均一にならず、「薄くなる」「目立ちにくくなる」ゴールになることもあります。事前の診査で、見込みを丁寧にご説明します。
Q5. なぜホワイトニング→マイクロアブレージョン→ICONの順番なのですか?
A. まずホームホワイトニングで歯列全体の明度を整えることで、仕上がりの色調を合わせやすくなります。そのうえでマイクロアブレージョンにより粗造感を改善し、表面性状を整えます。最後にICONを行うことで、白斑の見え方を改善しやすくなります。ホワイトスポットは状態が一様ではないため、当院では歯を大きく削らない治療を優先し、必要に応じて治療を組み合わせています。
当院のご紹介・アクセス
門前仲町髙木歯科では、智歯抜歯・歯列矯正・虫歯治療・ホワイトニング・ホワイトスポット治療・セラミック治療・ダイレクトボンディングまで、各専門医による診療を受けていただけます。日本総合歯科学会指導医、日本歯科審美学会認定医、日本口腔外科学会専門医、日本矯正歯科学会認定医が在籍しております。
所在地:江東区(門前仲町駅・木場駅・越中島駅から徒歩10分以内)
駐車場:地下にクリニックモール用駐車場あり
遠方から:東京駅から車で約10分、豊洲から約5分
アクセスはこちら:
https://www.takagi-dc.net/access.html
ホワイトスポット治療のご相談をご希望の方は、お気軽にお問い合わせください。
執筆者:門前仲町髙木歯科 院長 髙木仲人
投稿日:2025年12月25日
ティオン ホーム ウィズのホワイトニング効果|治療前後写真で解説|門前仲町髙木歯科
江東区・門前仲町でホワイトニングをご検討中の方へ
門前仲町髙木歯科のホワイトニング治療の特徴・料金・選び方
門前仲町髙木歯科は、
門前仲町駅・木場駅・越中島駅から徒歩10分以内に位置する歯科医院です。
東京駅からもお車で約10分と、遠方からの通院にも便利な立地です。
当院では、
ホワイトニング・ホワイトスポット治療・コンポジットレジン修復を中心とした
科学的根拠に基づくMI審美歯科治療を行っています。
ホワイトニング症例→こちらをクリックしてください。
当院で使用しているホワイトニングシステム
患者さんの歯質・年齢・ライフスタイル・知覚過敏リスクに応じて、
複数のホワイトニング方法を適切に使い分けています。
ユニバーサルトレー型ホワイトニング
オパールエッセンス Go(Ultradent社)

Opalescence_Go_Mint and Mint_3D
オパールエッセンス Goは、
歯型採得が不要なユニバーサルトレー一体型ホワイトニングです。
特徴
-
歯型取り不要、すぐに開始可能
-
1回約60分で手軽に行える
-
忙しい方、まず試してみたい方に適している
-
来院回数を最小限にできる
- 遠方からの来院で、次回にICONを使用したレジン浸潤法でホワイトスポット治療をしたい。
注意点
-
既製トレーのため、
カスタムトレーと比べると薬剤保持性・適合精度は限定的 -
色調の微調整や長期的な色の安定性は
カスタムトレー型の方が優れる
カスタムトレー型ホームホワイトニング(当院のメインのホワイトニング法)
門前仲町髙木歯科では、
ジーシー社製 ティオンシリーズをホームホワイトニングの主軸として採用しています。
ティオン ホーム ウィズ

-
高い漂白力(過酸化水素6%相当)
-
1日約60分・短期間で効果を実感しやすい
-
忙しい方、早く白くしたい方に適している
ティオン ホーム プラチナ
-
10%過酸化尿素配合
-
穏やかな作用で知覚過敏が出にくい
-
長期的に白さを安定させたい方に適している
カスタムトレー型のメリット
-
歯列に精密に適合
-
薬剤が均一に作用しムラが出にくい
-
歯肉刺激が少なく、安全性が高い
-
後戻りが緩やか
ホワイトニング料金表(自然な導線)
※すべて税込表示です。
オパールエッセンス Go
-
¥22,000
(上下トレー・ホワイトニング材含む)
ホームホワイトニング(カスタムトレー)
-
¥33,000〜¥44,000
(カスタムトレー+ホワイトニング材)
※使用する薬剤
-
ティオン ホーム ウィズ
-
ティオン ホーム プラチナ
は、歯質・知覚過敏リスク・希望期間に応じて選択します。
※必要に応じて追加ジェル・経過表示の調整を行います。
ティオン ホーム ウィズを使用したホワイトニング症例
今回は、ジーシー社 ティオン ホーム ウィズを使用したホームホワイトニングの実際の症例をご紹介いたします。
※患者さんより、写真掲載の同意を得ております。
初診時の状態
「歯を白くしたい」という主訴で来院された、歯列矯正治療後の患者さんです。
初診時には、矯正装置が装着されていた部分の色調差(装置跡)がやや目立つ状態でした。
歯の色調自体は、平均的な日本人の歯の色で、強い変色は認められませんでした。

治療内容と結果
ティオン ホーム ウィズを用いたホームホワイトニングを行いました。短期間で無理のない範囲でホワイトニングを進めた結果、
歯列全体の明度が向上し、矯正後の歯列に調和した自然で清潔感のある白さが得られました。
人工的に白くなりすぎることはなく、歯本来の透明感を活かした、ナチュラルな審美改善が得られた症例です。
よくあるご質問
オパールエッセンスGo と ホームホワイトニングの違いは?
Q1. どちらの方が白くなりますか?
A.
最終的な白さ・色の安定性は
カスタムトレー型ホームホワイトニングの方が優れます。
オパールエッセンス Goは「手軽さ重視」、
ホームホワイトニングは「確実性・持続性重視」です。
Q2. 忙しくて時間が取れない場合は?
A.
短期間・簡便さを重視する場合は
オパールエッセンス Goが適しています。
Q3. 知覚過敏が心配です
A.
知覚過敏が出やすい方には
ティオン ホーム プラチナなど、
低刺激でコントロールしやすい方法を選択します。
Q4. 将来的な後戻りが心配です
A.
後戻りを抑えたい場合は
カスタムトレー型ホームホワイトニングがおすすめです。
Q5. 結局どれを選べばいいですか?
A.
歯の色・年齢・変色原因・生活スタイルを診断した上で、
最適な方法をご提案します。
自己判断は不要です。
ホワイトニングは医療行為です
ホワイトニングは医療行為であり、
歯科医師・歯科衛生士の管理下で行うことで
安全性と効果を最大限に引き出すことができます。
海外製品の個人輸入やサロンでの施術は、
成分・濃度・トラブル時の対応に大きなリスクがあります。
ご相談・お問い合わせ
歯の色、ホワイトニング、ホワイトスポット、
審美歯科治療でお悩みの方は、
門前仲町髙木歯科までお気軽にご相談ください。
執筆者
門前仲町髙木歯科
院長 髙木仲人
(日本歯科審美学会 認定医)
投稿日:2025年12月15日
【症例】ホワイトスポット・ブラウンスポットを削らず改善|ホワイトニング×浸潤法×CR修復の総合治療
こんにちは。門前仲町髙木歯科 院長の髙木仲人です。
当院では“テーラーメイド型 MI 審美治療”をコンセプトに、患者様に合わせて最適なホワイトスポット(White Spot Lesion)・ブラウンスポット治療をご提案しています。
このたび、日本歯科保存学会秋季学術大会(第163回)にて、以下の症例報告を行いました。
髙木仲人,島田康史, 保坂啓一:
「ホワイトスポットおよびブラウンスポットに対する審美修復処置の一例」
-ホワイトニング・マイクロアブレージョン・レジン浸潤法・コンポジットレジン修復の併用-
本記事では、その内容を一般の方向けにわかりやすくご紹介します。

