ホワイトスポット
症例

日本歯科審美学会
認定医による
ホワイトスポット治療・
ブラウンスポット治療

ご予約・ご相談はこちらから

江東区で唯一の
日本歯科審美学会 認定医

日本歯科審美学会学術大会に定期的に参加し、積極的に発表を行っており、その研鑽を重ねています。試験に合格した歯科医師のみが認定を受け、歯の美しさと機能を重視した最高水準の治療を提供しています。

症例

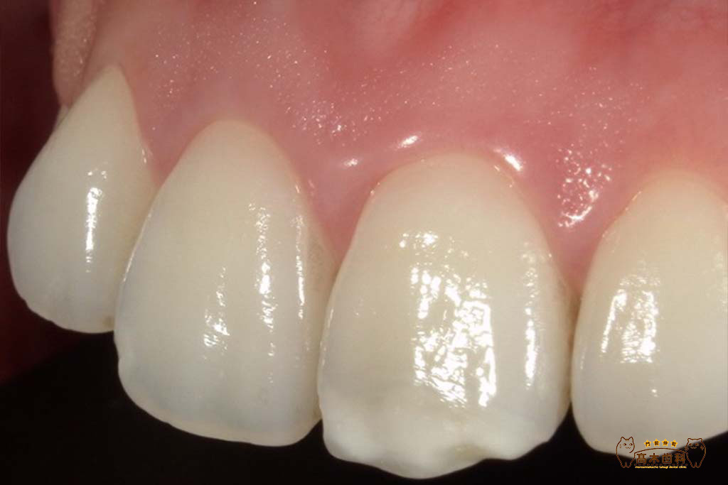
ホワイトスポット(アイコン)治療

治療前
治療後
主訴歯を削らずにホワイトスポットを治療したい。ICON治療を希望。
治療期間3回(相談→アイコン→経過観察)
治療費ホームホワイトニング 
22,000円〜44,000円(税込)
アイコン治療1歯 66,000円(税込)
治療内容歯の色調改善のため、ホームホワイトニングを行い後日ICON治療を行った。
治療のリスクメンテナンスが不足すると、経年的な劣化や着色の可能性がある。

