審美治療症例

症例

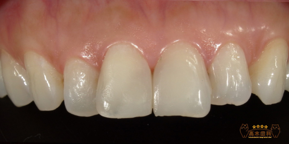
審美修復

主訴歯を白くしたい。
歯並びが気になる。
治療期間2ヶ月
治療費ホームホワイトニング 44,000円(税込)
前歯のダイレクトボンディング1歯 
77,000円(税込)
セラミッククラウン1本 132,000円(税込)
治療内容ホームホワイトニングを行ない、ご自身の歯が白くなったところでセラミッククラウン、
ダイレクトボンディングにより審美治療を行ない歯の色の改善、歯並びの改善を行なえた。
治療のリスクホワイトニングを行なった部位は、後戻りすることがある。

審美修復

主訴歯を白く綺麗にしたい。
治療期間3ヶ月
治療費オールセラミッククラウン1歯 132,000円(税込)
ホームホワイトニング 44,000円(税込)
治療内容仮歯のままの歯を歯肉の安定を図りオールセラミッククラウンを装着した。
下の前歯は天然歯のためホームホワイトニングを行い、削らずに歯を白くした。
治療のリスク定期的なメンテナンスが必要

審美修復

主訴前歯の古い被せ物の色が
合っていないのが気になる。
綺麗にしたい。
治療期間3ヶ月
治療費セラミッククラウン 165,000円(税込)
治療内容色の合っていない古い被せ物を除去。
仮歯を装着して、歯肉の治療を行った。
歯肉の回復後、型どりをしてセラミッククラウンを装着した。
治療のリスク定期的なメンテナンスが必要です。

審美修復

主訴歯の色を白くしたい。前歯の隙間が気になる。
治療期間ホームホワイトニング1ヶ月後
ダイレクトボンディング2回
治療費ホームホワイトニング 44,000円(税込)
正中離開のダイレクトボンディング1歯 77,000円(税込)
今回は2歯 144,000円(税込)
治療内容ホームホワイトニングを行ない歯を白くしてから、正中離開(すきっ歯)に対して歯を一切削らずに
ダイレクトボンディングで治療した。
治療のリスク色の後戻りをすることがある。

審美修復

主訴歯をなるべく削らずにブリッジを装着したい。
治療期間3回(1か月)
治療費1歯あたり 150,000円(税別)
※本症例では3本換算となります。
治療内容Amidex社と検討の上デジタルを用いたクリアインデックスを作成し、
歯を一切削ることなくコンポジットレジンダイレクトブリッジを充填した。
治療のリスク噛み合わせ、歯並びによっては
対応が可能ではない。

審美修復

主訴他院で治療した詰め物が痛い。
治療期間1回
治療費ダイレクトボンディング小臼歯1歯 55,000円(税込)
治療内容デンタルレントゲン写真より、う蝕の取り残しを確認。
ラバーダム防湿を行い、マイクロスコープを使用してう蝕の除去。ダイレクトボンディングで当日に治療を行った。
治療のリスク過度に強い力がかかる場合にはマウスピースを併用することがある。

治療の詳細について

治療前
う蝕を確認
う蝕を除去
治療中
除去確認
治療後
治療後①
治療後②

審美修復

主訴昨年入れたセラミックのフチが気になる。
治療期間1回
治療費1歯 77,000円(税込)
治療内容マイクロスコープを使用してセラミックを除去。
ダイレクトボンディングで当日に詰め物をつめた。
治療のリスク経年的に着色がみられることがある。
過度に強い噛む力の方にはマウスピースを併用してもらうことがあります。

審美修復

主訴前歯の隙間が気になる。
治療期間相談→治療→経過観察の計3回
治療費正中離開のダイレクトボンディング1歯 77,000円(税込)
治療内容歯を削ることなくダイレクトボンディング(コンポジットレジン修復)を行い、前歯の隙間(正中離開)を治療した。
治療のリスクかみ合わせが強いと欠けることがある。
経年的に光沢が消えることがある。

