ワイヤー矯正症例

症例

前歯のブラケット矯正

主訴 開咬が気になる。
治療期間 2年間
治療費 精密検査 44,000円(税込)
成人矯正 770,000円(税込)
調整料金 5,500円(税込)
治療内容 マルチブラケットシステムによる歯列矯正を行い、小臼歯は非抜歯で治療を行った。
治療のリスク 後戻り防止のリテーナーを装着しないと、
歯並びが後戻りをすることがある。
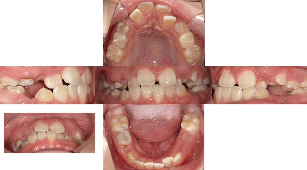
主訴 下顎前突が気になる。
治療費 精密検査 44,000円(税込)
成人矯正 770,000円(税込)
調整料金 5,500円(税込)
治療内容 上顎前方牽引装置を用いて治療を行った。
治療のリスク 後戻り防止のリテーナーを装着しないと、
歯並びが後戻りをすることがある。
主訴 開咬が気になる。
治療費 精密検査 44,000円(税込)
成人矯正 770,000円(税込)
調整料金 5,500円(税込)
治療内容 マルチブラケットシステムによる歯列矯正を行い、小臼歯を抜歯して治療を行った。
治療のリスク 後戻り防止のリテーナーを装着しないと、
歯並びが後戻りをすることがある。
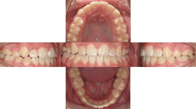
主訴 叢生(デコボコ)が気になる。
治療費 精密検査 44,000円(税込)
成人矯正 770,000円(税込)
調整料金 5,500円(税込)
治療内容 マルチブラケットシステムによる
歯列矯正を行った。
治療のリスク 後戻り防止のリテーナーを装着しないと、
歯並びが後戻りをすることがある。
主訴 叢生(デコボコ)が気になる。
治療費 精密検査 44,000円(税込)
成人矯正 770,000円(税込)
調整料金 5,500円(税込)
治療内容 マルチブラケットシステムによる
歯列矯正を行った。
治療のリスク 後戻り防止のリテーナーを装着しないと、
歯並びが後戻りをすることがある。
主訴 前歯を綺麗にしたい。
治療期間 2年間
治療費 ワイヤー矯正 770,000円(税込)
月に1度調整が必要5,500円(税込)
治療内容 日本矯正歯科学会認定により抜歯を伴う全顎矯正を行なった。
う蝕治療・歯並びの治療を主訴に来院。
う蝕治療後、上顎前突と診断し、インプラントアンカーを併用したマルチブラケットシステムによる歯列矯正を行ない、2年後歯列矯正後のブラケット除去。
着色とホワイトスポットが確認できたため、
オパールストラを使用することとした。
治療のリスク リテーナーを装着しないと、
後戻りすることがある。

前歯のブラケット矯正

ワイヤー矯正により
前歯部の歯列不正の改善を図った

主訴 前歯を綺麗な歯並びにしたい。
治療期間 1年
治療費 部分矯正 330,000円(税込)
調整代金 5,500円(税込)
リテーナー 55,000円(税込)
治療のリスク リテーナーを装着しないと、
後戻りすることがある。
100%思った通りに並ぶとは限らない。

矯正治療前に下アングルから撮影した口腔内写真です。前歯が外側に傾いていることがわかります。

調整の際、ご本人の希望によりホワイト・ピンク・水色のカラフルなゴムを装着後の正面の口腔内写真です。

調整の際、ご本人の希望によりパープル・ピンク・水色のカラフルなゴムを装着後の正面の口腔内写真です。

矯正治療後の咬合面の口腔内写真です。歯並びのラインが整ったことがわかります。

舌側矯正

目立ちにくい舌側矯正を行なった

主訴 歯並びを綺麗にしたい。
目立ちにくい方法で治療したい。
治療期間 1〜2年
治療費 1,320,000円(税込)
治療のリスク リテーナーを装着しないと、
後戻りすることがある。

小児矯正

主訴 歯並びを治したい。
治療期間 1年半
治療費 精密検査44,000円
矯正代金385,000円
調整料金1来院につき5,500円(税込)
治療内容 歯列不正が認められたため日本矯正歯科学会認定医により、
小児矯正を行なった。
上顎前方牽引装置→ワイヤー矯正
治療のリスク リテーナーを装着しないと、
後戻りすることがある。
骨の成長発育により、2次矯正(成人矯正)が
必要になることがある。

小児矯正と成人矯正

主訴 歯並びを綺麗にしたい。
治療期間 3年
治療費 矯正代金770,000円(税込)
治療内容 小児矯正と成人矯正を行ない健康的な歯並びを手に入れることができた。

Reservation各治療に特化したエキスパートにお任せください

  • 自分に合うのはどの治療なの?
  • ネットの情報だけじゃわからない
  • しっかりと話し合って決めたい
  • ネットの情報だけじゃわからない
  • 実績あるドクターを探してる

お気軽にご相談ください、
あなたに合う治療を
ご一緒に探していきましょう!

Information診療のご案内

  • ご予約・診療時間

    診療時間
    10:00-13:00
    14:30-19:00

    休診日:木曜・日曜・祝日
    土曜日午後は14:00-18:00
    ※診療時間は変更になる場合がございます。

  • アクセス

    門前仲町髙木歯科 monzennakacho takagi dental clinic

    〒135-0045
    東京都江東区古石場2丁目14-1
    ウェルタワー深川105

  • 電車でお越しの方
    • 東京メトロ東西線・大江戸線「門前仲町駅」…徒歩8分
    • 東京メトロ東西線「木場駅」…徒歩9分
    • JR京葉線「越中島駅」…徒歩10分
    お車でお越しの方
    クリニックモール用の地下駐車場が6台ございます。
    (1時間100円、お支払いはSuica・PASMOのみ対応)