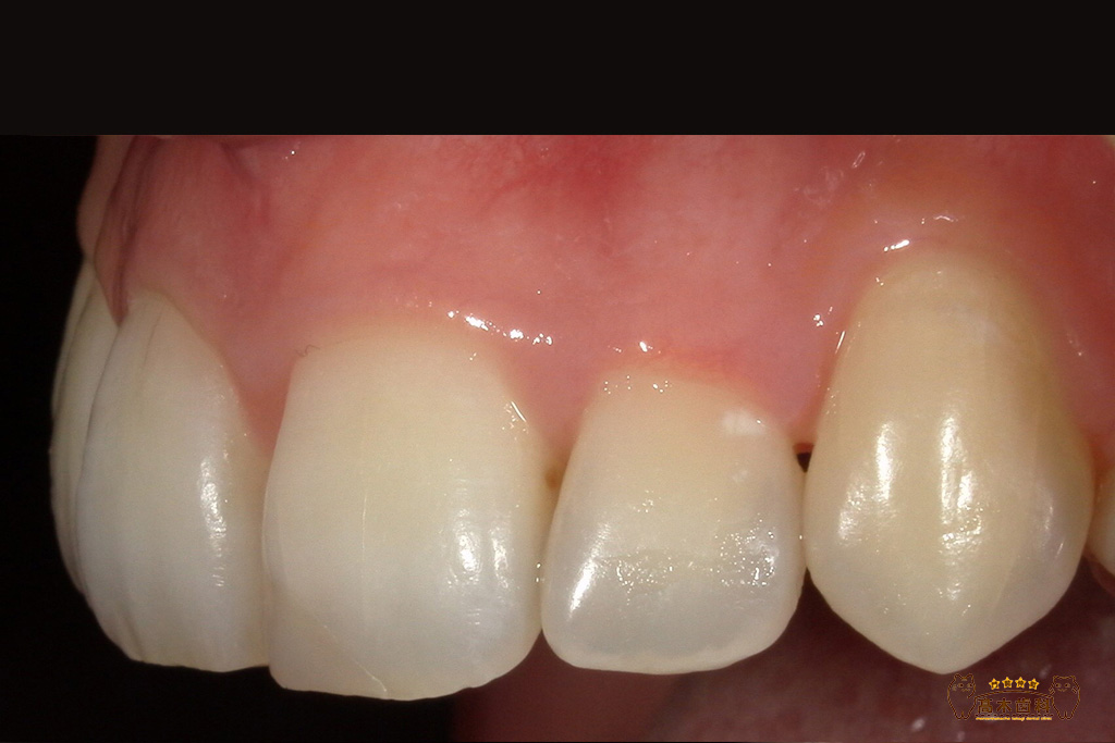
ホワイトスポット(アイコン)治療

治療前
治療後
治療途中
治療途中
主訴ホワイトスポットが気になる。
過剰に歯を削らずに治療をしたい。
治療期間1ヶ月
治療費ホームホワイトニング 44,000円(税込)
レジン浸潤法 1歯 66,000円(税込)
治療内容ホワイトスポット(本症例はホワイトバンド)が
強く、ホームホワイトニングを行い歯の色を
改善した。
表層をわずかに切削し、レジン浸潤法、
コンポジットレジン修復を併用することで
最小限の切削介入で審美改善が行えた。
治療のリスクメインテナンス不足では
早期に後戻りすることがある。

ホワイトスポット(アイコン)・ブラウンスポット治療

治療前
治療後
治療前
治療後
主訴ホワイトスポットとブラウンスポットが気になる。なるべく削らずに治療をしたい。
治療期間ホワイトニング1ヶ月、Icon(アイコン)治療1回
治療費ホームホワイトニング 44,000円(税込)
アイコン-Icon治療1歯 66,000円(税込)
治療内容ホームホワイトニングを行い、ブラウンスポットを改善した後にアイコン(Icon)治療を行った。
エナメル質表層の融解した部位にはダイレクトボンディングを行った。
治療のリスクメインテナンス不足では早期に後戻りすることが考えられる。

ホワイトスポット(アイコン)・
ブラウンスポット治療

治療前
治療後
主訴前歯のホワイトスポット・ブラウンスポットを
削らずに治療したい
治療期間来院4回、2か月
治療費ホームホワイトニング:44,000円(税込)
レジン浸潤法によるホワイトスポット治療 1歯:
66,000円(税込)
治療内容ホワイトスポット、ブラウンスポットに対し
ホームホワイトニング、レジン浸潤法を用いた
ホワイトスポット治療を併用することで
歯を削ることなく審美改善を行った。
治療のリスクメンテナンス不足では早期の着色や後戻りが考えられる。

ホワイトスポット(アイコン)・
ブラウンスポット治療

治療前
治療後
ホワイトニング後
レジン浸潤
主訴前歯の白濁と茶色いシミが気になる
治療期間1か月
治療費ホームホワイトニング:¥44,000円、
レジン浸潤法:¥66,000円(税込)/1歯
治療内容ホワイトスポット、ブラウンスポットに対してホームホワイトニングを行い、
色素を分解した後にレジン浸潤法を行うことで歯を削ることなくホワイトスポット、
ブラウンスポットを
消すことができた。
治療のリスク定期的なメインテナンスを怠ると後戻りが早くなることが考えられる。

ホワイトスポット(アイコン)治療

  • ホワイトスポット(アイコン)治療
  • ホワイトスポット(アイコン)治療
  • ホワイトスポット(アイコン)治療
主訴前歯のホワイトスポットを削らずにICONで治療したい。
治療期間3回(2週間程)
治療費ホームホワイトニング 
22,000円(税込)
アイコン治療1歯 66,000円(税込)
治療内容初診相談と同時にホームホワイトニング開始。ホワイトニングによる色調改善確認後、ICON治療を行った。
治療のリスクメンテナンスが不足すると、経年的な劣化や着色の可能性がある。

