セラミックによる
虫歯治療について

セラミックによる
虫歯治療について

セラミック:e-max(二ケイ酸リチウムガラスセラミック)

セラミック:e-max
(二ケイ酸リチウムガラスセラミック)

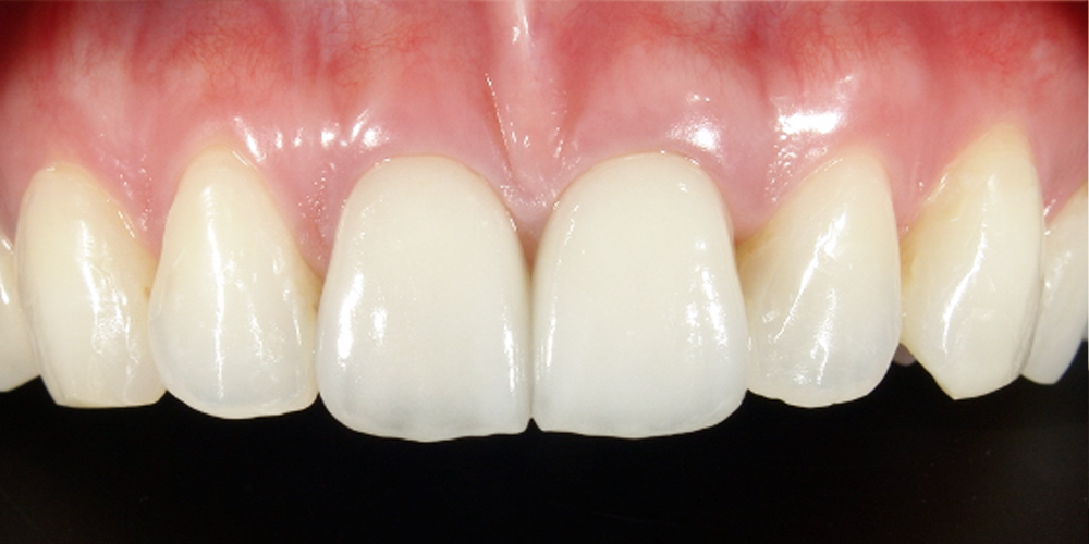
単体でも十分に美しい歯を再現できますが、陶材を焼き付けることでより美しい天然の歯のように再現することが可能です。

ジルコニア(酸化ジルコニウム)

ジルコニア(酸化ジルコニウム)

セラミックに比べると2~3倍程の硬さがあります。透明感がない素材のため、審美領域である前歯に1本だけ装着する等の治療には向いていません。 奥歯に装着する程度であれば透明感のなさはそこまで気にならず、セラミックより価格を抑えることができます。 表面の滑沢性により、プラークや汚れがつきにくいのはどちらも同じです。以上の2つの素材を使い分けています。

セラミックによる
虫歯治療がおすすめの方

  • 銀歯の色が気になる方
  • 金属アレルギーがある方
  • 自分の歯の色、歯並びが気になる方
  • 綺麗な歯にしたい方

当院の虫歯治療の
特徴について

当院の虫歯治療の特徴について
  1. 短期間で治療完了
  2. 短期間で歯の色、歯並びの改善ができる
  3. 日本歯科審美学会会員の歯科医師が診療することにより、美しい歯の再現ができる
  4. 日本接着歯学会会員の歯科医師が診療するため詰め物、被せものがとれにくい
  5. 院長は徳島大学大学院再生歯科治療学分野にて勉強・研究を行なっているため最新の知識・技術を提供することができる

保険治療との違い

  • 保険の白い詰め物はコンポジットレジン修復が多く、経年劣化がある
  • 保険の白い被せものはプラスチックを圧縮したブロックをコンピューター制御で削り出して作成しているもののため脱離しやすい
  • 保険の前歯は銀歯に白いプラスチックを張り付けているもののため、経年劣化により見た目が悪くなる。また銀歯の色が透けて見えてくる
  • 保険の銀歯は合金であり金属アレルギーを引き起こすことがある。→掌蹠膿疱症、白板症、口腔扁平苔癬等