■ ホワイトスポット・ブラウンスポットとは?
● ホワイトスポット(White Spot Lesion)
歯の表面に現れる白く不透明な斑点で、
・初期虫歯
・矯正治療後の白斑
・外傷
などが原因となります。
詳しくはこちら
➡ ホワイトスポット治療について
● ブラウンスポット(Brown Spot)
同じくエナメル質の変化によって生じる茶色い変色です。
白濁よりも深い層まで変性が及ぶ場合が多く、治療には慎重な診断が必要になります。
■ なぜ目立つのか?
表層の微細構造が変化し、
-
光が乱反射して白く見える
-
色素が沈着して茶色く見える
といった光学的な理由によるものです。

■ 当院の治療方針:多角的アプローチ
一つの方法だけでは改善しきれないケースが多いため、
当院ではホワイトニング → 表層処理 → 浸潤法 → CR修復の順に、必要な処置を組み合わせます。
① ホワイトニング
まず歯全体の色調を均一にし、スポットの目立ちを軽減します。

ホワイトニングの詳細はこちら
➡ 当院のホワイトニング(ホーム・オフィス)
② マイクロアブレージョン
エナメル質表層のごく浅い部分を整え、
白斑・茶色斑の表面性状を改善します。

③ レジン浸潤法(Icon / KEC系材料)
エナメル質内部の“空隙化”した部分に低粘度レジンを浸透させ、
光の通り方を変えることで白濁を透明化させる最新MI治療です。
詳しくはこちら
➡ レジン浸潤法(ホワイトスポット治療)
④ コンポジットレジン修復(CR修復)
浸潤法でもごく薄い境界が残る場合、
エナメル質を削らず、極薄のCRレイヤーで自然な質感を再現します。
当院の審美CR修復
➡ コンポジットレジン修復(審美治療)
■ 症例の概要(学会発表より)
● 主訴
「笑ったときに見える白いシミ・茶色いシミをきれいにしたい」

● 診断
矯正後のホワイトスポット+深在性ブラウンスポット
● 治療ステップ
-
ホームホワイトニング(Opalescence 10%)
-
マイクロアブレージョン
-
レジン浸潤法(Icon / 接着性浸潤材併用)
-
コンポジットレジン修復で最終的な色調と形態を微調整
■ なぜ“併用治療”が有効なのか?
ホワイトスポット・ブラウンスポットの原因・深さ・範囲は個々で異なるため、
「ホワイトニングだけ」「Iconだけ」で十分に改善しないケースが多くあります。
当院では、
“削らない治療を優先しつつ、必要最低限のステップを追加する”
というMIコンセプトのもと、患者様ごとに治療法を組み合わせています。
■ 当院の強み
✔ 学会発表レベルのホワイトスポット治療
(2025年 日本歯科保存学会秋季大会で症例報告)
✔ 削らない審美治療“MIアプローチ”
(エナメル質の保存を最優先)
✔ ホワイトニング・Icon・CR修復を一貫して提供
(複合症例にも対応)
■ ホワイトスポットやブラウンスポットでお悩みの方へ
「削らずに改善したい」
「Iconで治せるのか知りたい」
「一度相談したい」
という方は、まずはお気軽にご相談ください。
症状の深さ・原因に応じて、最適な治療プランをご提案いたします。
治療料金と治療回数
- アイコン治療:1歯 ¥66,000(税込)
- 症例写真提供不可の場合:1歯 ¥88,000(税込)
- ホワイトニング併用:¥22,000〜¥44,000(税込)
- 治療回数:ご相談・施術・経過観察の合計で約3回の治療が必要です。
- 推奨年齢:年齢制限はありませんが、基本的には15歳以上の方を対象としています。
- ダイレクトボンディング1歯¥77000(税込)
~当院のご紹介~
門前仲町髙木歯科では、智歯抜歯・歯列矯正・虫歯治療・ホワイトニング・ホワイトスポット治療・セラミック治療・ダイレクトボンディングまで、各専門医による診療を受けることが可能です。
日本総合歯科学会指導医、日本歯科審美学会認定医、日本口腔外科学会専門医、日本矯正歯科学会認定医が在籍しております。
アクセス
- 所在地:江東区門前仲町駅・木場駅・越中島駅から徒歩10分以内。
- 駐車場:地下にクリニックモール用の駐車場がございます。東京駅、銀座駅、豊洲や有明からもご通院可能です。東京駅から車で10分程、豊洲駅からは5分です。
- 遠方からお越しの場合:東京駅よりタクシーで10分程でご通院いただけます。
ご相談・お問い合わせ
ホワイトスポットの治療についてご相談をご希望の方は、当院までお気軽にお問い合わせください。
アクセスはこちらです↓
https://www.takagi-dc.net/access.html
ホワイトスポット治療専用相談フォームはこちらをタップして下さい
歯医者、歯の色、ホワイトスポット・ブラウンスポット、ダイレクトボンディングやセラミック等の審美治療でお困りの方は門前仲町髙木歯科へお気軽にお問い合わせください。
執筆者:門前仲町髙木歯科 院長 髙木仲人
投稿日:2025年11月25日
門前仲町髙木歯科インプラントを活用した審美治療
インプラント補綴とサージカルガイドによる精密治療
〜門前仲町髙木歯科のインプラント治療〜
インプラント治療とは
インプラント治療は、失われた歯の根をチタン製の人工歯根で置き換え、自然な見た目と噛む力を回復させる治療法です。
チタンは生体親和性が高く、骨と強く結合(オッセオインテグレーション)するため、ブリッジや入れ歯に比べて安定感と快適さに優れています。
インプラントの基本構造
- インプラント体(フィクスチャー):骨の中に埋め込む人工の歯根
- アバットメント:インプラント体と人工歯をつなぐパーツ
- 上部構造(人工歯):見た目と噛み合わせを担うかぶせ物
当院では、審美性・耐久性・清掃性を考慮し、ジルコニアなどの高品質素材を用いた補綴設計を行っています。
インプラント補綴とは
「インプラント補綴」とは、インプラント体の上に人工歯(上部構造)を装着する工程を指します。
見た目の自然さだけでなく、咬み合わせ・発音・清掃のしやすさに直結する重要なステップです。
当院の補綴設計の特徴
- 審美性に優れたオールセラミック(ジルコニア)クラウンを使用しています。
- 状況に応じたスクリュー固定式/セメント固定式の選択
→ メインテナンス性を考慮し、可能な限りスクリュー固定を採用しています。
サージカルガイドによる安全・精密な手術
当院では、すべてのインプラント手術においてサージカルガイドを使用しています。
これは、手術前に撮影したCTデータをもとに3D設計されたインプラント用テンプレートで、
埋入位置・角度・深さを高精度にコントロールすることができます。