ホワイトスポット(アイコン)治療

治療前
治療後
治療途中
治療途中
主訴矯正治療後のホワイトスポットを
削らずに治したい。
治療期間3回
治療費ICONを用いたレジン浸潤法1歯
66,000円(税込)
オパール-ストラを使用した
エナメルマイクロアブレージョン1歯
3,300円(税込)
治療内容マルチブラケットシステムによる歯列矯正後の
ホワイトスポットにオパール-ストラを使用した
エナメルマイクロアブレージョン、
ICONを用いたレジン浸潤法を行い、
歯を削らずにホワイトスポットを
目立ちにくいようにした。
治療のリスクメインテナンスを怠ると
早期に着色や後戻りのリスクがある。

ホワイトスポット(アイコン)治療

治療前
治療後
主訴マルチブラケットシステムによる歯列矯正後のホワイトスポットが気になる。歯を削らずに治したい。
治療期間3回の通院
治療費ホームホワイトニング(オパールエッセンスGo) 
22,000円(税込)
ICON1歯 66,000円(税込)
治療内容マルチブラケットシステムによる歯列矯正後の歯面の粗造感とホワイトスポットに対して、
ホームホワイトニング、エナメルマイクロアブレージョン、ICONを使用したレジン浸潤法で治療をした。
治療のリスクメンテナンス不足では後戻りが早期に発生する。

ホワイトスポット(アイコン)治療

治療前
治療後
主訴ホワイトスポットを削らずにICONで治したい
治療期間3回(相談→アイコン→経過観察)
治療費オパールエッセンスGO(ホームホワイトニング) 
27,500円(税込)
アイコン(ICON)1歯 66,000円(税込)
本症例では2歯のため合計132,000円(税込)
治療内容初回にICON治療のご相談、ホームホワイトニングをスタート。
2回目の来院時にICON治療を行い、3回目の来院時に最終的な研磨を行い術者の終了とした。
治療のリスクメインテナンス不足では早期に浸潤したレジンに着色が発生する可能性がある。

ホワイトスポット(アイコン)治療

主訴ホワイトスポットを削らないで消したい。
治療期間3回(相談→アイコン→経過観察)
治療費アイコン治療1歯 66,000円(税込)
治療内容歯を削らずにアイコン(Icon)を使用してホワイトスポットを治療した。
治療のリスク症例によっては完全に色が消えないことがある。
後戻りすることがある。
ホワイトスポットが強すぎる時にはコンポジットレジン修復やホワイトニングを併用しないといけないこともある。

深度の深いホワイトスポット病変(Deep White Spot Lesion)

主訴前歯のホワイトスポット(白斑)を
アイコンで治療したい
治療期間2回
治療費アイコン治療1歯 66,000円(税込)
ダイレクトボンド(前歯)77,000円(税込)
治療内容歯のホワイトスポットに対してアイコン治療を行った。
深度の深いホワイトスポットのためダイレクトボンドを併用した。
治療の
リスク
メインテナンス不良の場合には色の後戻りが早期に発生することがある。

ホワイトスポット(アイコン)治療

主訴ホワイトスポットを削らずに治したい。
治療期間3か月
治療費アイコン治療1歯 66,000円(税込)
ダイレクトボンディング1歯 33,000円(税込)
治療内容矯正治療時のプラークコントロール不良におけるホワイトスポット。
歯磨き指導、フッ素塗布を行い一部は歯質欠損(歯が欠けている)ので全体をアイコンを使用し、
欠けている部位は詰め物をした。
歯を削る量を大幅に少なく歯を美しく治すことができた。
治療のリスク症例によっては完全に色が消えないことがある。
後戻りすることがある。
ホワイトスポットが強すぎる時にはコンポジットレジン修復やホワイトニングを併用しないといけないこともある。

ホワイトスポット(アイコン)治療

主訴ホワイトスポットを削らずに治したい。
治療期間3回(相談→アイコン→経過観察)
治療費アイコン治療1歯 66,000円(税込)
治療内容歯を削らずにアイコン(Icon)を使用してホワイトスポットを治療した。
治療のリスク症例によっては完全に色が消えないことがある。
後戻りすることがある。
ホワイトスポットが強すぎる時にはコンポジットレジン修復やホワイトニングを併用しないといけないこともある。

