虫歯治療症例

症例

コンポジットレジン修復

主訴歯を綺麗にしたい
治療期間3回
治療費保険診療範囲内
治療内容古い修復物(コンポジットレジン修復)とう蝕を除去し、歯面全体をコンポジットレジン修復にて治療した。
治療のリスクセラミッククラウンと違い経年劣化、着色チッピングがある。
全ての人症例に行なえるわけではない。

コンポジットレジン修復

主訴銀歯が欠けた
治療期間30分
治療費保険診療範囲内(1,500円程度)
治療内容小臼歯2級コンポジットレジン修復。
治療のリスク噛み合わせや、噛む力によっては
欠けることがある。

コンポジットレジン修復

主訴虫歯の治療をしたい
治療期間週に一度通院 2ヶ月
治療費保険診療範囲内
治療内容見える範囲内の古い詰め物、脱離した詰め物を保険診療のコンポジットレジン修復にて治療を行なった。
治療のリスク経年劣化が起こり色の変化、チッピング等がおこる可能性がある。

コンポジットレジン修復

主訴銀歯がとれたので付け直して欲しい
治療期間1日
治療費保険診療範囲内
治療内容う蝕を除去、即日修復が可能であり歯冠色を再現可能なコンポジットレジン修復にて治療。
治療のリスク全ての症例可能ではない。経年的に劣化してきたり、摩耗欠けたりすることがある。

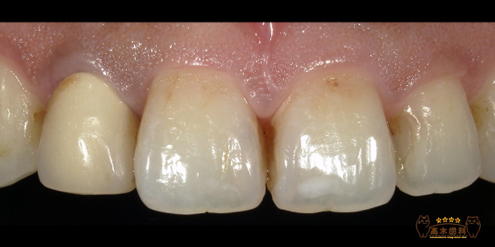
コンポジットレジン修復

主訴前歯を綺麗にしたい
治療期間30分
治療費保険診療範囲内
治療内容前歯の古い詰め物を4ヶ所、コンポジットレジン修復を行なった。
治療のリスク永続的に持つわけではない。しかし再度修復できることが多い。

Reservation各治療に特化したエキスパートにお任せください

  • 自分に合うのはどの治療なの?
  • ネットの情報だけじゃわからない
  • しっかりと話し合って決めたい
  • ネットの情報だけじゃわからない
  • 実績あるドクターを探してる

お気軽にご相談ください、
あなたに合う治療を
ご一緒に探していきましょう!

Information診療のご案内

  • ご予約・診療時間

    診療時間
    10:00-13:00
    14:30-19:00

    休診日:木曜・日曜・祝日
    土曜日午後は14:00-18:00
    ※診療時間は変更になる場合がございます。

  • アクセス

    門前仲町髙木歯科 monzennakacho takagi dental clinic

    〒135-0045
    東京都江東区古石場2丁目14-1
    ウェルタワー深川105

  • 電車でお越しの方
    • 東京メトロ東西線・大江戸線「門前仲町駅」…徒歩8分
    • 東京メトロ東西線「木場駅」…徒歩9分
    • JR京葉線「越中島駅」…徒歩10分
    お車でお越しの方
    クリニックモール用の地下駐車場が6台ございます。
    (1時間100円、お支払いはSuica・PASMOのみ対応)