サージカルガイドを使うメリット
- 理想的な位置・角度でのインプラント埋入
補綴を見据えた設計により、長期的な安定と自然な仕上がりを実現します。 - 安全性の向上
CTデータに基づき、神経や上顎洞などの重要構造を正確に回避。 - 低侵襲・短時間手術
必要最小限の切開で行えるため、腫れや痛みを軽減。 - 予知性の高い治療結果
術者の経験に依存せず、設計通りの位置に正確に埋入できます。
門前仲町髙木歯科のインプラント治療のこだわり
- CT解析+サージカルガイドによるデジタル精密治療
- 審美性・清掃性を重視した補綴設計
- 定期的なメインテナンスによる長期安定性の確保
- 院長と口腔外科学会専門医による一貫した診査・埋入・補綴・管理
まとめ
インプラント治療は、「しっかり噛める」「自然に見える」「他の歯を守る」ための優れた治療法です。
当院では、CTによる三次元診断とサージカルガイドを活用し、より安全で精密なインプラント治療を提供しています。
患者さま一人ひとりに合わせた治療計画を立て、見た目・機能・安心感を両立したインプラント補綴を行っています。
インプラント補綴とサージカルガイドによる精密治療
〜門前仲町髙木歯科の安全・審美・長期安定をめざすインプラント〜
インプラントQ&A
Q1. インプラントとはどんな治療ですか?
- インプラントは、失った歯の根の代わりにチタン製の人工歯根を顎の骨に埋め込み、その上に人工の歯を装着する治療法です。
チタンは骨と強く結合するため、入れ歯のような動揺がなく、しっかり噛むことができます。見た目も自然で、周囲の歯に負担をかけません。
Q2. サージカルガイドとは何ですか?
- サージカルガイドとは、CTデータをもとに作製する手術用テンプレートです。
これを用いることで、インプラントを理想的な位置・角度・深さに正確に埋入できます。
当院ではすべての症例でサージカルガイドを使用し、安全で再現性の高い治療を行っています。
Q3. サージカルガイドを使うメリットは?
- 以下のような利点があります。
- 神経・血管を正確に避けられるため安全性が高い
- 埋入位置が正確で長期安定性が向上
- 最小限の切開で済むため痛み・腫れが少ない
- 治療計画が3Dで可視化され、術前に結果をイメージできる
Q4. インプラントの上に被せる「人工の歯(補綴物)」はどんな種類がありますか?
- 当院では、審美性・強度・清掃性を考慮して、
- ジルコニアクラウン(オールセラミック)
- メタルボンドクラウン
- ハイブリッドレジン冠
などから選択します。
また、メインテナンス性に優れたスクリュー固定式を推奨しています。
取り外しが可能で、清掃・再調整がしやすいのが特徴です。
Q5. 治療期間はどれくらいかかりますか?
- 顎の骨の状態や治癒期間によって異なりますが、
一般的には 埋入から上部構造装着まで約3〜6か月です。
骨の状態が良好な場合は、短期間での治療も可能です。
Q6. メンテナンスは必要ですか?
はい。インプラントは「人工歯」ですが、周囲の歯ぐき(インプラント周囲組織)の健康を守るために、
定期的なクリーニングと咬合チェックが不可欠です。
当院では、3〜6か月ごとのメインテナンスを推奨しています。
実際の症例
奥歯が破折してしまい、各治療法についてご説明さえて頂きました。最終的にインプラント補綴をご希望なさった患者さんです(症例写真の使用について患者さんから同意を得ています)。