ホワイトスポット(アイコン)治療

主訴前歯のホワイトスポットが気になる
治療期間3回
治療費アイコン治療1歯 66,000円(税込)
治療内容目立つ上の前歯のホワイトスポットに対してアイコン(Icon)治療を行った。
古い詰め物はダイレクトボンディングで同時に治療を行った。
治療のリスクメンテナンス不足では早期に着色が発生することがある。

ホワイトスポット(アイコン)治療

主訴前歯の白い斑点と茶色いしみを綺麗にしたい
治療期間3回の来院
治療費ホワイトニング(オパールエッセンスGo) 27,500円(税込)
Icon治療1歯 66,000円(税込)
治療内容ホームホワイトニングを行い、
歯の内色素を除去。
アイコン(Icon)治療を行うことで、ホワイトスポットとブラウンスポットを治療した。
治療のリスクブラウンスポットを治療する際にはホワイトニングを併用しなければならない。
長期的には色の後戻りが発生する可能性がある。

ブラウンスポット・
ホワイトスポット(アイコン)治療

主訴歯の茶色いしみを削らずに綺麗にしたい。
治療期間2回
治療費ホームホワイトニング 22,000円〜44,000円(税込)
Icon治療1歯 66,000円(税込)
*本症例の場合はIcon対象4歯
治療内容ブラウンスポット(歯の茶色いしみ)とホワイトスポット(歯の白いしみ)が混在していたため、
歯のホワイトニングを行ってからIcon(アイコン)を使用して、ブラウンスポットとホワイトスポットを削ることなく
審美的に治療を行った。
治療のリスクホワイトニングの併用が必須、色の後戻りが考えられる。

ホワイトスポット(アイコン)治療

主訴ホワイトスポットとブラウンスポット
(歯の茶色いしみ)を削らずに治療したい。
治療期間3回(相談→治療→経過観察)
治療費ホームホワイトニング 44,000円(税込)
もしくは
オフィスホワイトニング 16,500円(税込)
アイコン治療1歯 66,000円(税込)
治療内容ブラウンスポットに対してはホワイトニングとアイコン治療を行い、ホワイトスポットにはアイコン治療を行った。
治療のリスク時間の経過で後戻りすることが考えられる。

ホワイトスポット(アイコン)治療

主訴前歯の白いしみをICON(アイコン)で
治療をしたい
治療期間3回の来院
治療費1歯 66,000円(税込)
治療内容White Band Lesions(白帯状病変)のため、ICONだけでは改善が見込めない。
ICONとダイレクトボンディングにより最小限の切削介入で審美的な治療を行った。
治療のリスクメンテナンス不足ではICONレジンやダイレクトボンディング部に着色が発生することがある。

ホワイトスポット(アイコン)治療

主訴前歯のホワイトスポットを削らずにアイコン(Icon)で治したい。
治療期間3回(相談→アイコン→経過観察)
治療費アイコン治療2歯 132,000円(税込)
治療内容歯を削らずにアイコン(Icon)を使用してホワイトスポットを治療した。
治療のリスク症例によっては完全に色が消えないことがある。
後戻りすることがある。
ホワイトスポットが強すぎる時にはコンポジットレジン修復やホワイトニングを併用しないといけないこともある。

ホワイトスポット(アイコン)治療

ホワイトスポット(アイコン)治療
ホワイトスポット(アイコン)治療
主訴前歯のホワイトスポット(白斑)が気になる。削らずにアイコンで治療したい。
治療期間3回(相談→アイコン→経過観察)
治療費アイコン治療1歯 66,000円(税込)
治療内容歯を削らずにアイコン(Icon)を使用してホワイトスポットを治療した。
治療のリスク症例によっては完全に色が消えないことがある。
後戻りすることがある。
ホワイトスポットが強すぎる時にはコンポジットレジン修復やホワイトニングを併用しないといけないこともある。