セラミックによる虫歯治療の
メリット・デメリット

セラミックによる虫歯治療のメリット・デメリット

メリット

天然の歯と同じような美しい歯

セラミックの歯は周りの歯に色を合わせることができるので、どの歯がセラミックなのか分からない程自然な仕上がりにすることができます。保険の白い歯では透明感を作れないので、歯の透明感も再現できるのはセラミックの優れた点です。

生体親和性がいい(身体に優しい)

金属の歯と違い、金属イオンの放出がないので金属アレルギーの心配がありません。プラークや汚れも付着しにくいので歯肉にも優しい材料です。

歯・歯肉の色を変色させない

陶材焼付鋳造冠(銀歯の上にセラミックを焼き付けたもの)などの金属を使用すると歯茎が下がった時に金属の色が見えてきて黒く見えることがあります。セラミックは金属を全く使用していないため、歯肉の色が変わることはありません。

虫歯の再発防止
~虫歯になりにくい~

金属治療だと金属イオンの放出、コンポジットレジン修復だと吸水性があるためどちらも材料自体の劣化があります。セラミックにはこれらの材料の劣化がないので虫歯になりにくいです。 また、装着するセメントの種類が接着性能を有するレジンセメントで装着するため詰め物と自分の歯の隙間からの虫歯にもなりにくいです。

デメリット

  • 全ての症例に治療が可能というわけではない
  • 硬くて丈夫なセラミックでも
    割れてくることはある
  • 歯の切削量によっては痛みが出てきたりして歯の神経をとらなければいけないかもしれない
  • 長持ちはするが永続的なものではない

施術の流れ

  1. ご相談 3,300円(税込) お悩みやお困り事をお伺いします。理想の歯の色、形態についてお気軽にご相談ください。セラミック治療においては歯並び、噛み合わせ、歯の神経の大きさ等を踏まえて慎重に治療をしていかなければならないので正確に診断する必要があります。またご自身にはセラミック、ジルコニアどちらが適しているのか等もご説明をさせていただきます。 ご相談
  2. プロビジョナルレストレーション 被せものにする必要があるケースでは歯の形を整えて、仮歯を装着し理想の歯の形をご一緒に考えていきましょう。ご満足いただける形が決定したら精密な型どりをさせていただきます。 プロビジョナルレストレーション
  3. 装着 色、形を最終的に決めさせていただき、ご満足いただけましたらセラミックを装着していきます。
    院長は日本歯科審美学会会員、日本接着歯学会会員でありかつ徳島大学大学院に所属をしており最新の情報、手技を獲得しておりますので、ご安心ください。 装着

症例

審美修復 CASE1

症例
症例
主訴歯を白くしたい。
歯並びが気になる
治療期間2ヶ月
治療費ホームホワイトニング 44,000円(税込)
ダイレクトボンディング1歯 33,000円(税込)
セラミッククラウン1本 110,000円(税込)
治療内容ホームホワイトニングを行ない、ご自身の歯が白くなったところでセラミッククラウン、ダイレクトボンディングにより審美治療を行ない歯の色の改善、歯並びの改善を行なえた。
治療のリスクホワイトニングを行なった部位は、後戻りすることがある。

審美修復 CASE2

症例
症例
主訴前歯を綺麗にしたい
治療期間2ヶ月
治療費ホームホワイトニング 44,000円(税込)
セラミッククラウン1歯 110,000円(税込)
治療内容ホームホワイトニングを行ない、歯を白くホワイトニングしてから、不適合な被せ物を外し、仮歯で歯の形態を模索してからセラミッククラウンにした。
治療のリスク完全な左右対称にすることは難しい。
ホワイトニングした歯は後戻りすることがある。

審美修復 CASE3

症例
症例
主訴前歯を綺麗にしたい
治療期間3ヶ月
治療費ホームホワイトニング44,000円
セラミッククラウン110,000円
コンポジットレジン修復保険診療の範囲内
治療内容コンポジットレジン修復を行ないホームホワイトニングを行なっていただき歯が、白くなった時点で左上にはセラミッククラウンを装着した。
治療のリスクホワイトニングした部位は、
後戻りすることがある。
陶器のような白さにはならない。