インプラント治療前

インプラント治療後
CT解析により下歯槽神経の位置を正確に把握しています。サージカルガイドを活用し、安全な埋入と正確な補綴設計を実現することで咬合圧の分散を考慮した設計で、長期安定性を確保しました。
治療費用は価格表をご参照ください→ ここをクリック
~当院のご紹介~
門前仲町髙木歯科では、智歯抜歯・インプラント治療・歯列矯正・虫歯治療・ホワイトニング・ホワイトスポット治療・セラミック治療・ダイレクトボンディングまで、各専門医による診療を受けることが可能です。
日本総合歯科学会指導医、日本歯科審美学会認定医、日本口腔外科学会専門医、日本矯正歯科学会認定医が在籍しております。
アクセス
- 所在地:江東区門前仲町駅・木場駅・越中島駅から徒歩10分以内。
- 駐車場:地下にクリニックモール用の駐車場がございます。東京駅、銀座駅、豊洲や有明からもご通院可能です。東京駅から車で10分程、豊洲駅からは5分です。
- 遠方からお越しの場合:東京駅よりタクシーで10分程でご通院いただけます。
ご相談・お問い合わせ
ホワイトスポットの治療についてご相談をご希望の方は、当院までお気軽にお問い合わせください。
アクセスはこちらです↓
https://www.takagi-dc.net/access.html
歯医者、歯の色、ホワイトスポット・ブラウンスポット、ダイレクトボンディングやセラミック。歯列矯正やインプラント治療等の審美治療でお困りの方は門前仲町髙木歯科へお気軽にお問い合わせください。
執筆者:門前仲町髙木歯科 院長 髙木仲人
投稿日:2025年10月7日
削らないホワイトスポット治療、ブラウンスポット治療。ICON(アイコン)、東京。
門前仲町髙木歯科|ICONを併用したホワイトスポット治療
江東区の門前仲町駅・木場駅・越中島駅から徒歩10分以内の門前仲町髙木歯科です。遠方よりお越しの方は東京駅よりお車で10分程で通院が可能です。
院長の髙木仲人は国立大学法人徳島大学 歯科保存学分野 保坂啓一教授のご指導の下、ホワイトスポットの研究、学会発表・セミナー発表、専門誌への執筆を行っております。一般社団法人 日本歯科審美学会認定医、日本総合歯科学会指導医でもあり、患者様に合わせたテーラーメイドでのホワイトスポット治療・ブラウンスポット治療・デンタルホワイトニング・セラミック治療・ダイレクトボンディングのご相談が可能です。
ホワイトスポット治療における日本の現状
ホワイトスポットの治療は、いまだ日本においては正しい審査・診断と治療方法が普及していません。そのため、適切な治療を受けられずに悩まれている患者様も多くいらっしゃいます。
ホワイトスポットの原因
ホワイトスポット病変とは、う蝕による欠損を伴わない、脱灰に伴う初期病変です。
主な原因として表層脱灰と表層下脱灰があります。
1:表層脱灰 エナメル質が酸の影響で溶出している。
原因として清掃不良に伴う長期のプラークの停滞。マルチブラケットシステムによる歯列矯正による清掃不良。
2:表層下脱灰 エナメル質の表層直下の層が酸の影響をうけて脱灰している。→典型的なホワイトスポットとして観察される。
その他の原因として
歯牙フッ素症
諸外国ではウォーターフロリデーションと呼ばれる取り組みにより、水道水に高濃度のフッ素が添加され、う蝕予防に役立っている。その反面、歯の形成期に高濃度のフッ素を歯に取り込むことにより歯の表面に白色や茶色の斑点ができることがある。海外ではメジャーなWSLの原因であるが、日本で発症することは考えにくい。
エナメル質形成不全
歯の発育期に全身疾患や栄養障害、あるいは遺伝的背景が関与することで、エナメル質の形成が十分に行われなかった状態がみられる。う蝕とは異なるものの、結晶構造が不規則となることで光の透過や反射が乱れ、表面が白く、あるいは茶褐色に見えることがある。色調には個人差があり、白色から褐色まで幅広いバリエーションを呈する。
MIH(Molar Incisor Hypomineralization)
MIHは、全世界の約6人に1人の小児に認められる歯の発育異常であり、エナメル質の形成期における全身的要因により、境界明瞭な変色および脆弱性が生じる。MIH歯は脱灰や崩壊を起こしやすく、う蝕や知覚過敏、審美的問題、麻酔困難、行動管理上の困難など、多くの臨床的課題を伴う。診断は早期が望ましく、再石灰化やレジン浸潤などの低侵襲的治療が推奨されるが、重度の場合には修復処置や抜歯を検討する必要がある。MIHは小児歯科領域における重要な疾患であり、一次診療における的確な対応が求められる
参考文献:
マルチブラケットシステムによる歯列矯正後のホワイトスポット
固定式装置を装着することにより、矯正治療を受診している患者の68.4%に、ホワイトスポットが発生したという研究報告もあります。
ICON治療とは?
ICON(アイコン)は、削らずにホワイトスポットを改善できる治療法です。低粘度のレジン(樹脂)をエナメル質に浸透させ、ホワイトスポットを目立たなくすることで、自然な歯の色調を取り戻すことができます。削らずに治療できるため、痛みはほとんどなく、歯質を守りながら審美的な改善が可能です。
ICON治療のメリットとデメリット
メリット:
- 歯を削らずに治療することが可能です
- 痛みはほとんど、ありません。
- 自然な見た目を取り戻せる。
- 症例によってはコンポジットレジン修復を行うよりも、再現性が高い審美歯科治療が可能です。
デメリット:
- 全てのホワイトスポットに対応できるわけではありません。深いホワイトスポットの症例にはダイレクトボンディングを併用することがあります。
- メンテナンス不足では早期にICONレジンに着色が発生する可能性があります。
- 保険診療ではありません、自費治療となります。
ICON治療の流れ
審査・診断:お困りの症状をカウンセリングさせて頂きます。ホワイトスポットの原因や状態を診断し、ICON治療が適切かを判断します。
ICON治療:レジンを浸透させる処置を行います。痛みはほとんど伴いません。
経過観察:治療後の状態を確認し、必要に応じてフォローアップを行います。
合計3回の来院が必要です。
ダイレクトボンディングについて
■ マイクロスコープの使用によるメリット
1. 視野の拡大と明瞭化
-
高倍率(最大20倍程度)での観察により、歯質の境界、マージン部の段差、マイクロクラック、気泡の混入などを明瞭に把握可能。
-
特にエナメル質と象牙質の境界や、辺縁隆線・隣接面形態の再現が求められる場合に有効。
2. 精密な形成・築盛・研磨操作が可能
-
細部までコントロール可能な視認性により、レジンの築盛操作や表面形態の再現の精度が向上。
-
特に審美性が求められる前歯部や、隣接面接触点の形成など繊細な処置に有用。
■ ラバーダム防湿下での処置のメリット
1. 湿度・唾液・血液からの隔離による接着性向上
-
コンポジットレジン修復では、接着面の湿潤は接着阻害要因となるため、完全な乾燥環境を確保できるラバーダムは接着成功の必須条件。
-
特に象牙質との接着(ハイブリッドレイヤー形成)において、湿潤環境下では未重合レジン層の形成など不良接着の原因となる。
2. 術野の視認性・操作性の向上
-
軟組織や唇・舌の干渉を排除し、術野の視認性と操作性を大幅に向上させる。
-
唾液の再流入や血液による汚染のリスクも排除可能。
3. 感染対策と再発防止
-
ラバーダムの使用により、口腔内常在菌の術野への侵入が防がれ、う蝕の再発や修復物周囲の微小漏洩のリスクを軽減。
-
とくに深部象牙質や象牙細管が露出している症例では必須。
本症例ではブラウンスポットを発生していたためホームホワイトニングを併用しました。
ブラウンスポットとは何ですか?
歯の茶色いしみです。
原因
歯の褐色班病変/ブラウンスポット(Brown spot enamel lesions,)はエナメル質の局所的な茶色~黒色の変化です。この茶色いしみは、歯の成長段階における有機物質(色のある分子)や金属分子が吸収されてしまったことによって起こるとされています。
歯の再石灰化が高度に起きており、酸に対する抵抗性が高いため歯を削らず審美的に治療するのには歯科医師に高い知識と技術が必要とされます。
治し方
歯のホワイトニングを行い色素(茶色―黒色)の分解してから、ホワイトニングを行います。

実際のICON症例を提示させて頂きます。(患者さんからの同意を得て写真を掲載しています)


前歯の目立つ広範囲にホワイトスポットとブラウンスポットが確認できます。エナメル質の表層は融解していることが分かります
まずホワイトニングを行い、ブラウンスポットを薄くしていきます。次にIcon(アイコン)治療を行い、最後に融解している歯の表面はダイレクトボンディングで治療をしていくことで最小限の切削介入であるMI審美修復が可能です。
治療後の口腔内写真


最小限の切削介入でMIコンセプトに基づいた、ホワイトスポット、ブラウンスポット治療を行うことができました。
マイクロスコープを使用してダイレクトボンディングを行ったことで最小限の切削介入で治療を行うことが可能です。
歯の本来もつ美しい、透明感のある色調に改善ができました。
ICON治療のメリットは
・歯を削らずにホワイトスポットを消すことができる
・患者さん本来の歯の色、透明感を再現できる
ということにあります。もし、このホワイトスポットをダイレクトボンディングで再現しようとるすと、歯科医師にはかなりのスキルの習熟と才能が求められます。
オールセラミッククラウンやべニア等のセラミック治療では、あまりにも多くの歯を削る必要があるため歯の健康寿命を考えると行うべきではありません。
ICON治療の現状と門前仲町髙木歯科の強み
多くの歯科医院ではICON(アイコン)治療を行っていません。またホワイトスポットとブラウンスポットに対する歯科医師の認知も十分ではありません。ICON治療の使用法を熟知している歯科医師の数は相当に限られています。
院長の髙木仲人はアイコン治療についての研究を行い、歯科医師向けの雑誌での寄稿やホワイトスポット治療の講演も行っています。また、日本歯科審美学会認定医でもありますので、安心してホワイトスポット治療、ブラウンスポット治療を受診なさってください。