症例の詳細について

  • ホワイトスポット(アイコン)治療

    ①薬液が歯肉や他の歯に着かないようにラバーダム防湿を行う。

  • ホワイトスポット(アイコン)治療

    ②アイコンエッチを塗布、薬液が浸潤できるよう一部脱灰させる。

  • ホワイトスポット(アイコン)治療

    ③アイコンドライを塗布、脱水させる。

  • ホワイトスポット(アイコン)治療

    ④アイコンインフィルトラントを塗布、ホワイトスポットにレジンをしみこませる。

  • ホワイトスポット(アイコン)治療

    ⑤光照射でレジンを固める。

  • ホワイトスポット(アイコン)治療

    ⑥歯を削ることなくホワイトスポットを消すことができた。

ホワイトスポット(アイコン)治療

ホワイトスポット(アイコン)治療
ホワイトスポット(アイコン)治療
主訴前歯のホワイトスポットを削らずにアイコンで
治療したい。
古い前歯の詰め物の色が気になるのでダイレクトボンディングで治療したい。
治療期間3回(相談→アイコン→経過観察)
治療費ホワイトスポットのアイコン治療1歯 66,000円(税込)
ダイレクトボンディング前歯部1歯 
55,000円(税込)
治療内容前歯のホワイトスポットに対してアイコン治療を行い
同日に古いコンポジットレジンを除去しダイレクトボンディングを行った。
治療のリスク症例によっては完全に色が消えないことがある。
後戻りすることがある。
ホワイトスポットが強すぎる時にはコンポジットレジン修復やホワイトニングを併用しないといけないこともある。

ホワイトスポット(アイコン)治療

主訴ホワイトスポットが気になるので削らずにアイコンで治したい。
治療期間3回(相談→アイコン→経過観察)
治療費1歯 66,000円(税込)
治療内容アイコン/Icon(DMG)を使用して歯を削らずにホワイトスポット治療を行った。
治療のリスク症例によっては完全に色が消えないことがある。
後戻りすることがある。
ホワイトスポットが強すぎる時にはコンポジットレジン修復やホワイトニングを併用しないといけないこともある。

ホワイトスポット(アイコン)治療

主訴ホワイトスポットを削らずにアイコンで治療したい。
治療期間3回(相談→アイコン→経過観察)
治療費1歯 66,000円(税込)
治療内容歯を削らずにアイコン(Icon)を使用してホワイトスポットを治療した。
治療のリスク症例によっては完全に色が消えないことがある。
後戻りすることがある。
ホワイトスポットが強すぎる時にはコンポジットレジン修復やホワイトニングを併用しないといけないこともある。

ホワイトスポット(アイコン)治療

主訴前歯のホワイトスポット(歯の白い白斑)を削らずにアイコンで治療したい。
前歯の欠けたところが気になる
治療期間1日(遠方のため本来は3回の来院が必要)
治療費アイコン治療1歯 66,000円(税込)
(症例使用可能な場合の価格)×4歯
ダイレクトボンディング1歯 33,000円(税込)
治療内容歯の帯状のホワイトスポットに対しては、Iconアイコンを使用して削らずにホワイトスポットを消した。
欠けている前歯にはコンポジットレジン修復を併用した。
治療のリスク症例によっては完全に色が消えないことがある。
後戻りすることがある。
ホワイトスポットが強すぎる時にはコンポジットレジン修復やホワイトニングを併用しないといけないこともある。

ホワイトスポット(アイコン)治療

主訴歯のホワイトスポットが気になる。
(写真左側の前歯の白い斑点)
治療期間3回(相談→アイコン→経過観察)
治療費アイコン治療1歯 66,000円(税込)
治療内容歯を削らずにアイコン(Icon)を使用してホワイトスポットを治療した。
治療のリスク症例によっては完全に色が消えないことがある。
後戻りすることがある。
ホワイトスポットが強すぎる時にはコンポジットレジン修復やホワイトニングを併用しないといけないこともある。

ホワイトスポット(アイコン)治療

主訴前歯の白い斑点(ホワイトスポット)が気になる。
治療期間3回(相談→アイコン→経過観察)
治療費アイコン治療1歯 66,000円(税込)
ダイレクトボンディング1歯 33,000円(税込)
治療内容歯面清掃後、アイコンにてホワイトニングの治療を行ない、
コンポジットレジンを使用したダイレクトボンディングを行なうことで、
歯を削らないでホワイトスポット治療を行なった。
治療のリスク症例によっては完全に色が消えないことがある。
後戻りすることがある。
ホワイトスポットが強すぎる時にはコンポジットレジン修復やホワイトニングを併用しないといけないこともある。