審美修復

主訴前歯を綺麗にしたい。
治療期間1ヶ月(3〜4回)
治療費セラミックの前歯の被せ物1歯 132,000円(税込)
治療内容前歯の色・形態不良の合っていないものを除去。新しくセラミックの被せ物で治療を行った。
治療のリスク保険治療ではないので高額である。

審美修復

審美修復
審美修復
審美修復
審美修復
主訴結婚式の前に歯を白く綺麗にしたい
治療期間3か月
治療費ホームホワイトニング 44,000円(税込)
セラミッククラウン 132,000円(税込)
治療内容歯のクリーニングを行い、ホームホワイトニングを1ヶ月行った。
歯の形、色が合っていない前歯の詰め物は除去し、セラミッククラウンで審美的に治療を行った。
治療のリスクメンテナンスを怠ると色の後戻りが早期に起こることがある。

審美修復

主訴前歯の被せ物を綺麗にしたい
治療期間2か月
治療費ホームホワイトニング 44,000円(税込)
オールセラミッククラウン 132,000円(税込)
治療内容古い上の前歯を除去し、仮の歯に置き換えた。
歯肉の安定を図りつつ、ホームホワイトニングを行い全体の歯の明度を上昇させた。
白くなった歯に合わせて前歯のオールセラミッククラウンを作成し装着した。
治療のリスクホワイトニングは色の後戻りが発生する。

審美修復

主訴セラミックで綺麗に治療を行いたい。
治療期間形成・型どり→装着
治療費セラミックインレー1歯 66,000円(税込)
治療内容ラバーダム防湿を行いセラミックインレーを装着した。
治療のリスク手入れを怠ると長持ちしないことがある。

審美修復

主訴前歯を綺麗にしたい。
治療期間2ヶ月
治療費ホームホワイトニング 44,000円(税込)
セラミッククラウン 1歯 132,000円(税込)
治療内容ホームホワイトニングで歯を白くホワイトニングしてから、
不適合な被せ物を外して仮歯で歯の形態を模索してからセラミッククラウンにした。
治療のリスク完全な左右対称にすることは難しい、
ホワイトニングした歯は後戻りすることがある。

審美修復

主訴前歯を綺麗にしたい。
治療期間4ヶ月
治療費ホームホワイトニング 44,000円(税込)
セラミッククラウン 1歯 132,000円(税込)
治療内容ホワイトニングを行ない前歯の古い被せ物を借歯に置き換え、歯肉の安定を待ってセラミッククラウンにした。
治療のリスク歯の傾きによっては神経をとることがある。
破折等のリスクがある。

審美修復

主訴前歯を綺麗にしたい。
治療期間3ヶ月
治療費ホームホワイトニング 44,000円(税込)
セラミッククラウン 1歯 132,000円(税込)
コンポジットレジン修復保険診療の範囲内
治療内容コンポジットレジン修復を行ないホームホワイトニングを行なっていただき、歯が白くなった時点で左上にはセラミッククラウンを装着した。
治療のリスクホワイトニングした部位は後戻りすることがある。陶器のような白さにはならない。

審美修復

主訴前歯を綺麗にしたい。
治療期間1ヶ月
治療費仮歯 3,300円(税込)
セラミッククラウン 1歯 132,000円(税込)
治療内容古い保険の被せ物を取り除き、仮歯に置き換え歯肉の状況の改善を待ち、その後セラミックの被せ物を装着した。
治療のリスク永続的に使えるわけではない。

ダイレクトボンディング

主訴歯を綺麗にしたい。
治療期間ホームホワイトニング1ヶ月
ダイレクトボンディング1日
治療費ホームホワイトニング 44,000円(税込)
ダイレクトボンディング1歯 77,000円(税込)
治療内容ホームホワイトニングを行ない歯の色を白くしてから、ダイレクトボンディングを行ない歯の形、向きを美しくした。
治療のリスク陶器のような白さにはならない、経年的に着色や欠けてくることがある。