院長の髙木仲人はホワイトスポット治療対するIconを使用したレジン浸潤法について解説した日本で初めての書籍を発刊しています。
治療料金と治療回数
- アイコン治療:1歯 ¥66,000(税込)
- 症例写真提供不可の場合:1歯 ¥88,000(税込)
- ホワイトニング併用:¥22,000〜¥44,000(税込)
- 治療回数:ご相談・施術・経過観察の合計で約3回の治療が必要です。
- 推奨年齢:年齢制限はありませんが、基本的には15歳以上の方を対象としています。
- ダイレクトボンディング1歯¥77000(税込)
~当院のご紹介~
門前仲町髙木歯科では、智歯抜歯・歯列矯正・虫歯治療・ホワイトニング・ホワイトスポット治療・セラミック治療・ダイレクトボンディングまで、各専門医による診療を受けることが可能です。
日本総合歯科学会指導医、日本歯科審美学会認定医、日本口腔外科学会専門医、日本矯正歯科学会認定医が在籍しております。
アクセス
- 所在地:江東区門前仲町駅・木場駅・越中島駅から徒歩10分以内。
- 駐車場:地下にクリニックモール用の駐車場がございます。東京駅、銀座駅、豊洲や有明からもご通院可能です。東京駅から車で10分程、豊洲駅からは5分です。
- 遠方からお越しの場合:東京駅よりタクシーで10分程でご通院いただけます。
ご相談・お問い合わせ
ホワイトスポットの治療についてご相談をご希望の方は、当院までお気軽にお問い合わせください。
アクセスはこちらです↓
https://www.takagi-dc.net/access.html
ホワイトスポット治療専用相談フォームはこちらをタップして下さい
歯医者、歯の色、ホワイトスポット・ブラウンスポット、ダイレクトボンディングやセラミック等の審美治療でお困りの方は門前仲町髙木歯科へお気軽にお問い合わせください。
執筆者:門前仲町髙木歯科 院長 髙木仲人
投稿日:2025年8月20日
江東区の門前仲町駅・木場駅・越中島駅から徒歩10分以内の門前仲町髙木歯科です。遠方よりお越しの方は東京駅よりお車で10分程で通院が可能です。院長の髙木は国立大学法人徳島大学再生歯科治療学保坂啓一教授のご指導の下、ホワイトスポット・コンポジットレジン・ホワイトニングの研究また学会発表・セミナー発表、専門誌への執筆を行っております。

院長の髙木仲人は一般社団法人 日本歯科審美学会認定医です。安心安全なホワイトスポット治療・デンタルホワイトニング・セラミック治療のご相談が可能です。副院長はホワイトニングの研究で歯学博士号を取得しております、経験豊富なドクターによるデンタルホワイトニングが可能です。
当院のホワイトニングの実績・実際の症例集 こちらをタップしてください。
ホワイトニングとは
ホワイトニング剤を塗布することで、歯の表面の黄ばみ色素を分解して歯を漂白していきます。歯科医院で行うオフィスホワイトニングと、家で行うホームホワイトニング、オフィスとホームを両方行うデュアルホワイトニングなどの方法があります。
ホームホワイトニングのメリットは
自宅で気軽に行える、知覚過敏が発生しにくい、色の白さが定着しやすく後戻りが起こりにくい。といった点があります。
ホームホワイトニングは歯科医院で印象採得を行い、ホワイトニング用のカスタムトレーを作成し患者自身が自宅でホワイトニングを行う方法です。ホワイトニング材に含まれている10%過酸化尿素は唾液中の水分と体温の接触により徐々に分解され、3.5%過酸化水素相当のホワイトニング効果を得ることが可能です。1日2時間、2週間連続使用を行います。
安全性が高く、知覚過敏の発生頻度はオフィスホワイトニングと比較すると低く、後戻りもゆっくりです。

オフィスホワイトニングとは
オフィスホワイトニングは歯科医院で行うホワイトニングです。メリットとして
色の改善が早い。マウスピースを装着するホームホワイトニングがどうしても行えない時に適している。
オフィスホワイトニングのデメリットは
知覚過敏の発生確率が高い、色の後戻りが早いことがある。複数回行わないといけないためコストパフォーマンスが悪い。
といったことが挙げられます。ホワイトニング方法について、よくあるご質問に対してQ&A方式でわかりやすくご説明させていただきます。
Qホワイトニング濃度が高い方が、歯の色はより白くなりますか?
Aホワイトニング濃度が高いほど早く白くなりますが、最終的な白さには必ずしも比例しません。むしろ個々の歯質や治療期間、継続性の方が、最終的な審美効果に大きく関与します。
過去の研究においても過酸化水素濃度の違いがホワイトニング効果(ΔE)と知覚過敏にどう影響するかを臨床的に検証。最終的な色の明度は濃度に比例しない、とあります。
Pintado-Palomino K, et al. Effect of hydrogen peroxide concentration on enamel color change and tooth sensitivity: a randomized clinical trial. J Dent. 2020 Oct;101:103448.
Qホワイトニングは全ての条件で誰でも同じように白くなりますか?
A歯の個体差、変色の原因、年齢、患者の協力度によってその効果は大きく異なります。
特に加齢による明度の低下は、歯のエナメル質が薄くなっておりホワイトニング効果を得るのには長期間のホワイトニングが必要です。
先行研究において、
若年者(15-24歳)と高齢者(45-78歳)を対象にホームホワイトニング1ヶ月における漂白効果を評価した。
結果として、若年者は高齢者と比較してホームホワイトニングによるホワイトニング効果が顕著であった。
Forville H, de Andrade PLR, Machado AG, et al. Clinical performance of at-home dental bleaching in younger and older adults: A non-randomized, double-blind trial. J Dent. 2025 Aug;159:105825.
とあります。
今回は加齢による明度の低下に対して、ホームホワイトニングでご対応させて頂いた症例についてお話をさせて頂きます。
(患者さんには症例写真の使用の許可を頂いています)

歯の色を白くしたい。との主訴に当院に来院された患者さんです。歯の明度は平均的な色と比較して若干低く、歯の表面には縞模様もありホワイトニング効果の得にくい症例です。
患者さんにはその旨をご説明し、長期間(1-2か月程度)のホームホワイトニングを行う計画をご説明しホワイトニングを始めました。