審美修復 CASE4

症例
症例
症例
症例
主訴前歯を綺麗にしたい
治療期間4ヶ月
治療費ホームホワイトニング 44,000円(税込)
セラミッククラウン1歯 110,000円(税込)
治療内容ホワイトニングを行ない前歯の古い被せ物を借歯に置き換え、 歯肉の安定を待ってセラミッククラウンにした。
治療のリスク歯の傾きによっては神経をとることがある。
破折等のリスクがある。

虫歯を放置する危険性

歯は外からの刺激に対しては高い防御力があります。これはエナメル質が高度な石灰化をしているからです。虫歯を放置するとエナメル質が崩壊し内部にある象牙質が露出します。象牙質にはコラーゲン繊維や水分が豊富でエナメル質に比較するとその石灰化度は3分の2程度です。

そのため虫歯に対する抵抗性は低く、気がつくと歯の崩壊→抜歯するしかない。となってしまいますので、大切な歯を守るためにも虫歯は放置せず、早期発見早期治療が大切です。

セラミックによる虫歯治療に
関するよくあるご質問

セラミックによる虫歯治療に関するよくあるご質問

セラミックに変えれば
歯茎の変色もなくなりますか?

歯茎の変色が銀歯の透過性によるものであれば改善します。メタルタトゥー(金属を削ったときの金属切削片が歯肉食い込んだもの)は歯肉の手術をしないと治りません。

銀歯にすると銀歯の下に虫歯になることがあると聞きましたが、
セラミックにすれば虫歯になることはありませんか?

セラミックはプラークの付着のしにくさ、装着するときのセメントが歯質接着性のあるセメントを使用するため詰め物と自分の歯の隙間からの虫歯になりにくいです。 虫歯になりにくく、寿命は銀歯より長くなることが多いです。

妊娠中でもセラミックによる
虫歯治療は可能ですか?

可能です。安定期でしたら安全性の高い麻酔を使用することでセラミック治療を受診することができます。

仕事が忙しく通院する時間がなかったため数年以上虫歯を放置していました。歯はボロボロになり、ほとんどの歯が溶けて根元くらいしか残っていないのですが治療はできますか?

根管治療、咬合の再構築(噛み合わせの治療)を併用すれば治療は可能です。治療期間は長期化するかもしれませんが根気強く治療を継続することが大切です。

料金表

料金表

詰め物

セラミックインレー
(e-max)
66,000円(税込)
ジルコニアインレー 66,000円(税込)

被せもの

フルジルコニアクラウン 88,000円(税込)
フルジルコニアクラウン
(グラデーションブロック)
88,000円(税込)
セラミッククラウン 132,000円(税込)
ジルコニアクラウン
(レイヤリング)
165,000円(税込)

Reservation各治療に特化したエキスパートにお任せください

  • 自分に合うのはどの治療なの?
  • ネットの情報だけじゃわからない
  • しっかりと話し合って決めたい
  • ネットの情報だけじゃわからない
  • 実績あるドクターを探してる

お気軽にご相談ください、
あなたに合う治療を
ご一緒に探していきましょう!

Information診療のご案内

  • ご予約・診療時間

    診療時間
    10:00-13:00
    14:30-19:00

    休診日:木曜・日曜・祝日
    土曜日午後は14:00-18:00
    ※診療時間は変更になる場合がございます。

  • アクセス

    門前仲町髙木歯科 monzennakacho takagi dental clinic

    〒135-0045
    東京都江東区古石場2丁目14-1
    ウェルタワー深川105

  • 電車でお越しの方
    • 東京メトロ東西線・大江戸線「門前仲町駅」…徒歩8分
    • 東京メトロ東西線「木場駅」…徒歩9分
    • JR京葉線「越中島駅」…徒歩10分
    お車でお越しの方
    クリニックモール用の地下駐車場が6台ございます。
    (1時間100円、お支払いはSuica・PASMOのみ対応)