ダイレクトボンディング

主訴前歯の色、形、線が気になる。
治療期間当日修復
治療費1歯 77,000円(税込)
治療のリスク破折や欠けることがある。経年的な色の変化。

ダイレクトボンディング

主訴銀歯にしたくない、白い詰め物の治療をしたい。
治療期間1日
治療費44,000円(税込)
治療内容コンポジットレジン修復(ダイレクトボンディング)にて即日修復。
直接法なので接着力に期待ができる。
治療のリスク嚙み合わせが強かったり、歯ぎしり食いしばりがあると欠ける可能性がある。

セラミッククラウン

主訴家族から歯が黄色いと指摘された。
治療期間1ヶ月(6回)
治療費セラミッククラウン 1本 132,000円
詰め物 1本 保険治療1,500円程度
治療のリスク経年的な劣化、着色、脱離、欠けることがある。

審美修復

主訴歯を白く綺麗にしたい。
治療期間2ヶ月
治療費ホームホワイトニング 44,000円(税込)
前歯のダイレクトボンディング 77,000円(税込)
治療内容ホームホワイトニングを行なっていただき歯の色が白くなった色に合わせてコンポジットレジン修復を行なった。
治療のリスク陶器のような白さにはならない。
後戻りをすることがある。
ふちがかけたり色が着くことがある。

審美修復

主訴歯を白く綺麗にしたい。
治療期間2ヶ月
治療費ホームホワイトニング 44,000円(税込)
前歯のダイレクトボンディング 1歯 77,000円(税込)
治療内容ホームホワイトニングを行ない劣化していたコンポジットレジン修復をダイレクトボンディングにて治療を行なった。
治療のリスク思っていた白さにならないことがある。
経年的に劣化着色が起こることがある。

ダイレクトボンディング

主訴歯の形、歯並びが気になる。
治療期間1日
治療費1歯 77,000円(税込)
治療内容ダイレクトボンディングを行なうことで歯を削らず、抜歯をすることなく主訴の改善ができ、
個性を残しつつ自然な仕上がりとなった。
治療のリスク経年的に着色、コンポジットレジンが欠けたりすることがある。

セラミッククラウン

主訴挙式前に歯を綺麗にしたい。
治療期間2日
治療費132,000円(税込)
治療内容上顎左側中切歯に色と形の不適合なクラウンがあったため、セラミッククラウンにて審美治療を行なった。
治療のリスククラウンが破折したり欠けたりすることがある。

審美修復

主訴前歯が大きく欠けてしまったのでセラミックで治療をしたい。
治療期間3回
治療費セラミッククラウン 132,000円(税込)
ダイレクトボンディング 77,000円(税込)
治療内容写真左側の前歯をセラミッククラウン、
右上の前歯をダイレクトボンディングにて治療した。
治療のリスク噛み合わせが強いと欠けたりすることがある。

セラミッククラウン

主訴前歯をぶつけてしまい欠けたので、詰め物で治したが、セラミックの被せもので治療したい。
治療期間1ヶ月
治療費セラミッククラウン 132,000円(税込)
治療内容左側1番の歯冠をセラミッククラウンにて治療した。
治療のリスク歯の切削が必要である。

Reservation各治療に特化したエキスパートにお任せください

  • 自分に合うのはどの治療なの?
  • ネットの情報だけじゃわからない
  • しっかりと話し合って決めたい
  • ネットの情報だけじゃわからない
  • 実績あるドクターを探してる

お気軽にご相談ください、
あなたに合う治療を
ご一緒に探していきましょう!

Information診療のご案内

  • ご予約・診療時間

    診療時間
    10:00-13:00
    14:30-19:00

    休診日:木曜・日曜・祝日
    土曜日午後は14:00-18:00
    ※診療時間は変更になる場合がございます。

  • アクセス

    門前仲町髙木歯科 monzennakacho takagi dental clinic

    〒135-0045
    東京都江東区古石場2丁目14-1
    ウェルタワー深川105

  • 電車でお越しの方
    • 東京メトロ東西線・大江戸線「門前仲町駅」…徒歩8分
    • 東京メトロ東西線「木場駅」…徒歩9分
    • JR京葉線「越中島駅」…徒歩10分
    お車でお越しの方
    クリニックモール用の地下駐車場が6台ございます。
    (1時間100円、お支払いはSuica・PASMOのみ対応)