ホームホワイトニング2か月後の口腔内写真です。歯の明るさにかなりの改善が見られたことがわかります。
歯のホワイトニングには治療計画が必要であり、専門家の下でプランニングを行う必要があります。
ホワイトニングは医療行為であり、医療従事者の在籍していないサロン等では有効成分である過酸化尿素や過酸化水素は使用ができません。ホワイトニング効果は限定的です。
ホワイトニングを海外より個人輸入するケースを耳にしますが、専門家としては推奨ができません。
1. 成分・濃度の安全性が不明
海外製品は日本で承認されていない高濃度の過酸化水素・過酸化尿素を含むものも存在します。
粘膜刺激や歯髄炎、重度の知覚過敏や化学的熱傷のリスクがあります。
2. 使用法が不明確
説明書が外国語で、使用時間や回数、適応範囲の誤解が生じやすく、自己流での使用によりトレーの不適合・不均一な薬剤分布が生じやすい。
3. トラブル時に医療対応が遅れる
炎症や疼痛が出現しても、原因が特定しづらく、歯科医院での対応は困難です。自己責任となってしまいます。
4. 責任の所在が曖昧
日本国内で医薬品医療機器等法(薬機法)の規制対象外となるため、品質保証や補償が受けられません。
そのため、ホワイトニングは専門家の在籍する歯科クリニックで受診なさって下さい。
治療料金と治療回数
- ホワイトニング併用:¥22,000〜¥44,000(税込)
- 治療回数:ご相談・施術・経過観察が必要です。。
- 推奨年齢:基本的には歯のエナメル質の成熟した18歳以上の方を対象としています。
~当院のご紹介~
門前仲町髙木歯科では、智歯抜歯・歯列矯正・虫歯治療・ホワイトニング・ホワイトスポット治療・セラミック治療・ダイレクトボンディングまで、各専門医による診療を受けることが可能です。
日本総合歯科学会指導医、日本歯科審美学会認定医、日本口腔外科学会専門医、日本矯正歯科学会認定医が在籍しております。
アクセス
- 所在地:江東区門前仲町駅・木場駅・越中島駅から徒歩10分以内。
- 駐車場:地下にクリニックモール用の駐車場がございます。東京駅、銀座駅、豊洲や有明からもご通院可能です。東京駅から車で10分程、豊洲駅からは5分です。
- 遠方からお越しの場合:東京駅よりタクシーで10分程でご通院いただけます。
ご相談・お問い合わせ
ホワイトスポットの治療についてご相談をご希望の方は、当院までお気軽にお問い合わせください。
歯医者、歯の色、ホワイトスポット・ブラウンスポット、ダイレクトボンディングやセラミック等の審美治療でお困りの方は門前仲町髙木歯科へお気軽にお問い合わせください。
執筆者:門前仲町髙木歯科 院長 髙木仲人
投稿日:2025年7月9日
ホワイトスポット治療、ICON(アイコン)治療とダイレクトボンディング
門前仲町髙木歯科|ICONを併用したホワイトスポット治療
江東区の門前仲町駅・木場駅・越中島駅から徒歩10分以内の門前仲町髙木歯科です。遠方よりお越しの方は東京駅よりお車で10分程で通院が可能です。
院長の髙木は国立大学法人徳島大学再生歯科治療学保坂啓一教授のご指導の下、ホワイトスポットの研究、学会発表・セミナー発表、専門誌への執筆を行っております。一般社団法人 日本歯科審美学会認定医、日本総合歯科学会指導医でもあり、患者様に合わせたテーラーメイドでのホワイトスポット治療・ブラウンスポット治療・デンタルホワイトニング・セラミック治療・ダイレクトボンディングのご相談が可能です。
ホワイトスポット治療における日本の現状
ホワイトスポットの治療は、いまだ日本においては正しい審査・診断と治療方法が普及していません。そのため、適切な治療を受けられずに悩まれている患者様も多くいらっしゃいます。
ホワイトスポットの原因
ホワイトスポット病変とは、う蝕による欠損を伴わない、脱灰に伴う初期病変です。
主な原因として表層脱灰と表層下脱灰があります。
1:表層脱灰 エナメル質が酸の影響で溶出している。
原因として清掃不良に伴う長期のプラークの停滞。マルチブラケットシステムによる歯列矯正による清掃不良。
2:表層下脱灰 エナメル質の表層直下の層が酸の影響をうけて脱灰している。→典型的なホワイトスポットとして観察される。
その他の原因として
歯牙フッ素症
諸外国ではウォーターフロリデーションと呼ばれる取り組みにより、水道水に高濃度のフッ素が添加され、う蝕予防に役立っている。その反面、歯の形成期に高濃度のフッ素を歯に取り込むことにより歯の表面に白色や茶色の斑点ができることがある。海外ではメジャーなWSLの原因であるが、日本で発症することは考えにくい。
エナメル質形成不全
歯の形成期にかかった病気や栄養状態の不良、遺伝性疾患により歯の表面のエナメル質が上手く作られなかった状態です。虫歯ではありませんが、エナメル質が正常に作られなかったため結晶構造が変化しており、光の屈折率が異なり白く見える。白色~茶色とカラーバリエーションがあります。
MIH(Molar Incisor Hypomineralization)
前歯と第一大臼歯に原局して発症するエナメル質形成不全です。諸外国では広く知られているWSL病変ですが、日本での認知度は低い。一方で日本における大規模調査において7〜12歳の罹患率は11.9%と諸外国と比較しても同程度の罹患率があるため、国内の周知が必要である。原因は確定的ではないが、エナメル質形成時のビタミンDの不足を指摘する研究もあります。
エナメル質形成不全(MIH)―わが国におけるMIH発症に関する大規模調査から
J Headlth Care Dent.2014;14:6-12.
科学研究費助成事業 Vitamin D regulates dentalepithelical cell differentiation and enamel formation 平成30年5/18
マルチブラケットシステムによる歯列矯正後のホワイトスポット
固定式装置を装着することにより、矯正治療を受診している患者の68.4%に、ホワイトスポットが発生したという研究報告もあります。
※参考文献:
Sundararaj D, et al. Critical evaluation of incidence and prevalence of white spot lesions during fixed orthodontic appliance treatment: A meta-analysis. J Int Soc Prev Community Dent.
ICON治療とは?
ICON(アイコン)は、削らずにホワイトスポットを改善できる治療法です。低粘度のレジン(樹脂)をエナメル質に浸透させ、ホワイトスポットを目立たなくすることで、自然な歯の色調を取り戻すことができます。削らずに治療できるため、痛みはほとんどなく、歯質を守りながら審美的な改善が可能です。
ICON治療のメリットとデメリット
メリット:
- 歯を削らずに治療することが可能です
- 痛みはほとんど、ありません。
- 自然な見た目を取り戻せる。
- 症例によってはコンポジットレジン修復を行うよりも、再現性が高い審美歯科治療が可能です。
デメリット:
- 全てのホワイトスポットに対応できるわけではありません。深いホワイトスポットの症例にはダイレクトボンディングを併用することがあります。
- メンテナンス不足では早期にICONレジンに着色が発生する可能性があります。
- 保険診療ではありません、自費治療となります。
ICON治療の流れ
審査・診断:お困りの症状をカウンセリングさせて頂きます。ホワイトスポットの原因や状態を診断し、ICON治療が適切かを判断します。
ICON治療:レジンを浸透させる処置を行います。痛みはほとんど伴いません。
経過観察:治療後の状態を確認し、必要に応じてフォローアップを行います。
合計3回の来院が必要です。
ダイレクトボンディングについて
■ マイクロスコープの使用によるメリット
1. 視野の拡大と明瞭化
-
高倍率(最大20倍程度)での観察により、歯質の境界、マージン部の段差、マイクロクラック、気泡の混入などを明瞭に把握可能。
-
特にエナメル質と象牙質の境界や、辺縁隆線・隣接面形態の再現が求められる場合に有効。
2. 精密な形成・築盛・研磨操作が可能
-
細部までコントロール可能な視認性により、レジンの築盛操作や表面形態の再現の精度が向上。
-
特に審美性が求められる前歯部や、隣接面接触点の形成など繊細な処置に有用。
■ ラバーダム防湿下での処置のメリット
1. 湿度・唾液・血液からの隔離による接着性向上
-
コンポジットレジン修復では、接着面の湿潤は接着阻害要因となるため、完全な乾燥環境を確保できるラバーダムは接着成功の必須条件。
-
特に象牙質との接着(ハイブリッドレイヤー形成)において、湿潤環境下では未重合レジン層の形成など不良接着の原因となる。
2. 術野の視認性・操作性の向上
-
軟組織や唇・舌の干渉を排除し、術野の視認性と操作性を大幅に向上させる。
-
唾液の再流入や血液による汚染のリスクも排除可能。
3. 感染対策と再発防止
-
ラバーダムの使用により、口腔内常在菌の術野への侵入が防がれ、う蝕の再発や修復物周囲の微小漏洩のリスクを軽減。
-
とくに深部象牙質や象牙細管が露出している症例では必須。
実際のICON症例を提示させて頂きます。(患者さんからの同意を得て写真を掲載しています)