ホワイトスポット(アイコン)治療

主訴前歯のホワイトスポットが気になる。
治療期間1日
治療費アイコン治療1歯 66,000円(税込)
治療内容歯を削りたくなかったため、ホワイトスポットに対してアイコン治療を行なった。
右上の黒い部分付近はダイレクトボンディング併用予定であったが
患者さまがアイコン治療のみで満足されたので治療終了とした。
治療のリスク症例によっては完全に色が消えないことがある。
後戻りすることがある。
ホワイトスポットが強すぎる時にはコンポジットレジン修復やホワイトニングを併用しないといけないこともある。

ホワイトスポット(アイコン)治療

主訴前歯のホワイトスポットが気になる。
治療期間3回(相談→アイコン→経過観察)
治療費アイコン治療1歯 66,000円(税込)
治療内容歯を削らずにアイコン(Icon)を使用してホワイトスポットを治療した。
治療のリスク症例によっては完全に色が消えないことがある。
後戻りすることがある。
ホワイトスポットが強すぎる時にはコンポジットレジン修復やホワイトニングを併用しないといけないこともある。

ホワイトスポット

主訴前歯の白い部分の色が気になるので治したい。
治療期間1日
治療費アイコン治療1歯 66,000円(税込)
治療内容アイコンを使用して前歯2本のホワイトスポット(白濁)を削らずに目立ちにくくなるようにした。
治療のリスク症例によっては完全に色が消えないことがある。
後戻りすることがある。
ホワイトスポットが強すぎる時にはコンポジットレジン修復やホワイトニングを併用しないといけないこともある。

ホワイトスポット(オパールストラ)治療

主訴歯列矯正後のホワイトスポットを綺麗にしたい。
治療期間3回(相談→オパールストラ→経過観察)
治療費1歯 22,000円(税込)
治療内容オパールストラを使用したエナメルマイクロアブレージョンによりホワイトスポット治療を行なった。
治療のリスク症例によっては完全に色が消えないことがある。
後戻りすることがある。
ホワイトスポットが強すぎる時にはコンポジットレジン修復やホワイトニングを併用しないといけないこともある。

ホワイトスポット(オパールストラ)治療

主訴歯列矯正後のホワイトスポットを綺麗にしたい。
治療期間1日
治療費1歯 22,000円(税込)
治療内容ディボンド後にオパールストラを使用してホワイトスポット治療を行なった。
治療のリスク症例によっては完全に色が消えないことがある。
後戻りすることがある。
ホワイトスポットが強すぎる時にはコンポジットレジン修復やホワイトニングを併用しないといけないこともある。

Reservation各治療に特化したエキスパートにお任せください

  • 自分に合うのはどの治療なの?
  • ネットの情報だけじゃわからない
  • しっかりと話し合って決めたい
  • ネットの情報だけじゃわからない
  • 実績あるドクターを探してる

お気軽にご相談ください、
あなたに合う治療を
ご一緒に探していきましょう!

Information診療のご案内

  • ご予約・診療時間

    診療時間
    10:00-13:00
    14:30-19:00

    休診日:木曜・日曜・祝日
    土曜日午後は14:00-18:00
    ※診療時間は変更になる場合がございます。

  • アクセス

    門前仲町髙木歯科 monzennakacho takagi dental clinic

    〒135-0045
    東京都江東区古石場2丁目14-1
    ウェルタワー深川105

  • 電車でお越しの方
    • 東京メトロ東西線・大江戸線「門前仲町駅」…徒歩8分
    • 東京メトロ東西線「木場駅」…徒歩9分
    • JR京葉線「越中島駅」…徒歩10分
    お車でお越しの方
    クリニックモール用の地下駐車場が6台ございます。
    (1時間100円、お支払いはSuica・PASMOのみ対応)