前歯の切縁にはホワイトスポットが確認できます。歯と歯の間には適合の悪いコンポジットレジン(保険の白い詰物)が充填されています。
ホワイトスポットは削らずにICON(アイコン)治療を行うこととし、歯の間の詰め物は歯肉へのはみ出しも確認されたため、マイクロスコープとラバーダム防湿を使用したダイレクトボンディングを併用することとしました。

ラバーダム防湿を行い、ICON治療を行っていきます。

マイクロスコープを使用してダイレクトボンディングを行っていきます。

最終研磨時の口腔内写真です。
歯を一切削ることなくホワイトスポット治療を行うことができました。
不適合な修復物はマイクロスコープを使用してダイレクトボンディングを行ったことで最小限の切削介入で治療を行うことが可能です。
歯の本来もつ美しい、透明感のある色調に改善ができました。患者さん、術者共に削らずに綺麗になったことを喜んだ記憶があります。
ICON治療のメリットは
・歯を削らずにホワイトスポットを消すことができる
・患者さん本来の歯の色、透明感を再現できる
ということにあります。もし、このホワイトスポットをダイレクトボンディングで再現しようとるすと、歯科医師にはかなりのスキルの習熟と才能が求められます。
オールセラミッククラウンやべニア等のセラミック治療では、あまりにも多くの歯を削る必要があるため歯の健康寿命を考えると行うべきではありません。
ICON治療の現状と門前仲町髙木歯科の強み
多くの歯科医院ではICON(アイコン)治療を行っていません。またホワイトスポットとブラウンスポットに対する歯科医師の認知も十分ではありません。ICON治療の使用法を熟知している歯科医師の数は相当に限られています。
院長の髙木仲人はアイコン治療についての研究を行い、歯科医師向けの雑誌での寄稿やホワイトスポット治療の講演も行っています。また、日本歯科審美学会認定医でもありますので、安心してホワイトスポット治療、ブラウンスポット治療を受診なさってください。

治療料金と治療回数
- アイコン治療:1歯 ¥66,000(税込)
- 症例写真提供不可の場合:1歯 ¥88,000(税込)
- ホワイトニング併用:¥22,000〜¥44,000(税込)
- 治療回数:ご相談・施術・経過観察の合計で約3回の治療が必要です。
- 推奨年齢:年齢制限はありませんが、基本的には15歳以上の方を対象としています。
- ダイレクトボンディング1歯¥77000(税込)
~当院のご紹介~
門前仲町髙木歯科では、智歯抜歯・歯列矯正・虫歯治療・ホワイトニング・ホワイトスポット治療・セラミック治療・ダイレクトボンディングまで、各専門医による診療を受けることが可能です。
日本総合歯科学会指導医、日本歯科審美学会認定医、日本口腔外科学会専門医、日本矯正歯科学会認定医が在籍しております。
アクセス
- 所在地:江東区門前仲町駅・木場駅・越中島駅から徒歩10分以内。
- 駐車場:地下にクリニックモール用の駐車場がございます。東京駅、銀座駅、豊洲や有明からもご通院可能です。東京駅から車で10分程、豊洲駅からは5分です。
- 遠方からお越しの場合:東京駅よりタクシーで10分程でご通院いただけます。
ご相談・お問い合わせ
ホワイトスポットの治療についてご相談をご希望の方は、当院までお気軽にお問い合わせください。
アクセスはこちらです↓
https://www.takagi-dc.net/access.html
ホワイトスポット治療専用相談フォームはこちらをタップして下さい
歯医者、歯の色、ホワイトスポット・ブラウンスポット、ダイレクトボンディングやセラミック等の審美治療でお困りの方は門前仲町髙木歯科へお気軽にお問い合わせください。
執筆者:門前仲町髙木歯科 院長 髙木仲人
投稿日:2025年6月16日
門前仲町髙木歯科|ICONを併用したホワイトスポット治療
江東区の門前仲町駅・木場駅・越中島駅から徒歩10分以内の門前仲町髙木歯科です。遠方よりお越しの方は東京駅よりお車で10分程で通院が可能です。
院長の髙木は国立大学法人徳島大学再生歯科治療学保坂啓一教授のご指導の下、ホワイトスポットの研究、学会発表・セミナー発表、専門誌への執筆を行っております。一般社団法人 日本歯科審美学会認定医、日本総合歯科学会指導医でもあり、患者様に合わせたテーラーメイドでのホワイトスポット治療・ブラウンスポット治療・デンタルホワイトニング・セラミック治療・ダイレクトボンディングのご相談が可能です。
ホワイトスポット治療における日本の現状
ホワイトスポットの治療は、いまだ日本においては正しい審査・診断と治療方法が普及していません。そのため、適切な治療を受けられずに悩まれている患者様も多くいらっしゃいます。
ホワイトスポットの原因
ホワイトスポット病変とは、う蝕による欠損を伴わない、脱灰に伴う初期病変です。
主な原因として表層脱灰と表層下脱灰があります。
1:表層脱灰 エナメル質が酸の影響で溶出している。
原因として清掃不良に伴う長期のプラークの停滞。マルチブラケットシステムによる歯列矯正による清掃不良。
2:表層下脱灰 エナメル質の表層直下の層が酸の影響をうけて脱灰している。→典型的なホワイトスポットとして観察される。
その他の原因として
歯牙フッ素症
諸外国ではウォーターフロリデーションと呼ばれる取り組みにより、水道水に高濃度のフッ素が添加され、う蝕予防に役立っている。その反面、歯の形成期に高濃度のフッ素を歯に取り込むことにより歯の表面に白色や茶色の斑点ができることがある。海外ではメジャーなWSLの原因であるが、日本で発症することは考えにくい。
エナメル質形成不全
歯の形成期にかかった病気や栄養状態の不良、遺伝性疾患により歯の表面のエナメル質が上手く作られなかった状態です。虫歯ではありませんが、エナメル質が正常に作られなかったため結晶構造が変化しており、光の屈折率が異なり白く見える。白色~茶色とカラーバリエーションがあります。
MIH(Molar Incisor Hypomineralization)
前歯と第一大臼歯に原局して発症するエナメル質形成不全です。諸外国では広く知られているWSL病変ですが、日本での認知度は低い。一方で日本における大規模調査において7〜12歳の罹患率は11.9%と諸外国と比較しても同程度の罹患率があるため、国内の周知が必要である。原因は確定的ではないが、エナメル質形成時のビタミンDの不足を指摘する研究もあります。
エナメル質形成不全(MIH)―わが国におけるMIH発症に関する大規模調査から
J Headlth Care Dent.2014;14:6-12.
科学研究費助成事業 Vitamin D regulates dentalepithelical cell differentiation and enamel formation 平成30年5/18
マルチブラケットシステムによる歯列矯正後のホワイトスポット
固定式装置を装着することにより、矯正治療を受診している患者の68.4%に、ホワイトスポットが発生したという研究報告もあります。
※参考文献:
Sundararaj D, et al. Critical evaluation of incidence and prevalence of white spot lesions during fixed orthodontic appliance treatment: A meta-analysis. J Int Soc Prev Community Dent.
ICON治療とは?
ICON(アイコン)は、削らずにホワイトスポットを改善できる治療法です。低粘度のレジン(樹脂)をエナメル質に浸透させ、ホワイトスポットを目立たなくすることで、自然な歯の色調を取り戻すことができます。削らずに治療できるため、痛みはほとんどなく、歯質を守りながら審美的な改善が可能です。
ICON治療のメリットとデメリット
メリット:
- 歯を削らずに治療することが可能です
- 痛みはほとんど、ありません。
- 自然な見た目を取り戻せる。
- 症例によってはコンポジットレジン修復を行うよりも、再現性が高い審美歯科治療が可能です。
デメリット:
- 全てのホワイトスポットに対応できるわけではありません。深いホワイトスポットの症例にはダイレクトボンディングを併用することがあります。
- メンテナンス不足では早期にICONレジンに着色が発生する可能性があります。
- 保険診療ではありません、自費治療となります。
ICON治療の流れ
審査・診断:お困りの症状をカウンセリングさせて頂きます。ホワイトスポットの原因や状態を診断し、ICON治療が適切かを判断します。
ICON治療:レジンを浸透させる処置を行います。痛みはほとんど伴いません。
経過観察:治療後の状態を確認し、必要に応じてフォローアップを行います。
合計3回の来院が必要です。
実際のICON症例を提示させて頂きます。(患者さんからの同意を得て写真を掲載しています)

患者さんは20代の方です。小さい頃から前歯の白いしみが気になっていた。調べてみたら、前歯の白いしみはホワイトスポットと呼ばれていることを知った。ICON(アイコン)で削らずに治療をしたい、との主訴に来院されました。
患者さんは若年者であり、術者としてもこの歯を削ることには強い抵抗があります。かつ、非常に透明感の強い美しい歯です。削ってコンポジットレジン修復でこの歯の色、透明感を再現するのは非常に困難です。そのため、ホームホワイトニングで歯の色調の改善を図り、ICON治療を併用することとしました。
通院回数を減らすため、ユニバーサルトレータイプのホームホワイトニングであるオパールエッセンスGoを使用します。

Opalescence_Go_Mint and Mint_3D

ホームホワイトニング後の口腔内写真です。
歯の明度が上昇し、更にホワイトスポットの範囲が明確になりました。この後にICON(アイコン)治療を行っていきます。
ICON(アイコン)治療後の口腔内写真です
歯の本来もつ美しい、透明感のある色調に改善ができました。患者さん、術者共に削らずに綺麗になったことを喜んだ記憶があります。
ICON治療のメリットは
・歯を削らずにホワイトスポットを消すことができる
・患者さん本来の歯の色、透明感を再現できる
ということにあります。もし、このホワイトスポットをダイレクトボンディングで再現しようとるすと、歯科医師にはかなりのスキルの習熟と才能が求められます。
オールセラミッククラウンやべニア等のセラミック治療では、あまりにも多くの歯を削る必要があるため歯の健康寿命を考えると行うべきではありません。
ICON治療の現状と門前仲町髙木歯科の強み
多くの歯科医院ではICON(アイコン)治療を行っていません。またホワイトスポットとブラウンスポットに対する歯科医師の認知も十分ではありません。ICON治療の使用法を熟知している歯科医師の数は相当に限られています。
院長の髙木仲人はアイコン治療についての研究を行い、歯科医師向けの雑誌での寄稿やホワイトスポット治療の講演も行っています。また、日本歯科審美学会認定医でもありますので、安心してホワイトスポット治療、ブラウンスポット治療を受診なさってください。

治療料金と治療回数
- アイコン治療:1歯 ¥66,000(税込)
- 症例写真提供不可の場合:1歯 ¥88,000(税込)
- ホワイトニング併用:¥22,000〜¥44,000(税込)
- 治療回数:ご相談・施術・経過観察の合計で約3回の治療が必要です。
- 推奨年齢:年齢制限はありませんが、基本的には15歳以上の方を対象としています。
~当院のご紹介~
門前仲町髙木歯科では、智歯抜歯・歯列矯正・虫歯治療・ホワイトニング・ホワイトスポット治療・セラミック治療・ダイレクトボンディングまで、各専門医による診療を受けることが可能です。
日本総合歯科学会指導医、日本歯科審美学会認定医、日本口腔外科学会専門医、日本矯正歯科学会認定医が在籍しております。
アクセス
- 所在地:江東区門前仲町駅・木場駅・越中島駅から徒歩10分以内。
- 駐車場:地下にクリニックモール用の駐車場がございます。東京駅、銀座駅、豊洲や有明からもご通院可能です。東京駅から車で10分程、豊洲駅からは5分です。
- 遠方からお越しの場合:東京駅よりタクシーで10分程でご通院いただけます。
ご相談・お問い合わせ
ホワイトスポットの治療についてご相談をご希望の方は、当院までお気軽にお問い合わせください。
アクセスはこちらです↓
https://www.takagi-dc.net/access.html
ホワイトスポット治療専用相談フォームはこちらをタップして下さい
歯医者、歯の色、ホワイトスポット・ブラウンスポット、ダイレクトボンディングやセラミック等の審美治療でお困りの方は門前仲町髙木歯科へお気軽にお問い合わせください。
執筆者:門前仲町髙木歯科 院長 髙木仲人
投稿日:2025年6月10日